症例詳細
Case detail
根尖性歯周炎|歯根嚢胞|インプラント治療
治療症例の内容
- 患者様
- 50代男性
- 治療期間
- 9ヶ月
- 治療回数
- 2-5回
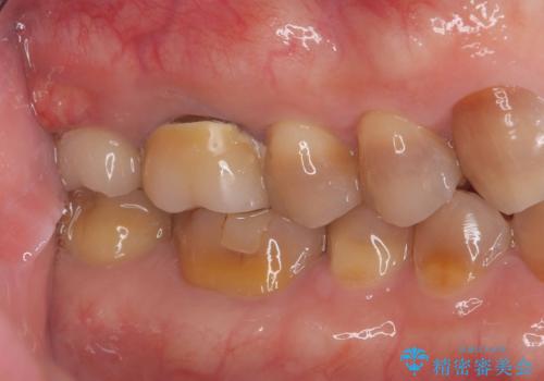
- 治療計画
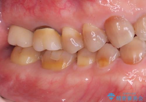
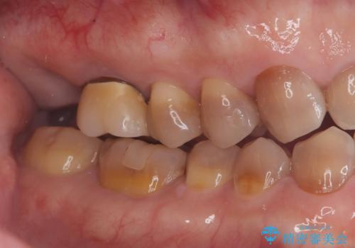
- 右上7番に瘻孔を認め、根管治療を実施しましたが、瘻孔が再発し治癒が得られなかったため、抜歯のうえインプラントによる補綴治療を行いました。
- 費用(概算)
- 484,000円(インプラント手術と被せ物の費用全て込み)インプラント10年保障費用は治療当時の料金となります
治療について
抜歯と歯根嚢胞の除去を行った後、インプラントで治療しました。治療後は「自分の歯のように咬める」と大変ご満足いただけました。
インプラント治療の注意事項(リスク・副作用など)
- 外科手術のため、術後に痛みや腫れ、違和感を伴います
- メンテナンスを怠ったり喫煙により、お口の中に大きな悪影響を及ぼすインプラント周囲炎等にかかる可能性があります
- 糖尿病、肝硬変、心臓病等の場合、インプラント治療ができない可能性があります
- 高血圧、貧血・不整脈等の場合、インプラント治療後に治癒不全を招く可能性があります
- 自費診療(保険適用外治療)となります
セラミック治療の注意事項(リスク・副作用など)
- 天然歯を削ります
- 硬い素材は天然歯を傷つけてしまう場合があります
- かみ合わせや歯ぎしりが強すぎる方はセラミックが割れてしまう可能性があります
- 自費診療(保険適用外治療)となります
当サイトの内容、テキスト、画像等の無断転載、複製、複写、盗用を固く禁じます。












