症例詳細
Case detail
歯茎の腫れが気になる方必見!|抜歯即時インプラントで前歯5本を痛みなく3か月で治療完了!
- 患者様
- 50代女性
- 治療期間
- 3ヶ月
- 治療回数
- 2-5回
- 治療計画
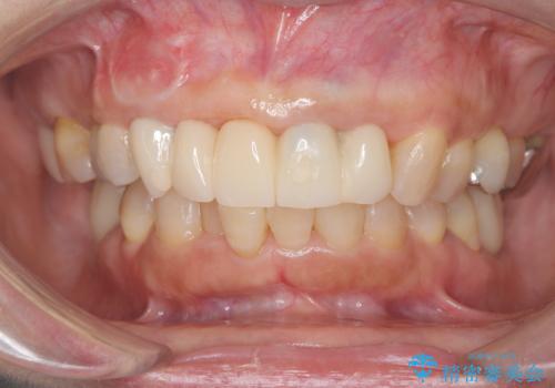
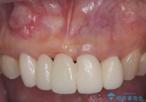
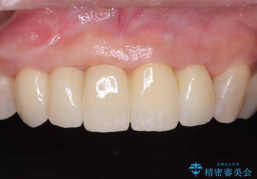
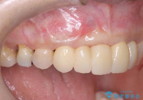
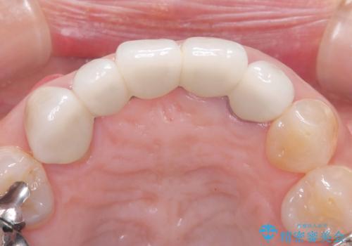
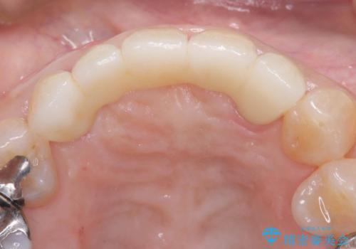
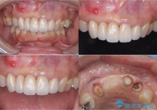
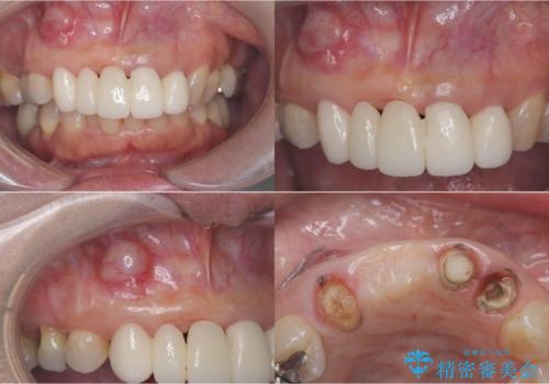
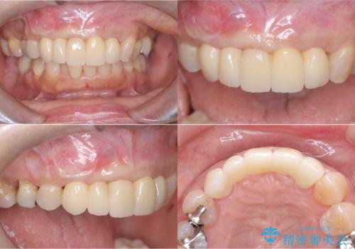
- 歯茎の大きな腫れを主訴に来院された患者様です。前歯5本にはブリッジが装着されていました。レントゲン検査より、右上3番に大きな根尖病巣が認められ、さらに左上1、2番の支台歯にも破折があったため、抜歯を行いました。その後、インプラントを3本埋入し、オールセラミッククラウンのブリッジで補綴しました。
術前のCT画像より、抜歯即時インプラントが可能と判断したため、抜歯と同時にインプラント埋入を行いました。術式にはセミルーナーフラップを用い、唇側の骨吸収を抑える目的でルートメンブレンテクニックを併用しました。
- 費用(概算)
- 税込2,057,000円(インプラント(3本)手術とオールセラミッククラン5本分の費用全て込み)費用は治療当時の料金となります
治療について
抜歯即時インプラントには、切開量が少なく痛みが出にくいこと、一度の手術で治療が完了するため治療期間を短くでき、患者様の身体的負担も軽減できるという大きなメリットがあります。
今回のケースでも、しっかりと固定が得られたため、手術は1回で終了し、短期間でオールセラミッククラウンまで装着することができました。患者様も術後の痛みはなく、処方した痛み止めも服用されなかったとのことです。
これだけ大きな病変があったにもかかわらず、痛みがなく短期間で治療が終わったことに加え、被せ物の色も周囲の歯に調和し美しく仕上がったことに、大変ご満足いただけました。
セラミック治療の注意事項(リスク・副作用など)
- 天然歯を削ります
- 硬い素材は天然歯を傷つけてしまう場合があります
- かみ合わせや歯ぎしりが強すぎる方はセラミックが割れてしまう可能性があります
- 自費診療(保険適用外治療)となります
インプラント治療の注意事項(リスク・副作用など)
- 外科手術のため、術後に痛みや腫れ、違和感を伴います
- メンテナンスを怠ったり喫煙により、お口の中に大きな悪影響を及ぼすインプラント周囲炎等にかかる可能性があります
- 糖尿病、肝硬変、心臓病等の場合、インプラント治療ができない可能性があります
- 高血圧、貧血・不整脈等の場合、インプラント治療後に治癒不全を招く可能性があります
- 自費診療(保険適用外治療)となります
当サイトの内容、テキスト、画像等の無断転載、複製、複写、盗用を固く禁じます。

































