症例詳細
Case detail
合わない入れ歯から卒業!奥歯2本をインプラントで快適に
治療症例の内容
- 担当医
- 河口智英(ドクタープロフィール)
- 患者様
- 30代男性
- 治療期間
- 3ヶ月
- 治療回数
- 5-10回
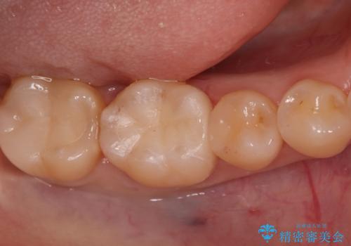
- 治療計画
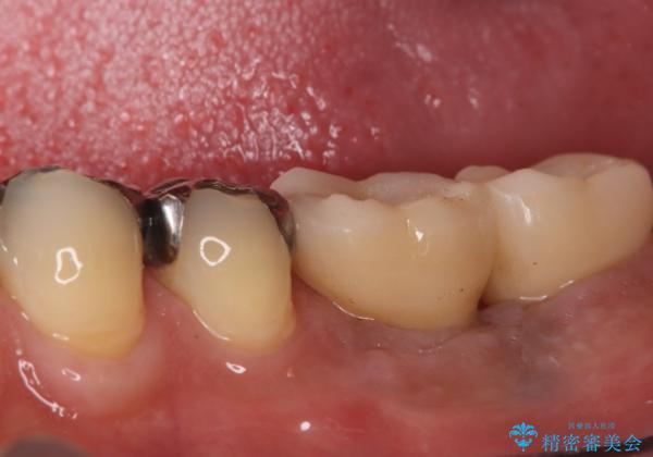
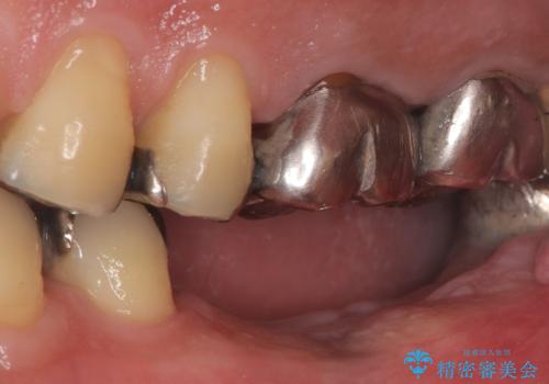
- 左下の奥歯(6番と7番)を失い、現在ご使用の部分入れ歯の不満(動く、噛めない)を主訴にご来院されました。患者様から「しっかりと噛める歯を取り戻したい」という強いご希望があり、精密な診査の結果、残りの歯への負担が少なく、最も安定した機能回復が期待できるインプラント治療を提案しました。治療計画は、左下6番と7番の欠損部に2本のインプラントを埋入し、約3ヶ月で最終的な歯まで装着することを目指しました。
- 費用(概算)
- 120万円費用は治療当時の料金となります
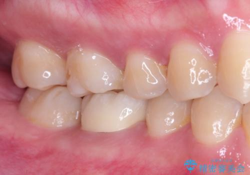
治療について
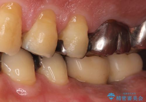
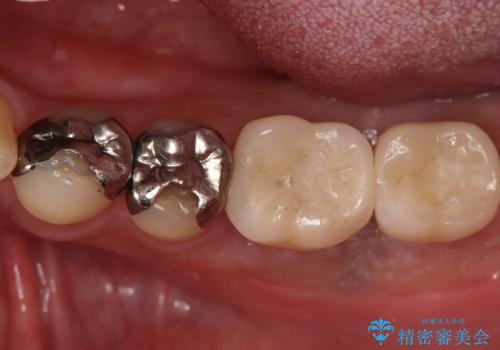
今回の治療では、まず左下6番と7番の欠損部に、骨の状態を考慮しながら慎重に2本のインプラントを埋入しました。インプラント体と骨がしっかりと結合するのを待った後、最短の期間で最終的な被せ物を装着するための精密な型取りを実施。最終的に、周囲の歯と調和した審美性の高いセラミック製の歯を装着しました。
治療期間は約3ヶ月で完了。以前の入れ歯のような煩わしさや動く心配がなくなり、天然歯と変わらない強い力でしっかりと食べ物を噛み砕けるようになり、快適な食生活を取り戻していただけました。
インプラント治療の注意事項(リスク・副作用など)
- 外科手術のため、術後に痛みや腫れ、違和感を伴います
- メンテナンスを怠ったり喫煙により、お口の中に大きな悪影響を及ぼすインプラント周囲炎等にかかる可能性があります
- 糖尿病、肝硬変、心臓病等の場合、インプラント治療ができない可能性があります
- 高血圧、貧血・不整脈等の場合、インプラント治療後に治癒不全を招く可能性があります
- 自費診療(保険適用外治療)となります
当サイトの内容、テキスト、画像等の無断転載、複製、複写、盗用を固く禁じます。








 
                       
                                                          










 
                   
                   
                  