症例詳細
Case detail
歯槽堤保存術を併用したブリッジ治療
治療症例の内容
- 診療科目
- 治療カテゴリ
- 担当医
- 大元洋佑(ドクタープロフィール)
- 患者様
- 40代女性
- 治療期間
- 3ヶ月
- 治療回数
- 5-10回
- 治療計画
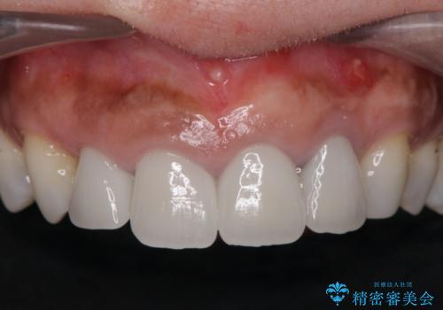
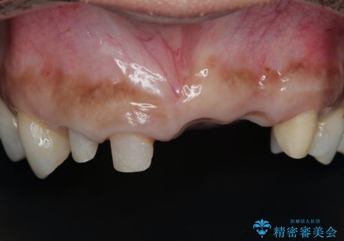
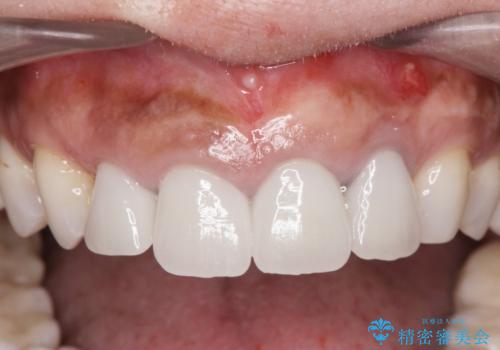
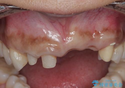
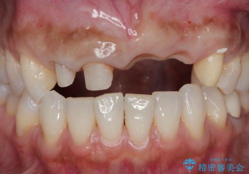
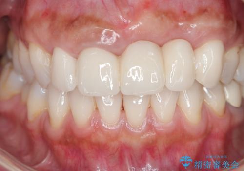
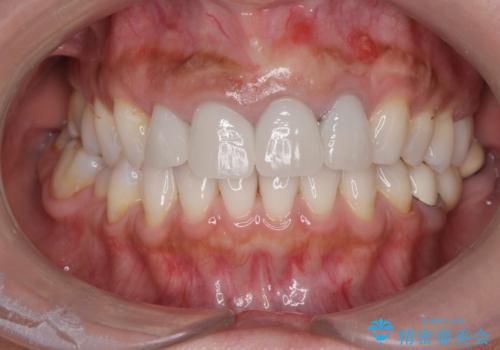
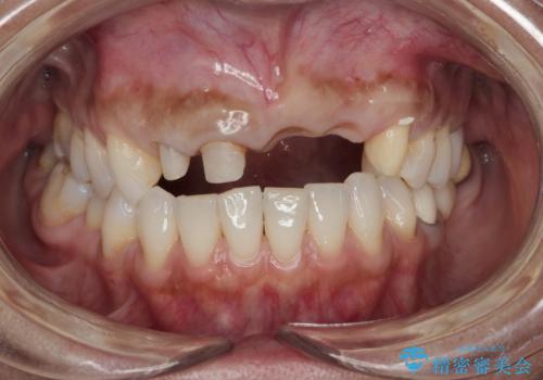
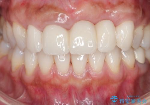
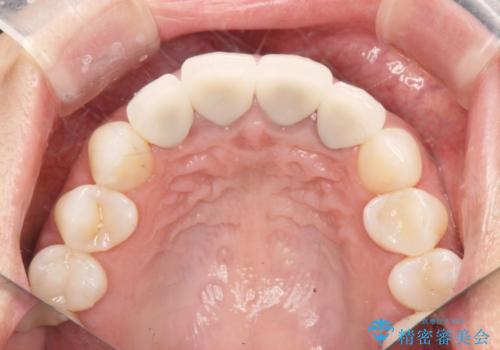
- 前歯がグラグラし、においもする、とのことで改善を求めて来院されました。
一見して問題ないように見える左側の2前歯は、セラミックを除去してみると亀裂や虫歯の再発が見られました。
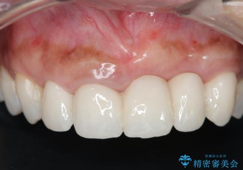
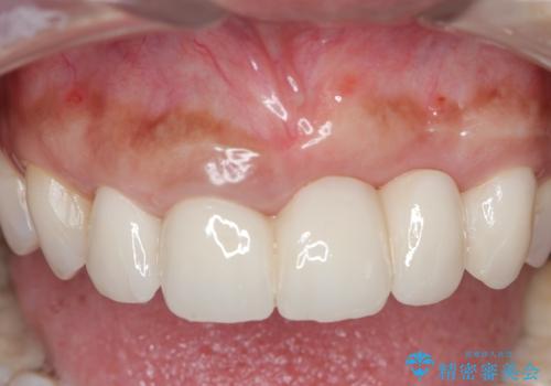
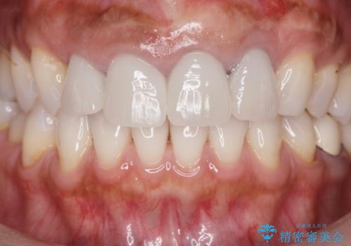
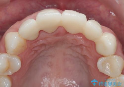
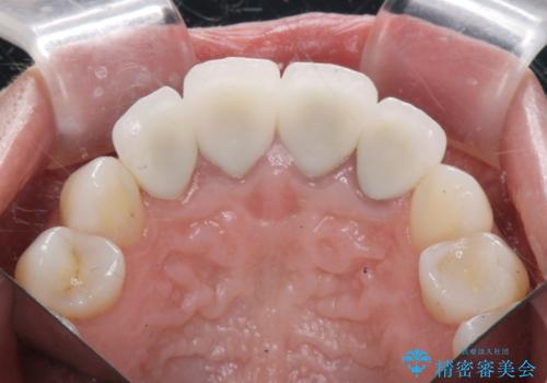
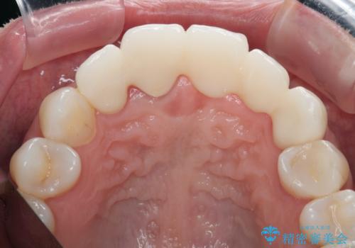
抜歯時に可及的に歯肉のボリュームを保つよう骨充填材とコラーゲン製剤による填塞を行い審美的かつ機能的なブリッジとなるよう治療を進めます。
- 費用(概算)
- 66万円(ジルコニアクラウン×5・仮歯×5)費用は治療当時の料金となります
治療について
一件綺麗に見えるセラミックも適合や精度が悪いと、内部で虫歯が進行し亀裂や破折、悪臭の原因となることがあります。
セラミック治療の注意事項(リスク・副作用など)
- 天然歯を削ります
- 硬い素材は天然歯を傷つけてしまう場合があります
- かみ合わせや歯ぎしりが強すぎる方はセラミックが割れてしまう可能性があります
- 自費診療(保険適用外治療)となります
当サイトの内容、テキスト、画像等の無断転載、複製、複写、盗用を固く禁じます。
























