症例詳細
Case detail
奥歯の銀歯を自然なセラミックに。安心のメタルフリー治療
治療症例の内容
- 診療科目
- 担当医
- 河口智英(ドクタープロフィール)
- 患者様
- 30代女性
- 治療期間
- 1ヶ月
- 治療回数
- 2-5回
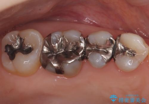
- 治療計画
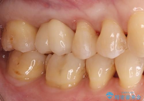
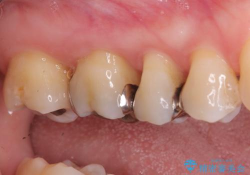
- 左上奥歯に入っている金属の詰め物(メタルインレー)の見た目を改善したいという主訴でご来院されました。お口の中の金属をなくしたいという患者様のご希望を踏まえ、天然歯に近い色と質感を持つセラミックインレーに交換する治療計画を立案。これにより、見た目の改善だけでなく、金属アレルギーのリスクを排除したメタルフリーの環境を実現することを目指しました。
- 費用(概算)
- 35万円費用は治療当時の料金となります
治療について
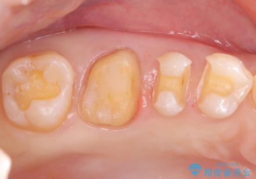
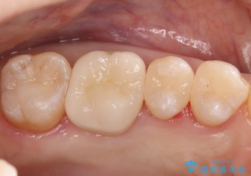
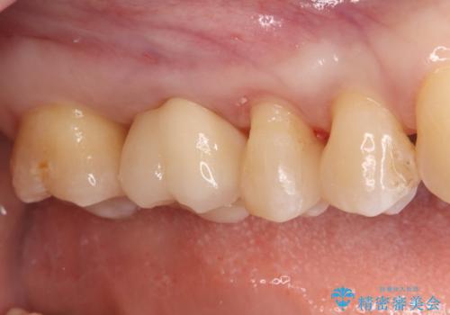
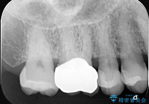
治療では、まず古い金属のインレーを慎重に取り外しました。金属の下に隠れていた虫歯の再発がないかを確認し、歯を丁寧に形成。その後、精密な型取りから患者様の歯の色に合わせたオーダーメイドのセラミックインレーを作製しました。セラミックは、自然な光の透過性を持つため、周囲の歯と区別がつかないほどの美しい仕上がりとなります。適合性の高いセラミックインレーを装着することで、再発のリスクを抑えつつ、長年のコンプレックスだった銀歯がなくなり、笑顔でも気にならない自然な奥歯を取り戻していただけました。
セラミック治療の注意事項(リスク・副作用など)
- 天然歯を削ります
- 硬い素材は天然歯を傷つけてしまう場合があります
- かみ合わせや歯ぎしりが強すぎる方はセラミックが割れてしまう可能性があります
- 自費診療(保険適用外治療)となります
当サイトの内容、テキスト、画像等の無断転載、複製、複写、盗用を固く禁じます。









