症例詳細
Case detail
【モニター】前歯のデコボコと口元の出っ張りを改善!目立たない矯正で自然な笑顔に
治療症例の内容
- 診療科目
 
- 治療カテゴリ
 
- 担当医
 - 齋藤佑磨(ドクタープロフィール)
 
- 患者様
 - 20代男性
 
- 矯正装置
 - 審美装置
 
- 治療期間
 - 1年8ヶ月
 
- 治療回数
 - 10-30回
 
- 治療計画
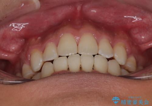
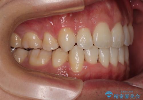
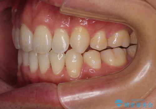
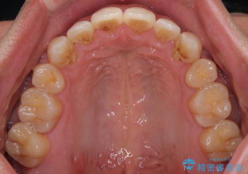
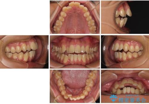
 - 前歯のデコボコ(叢生)と、少し前に出た口元を気にされて来院された患者さまです。
診査の結果、上下顎ともに歯が並ぶスペースが不足しており、上下の前歯が噛み合わない**オープンバイト(開咬)**の状態でした。
歯をすべて並べようとすると口元がさらに前に出てしまうため、上下左右の第一小臼歯を抜歯してスペースを確保し、デコボコと突出感の両方を改善する治療計画を立てました。
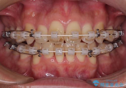
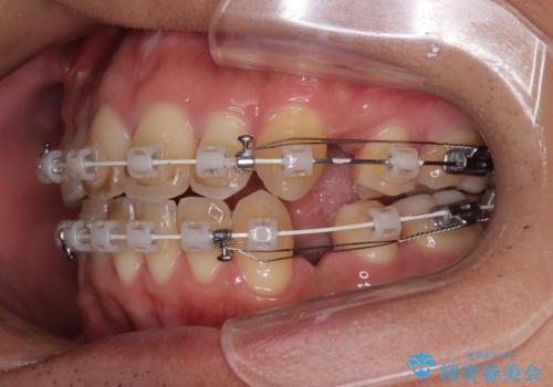
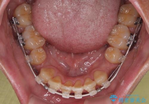
使用した装置は、透明感のあるプラスチックブラケットと白くコーティングされたワイヤー。
金属の装置に比べて目立ちにくく、治療中も自然な見た目を保ちながら矯正を行うことができました。 
- 費用(概算)
 - 94万円(税込)費用は治療当時の料金となります
 
※顔写真掲載にあたり、患者様の了解を得ております
治療について
舌を前に押し出す癖(舌突出癖)があり、後戻りやオープンバイトの再発防止のため、MFT(口腔筋機能療法)も併用しています。
ワイヤー矯正の注意事項(リスク・副作用など)
- 治療中は違和感や痛みが起こることがあります
 - 症状により、抜歯が必要な場合があります
 - 治療中は歯磨きがしにくくなるため、虫歯や歯周病になりやすくなります
 - 矯正治療後の保定が不十分だと後戻り(元の位置に戻ろうとする動き)をします
 - 自費診療(保険適用外)となります
 
当サイトの内容、テキスト、画像等の無断転載、複製、複写、盗用を固く禁じます。

                      
                                                          


























