症例詳細
Case detail
歯周病治療、部分矯正、インプラントを組み合わせた奥歯の治療
治療症例の内容
- 患者様
- 30代女性
- 治療期間
- 2年
- 治療回数
- 10-30回
- 治療計画
- 右下奥歯の不安定な状態を主訴にご来院されました。精密検査の結果、右下5番の歯周病が進行しており、歯周組織の再生治療が必要と判明。また、その奥にある7番の歯が傾いていたため、6番の部分にインプラントを入れる前に、部分矯正で7番を理想的な位置に起こす計画を立案しました。これら一連の治療を経て、最後に失われた6番の部分にインプラントを埋入し、機能的な咬み合わせを再建することを目指しました。
- 費用(概算)
- 100万円費用は治療当時の料金となります
治療について
治療は以下の3つのステップで慎重に進められました。
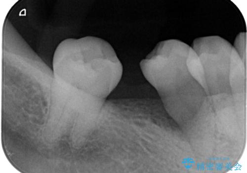
右下5番の歯周組織再生治療: まず、歯周病が進行していた5番に対して、再生療法を行いました。これにより、失われた骨や歯周組織の回復を促し、歯を安定させることができました。
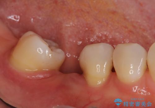
右下7番の部分矯正: 次に、傾いていた7番を垂直に起こすための部分矯正を実施しました。これにより、6番に入れるインプラントのためのスペースが確保され、咬み合わせの軸が安定しました。
右下6番のインプラント治療: 5番の歯周組織が安定し、7番の傾きが改善された後、失われた6番の部分にインプラントを埋入。周囲の歯と調和した被せ物を装着し、強固で自然な奥歯を再建しました。
この総合的な治療により、右下奥歯全体の歯周環境と咬み合わせが劇的に改善。患者様には、安定した咬み心地と、将来にわたって歯を長持ちさせる環境を獲得していただけました。
インプラント治療の注意事項(リスク・副作用など)
- 外科手術のため、術後に痛みや腫れ、違和感を伴います
- メンテナンスを怠ったり喫煙により、お口の中に大きな悪影響を及ぼすインプラント周囲炎等にかかる可能性があります
- 糖尿病、肝硬変、心臓病等の場合、インプラント治療ができない可能性があります
- 高血圧、貧血・不整脈等の場合、インプラント治療後に治癒不全を招く可能性があります
- 自費診療(保険適用外治療)となります
歯周病治療の注意事項(リスク・副作用など)
- 外科手術のため、術後に痛みや腫れ、違和感を伴います
- 歯周組織再生治療は患者様の状態によって術後の経過が異なります(見た目が改善しない場合もあります)
- 歯周組織再生治療は自費診療(保険適用外)となります
当サイトの内容、テキスト、画像等の無断転載、複製、複写、盗用を固く禁じます。







