症例詳細
Case detail
保険治療後の見た目が気になる方へ|セラミッククラウンで美しく自然な仕上がりに
治療症例の内容
- 診療科目
- 治療カテゴリ
- 担当医
- 齋藤佑磨(ドクタープロフィール)
- 患者様
- 20代男性
- 治療期間
- 1ヶ月
- 治療回数
- 2-5回
- 治療計画
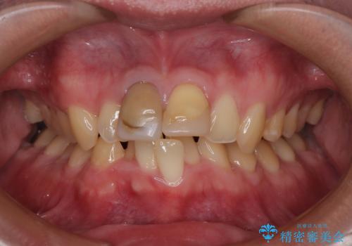
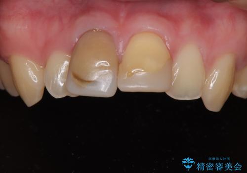
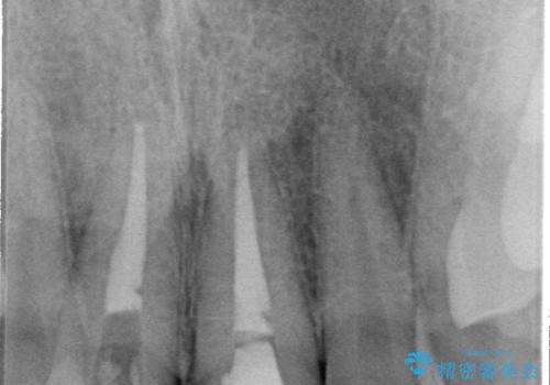
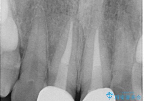
- 以前、保険診療で治療を受けた前歯の見た目が気になるとのことで来院された患者様です。
転倒時に前歯2本が折れてしまい、すでに根管治療(神経の治療)が行われている状態でした。
診査の結果、噛み合わせが深い「ディープバイト」の状態であり、下の前歯には叢生(歯並びのデコボコ)も認められました。
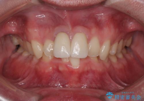
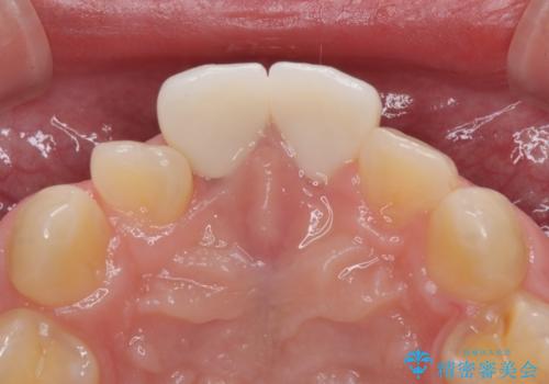
噛み合わせを改善するための矯正治療をご提案しましたが、患者様のご希望により矯正治療と根管治療の再治療は行わず、ファイバーコア(土台)+オールセラミッククラウンによる補綴治療を選択しました。
審美性と強度を両立させるため、透明感のあるオールセラミッククラウンを採用し、周囲の天然歯に自然に調和するよう色調・形態を調整しました。
- 費用(概算)
- 37万円(税込)費用は治療当時の料金となります
治療について
ディープバイト(深い噛み合わせ)の方は、セラミックに強い力が加わり破折のリスクが高まるため、**ナイトガード(就寝時のマウスピース)**の使用が有効です。
セラミック治療の注意事項(リスク・副作用など)
- 天然歯を削ります
- 硬い素材は天然歯を傷つけてしまう場合があります
- かみ合わせや歯ぎしりが強すぎる方はセラミックが割れてしまう可能性があります
- 自費診療(保険適用外治療)となります
当サイトの内容、テキスト、画像等の無断転載、複製、複写、盗用を固く禁じます。








