症例詳細
Case detail
前歯のデコボコと正中のずれを改善!白い装置で目立たない矯正
治療症例の内容
- 診療科目
- 治療カテゴリ
- 担当医
- 齋藤佑磨(ドクタープロフィール)
- 患者様
- 20代男性
- 矯正装置
- 審美装置
- 治療期間
- 3年
- 治療回数
- 30回以上
- 治療計画
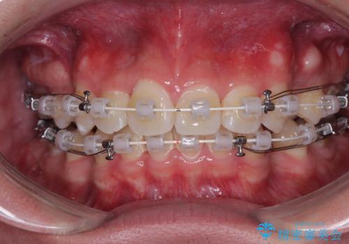
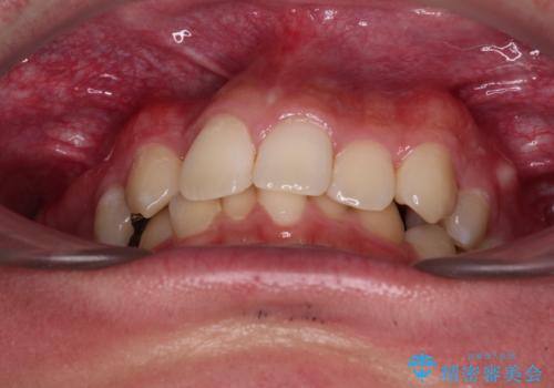
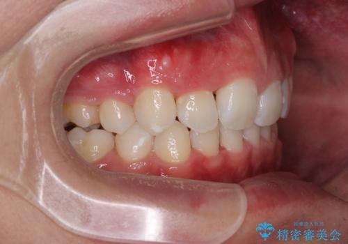
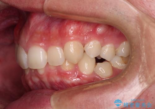
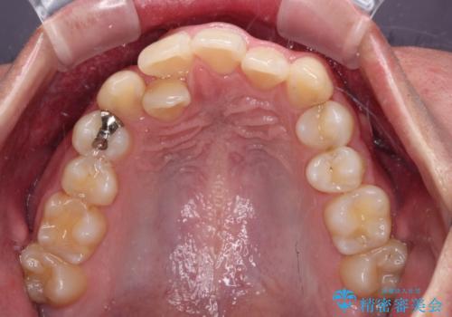
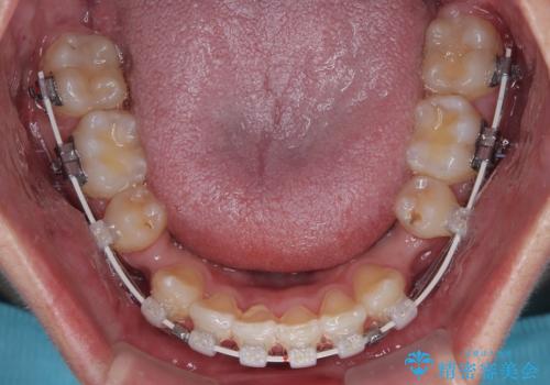
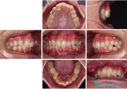
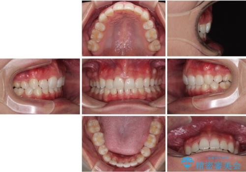
- 「前歯のデコボコが気になる」「前歯の中心がずれていて気になる」とご相談に来られた患者様の症例です。
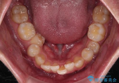
診察の結果、上下の歯が並ぶためのスペースが不足しており、特に上顎右側の側切歯が内側(口蓋側)に転移していたため、正中が大きく右にずれている状態でした。
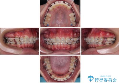
上下左右の第一小臼歯を抜歯してスペースを確保する計画を立てました。
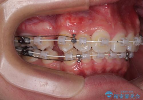
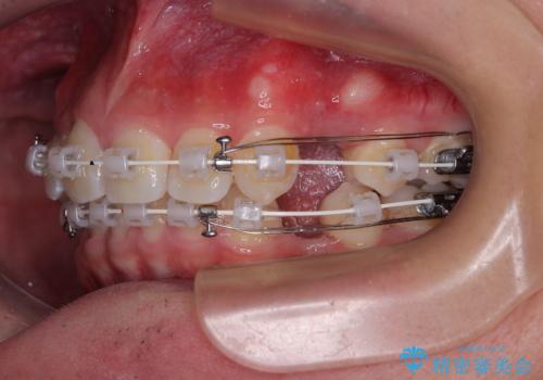
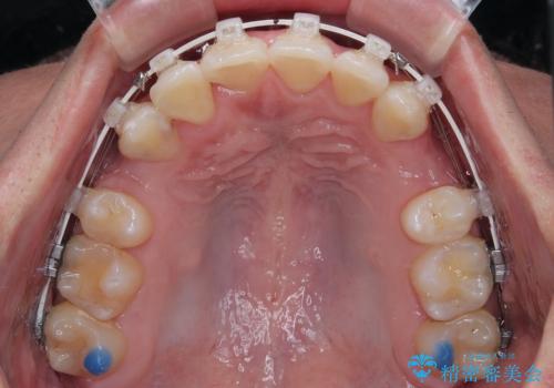
矯正装置には白いプラスチックブラケットと白いコーティングワイヤーを使用し、見た目にも配慮した治療を行いました。
- 費用(概算)
- 101万円(税込)費用は治療当時の料金となります
治療について
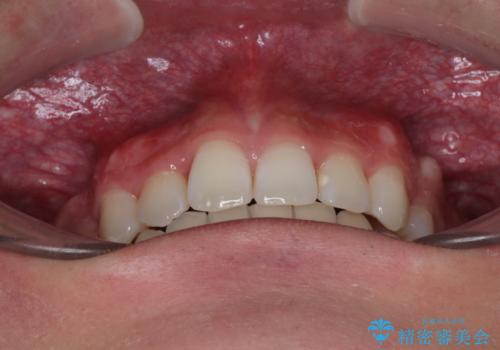
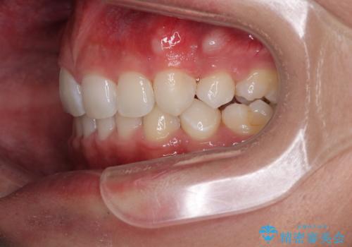
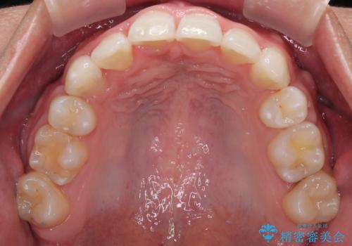
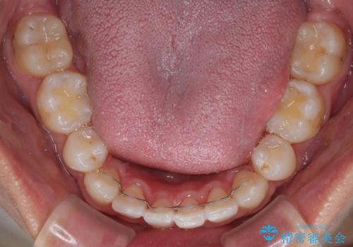
治療後には、デコボコと正中の位置が改善し、見た目だけでなく歯磨きがしやすい清潔なお口の環境を手に入れました。
ワイヤー矯正の注意事項(リスク・副作用など)
- 治療中は違和感や痛みが起こることがあります
- 症状により、抜歯が必要な場合があります
- 治療中は歯磨きがしにくくなるため、虫歯や歯周病になりやすくなります
- 矯正治療後の保定が不十分だと後戻り(元の位置に戻ろうとする動き)をします
- 自費診療(保険適用外)となります
当サイトの内容、テキスト、画像等の無断転載、複製、複写、盗用を固く禁じます。


























