症例詳細
Case detail
銀歯の下の虫歯を治したい オールセラミッククラウン・セラミックインレー修復
治療症例の内容
- 診療科目
- 担当医
- 有澤哲郎(ドクタープロフィール)
- 患者様
- 40代男性
- 治療期間
- 3ヶ月
- 治療回数
- 2-5回
- 治療計画
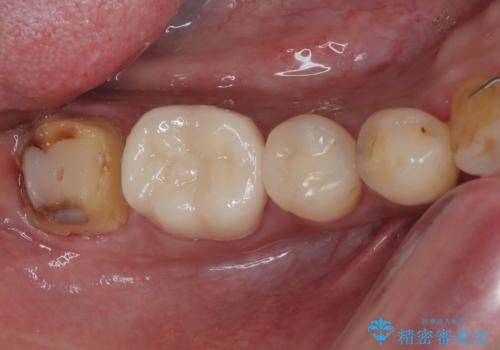
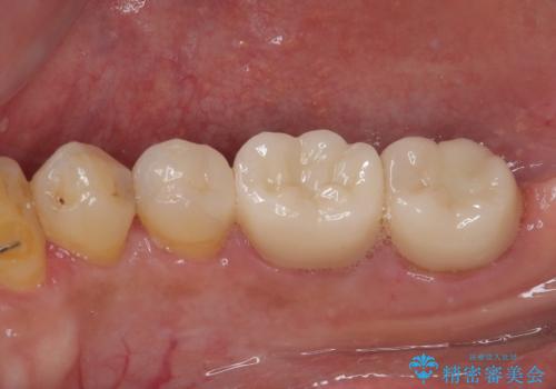
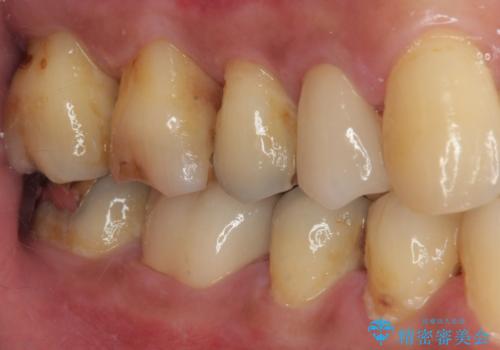
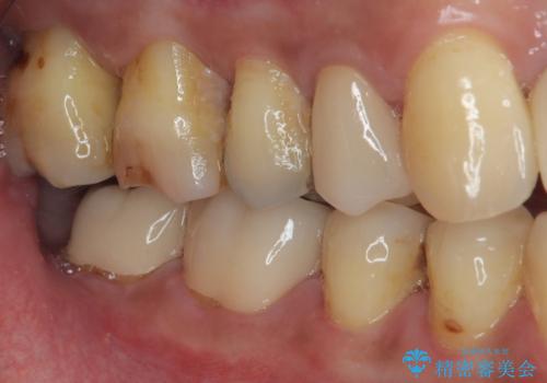
- 銀歯を外して虫歯治療をしたいとのことで来院された患者様です。右下の7番目の歯は銀歯の下に虫歯が広がっており根管治療の可能性もあることを説明したうえで治療を行いました。
左下の5番目の歯はセラミックインレー修復で治療を行うことにしました。
左下の7番目の歯は仮歯に置き換えた後自発痛、咬合痛の所見を認めたので、当院院長である藤巻先生に担当してもらっています。
- 費用(概算)
- 35万円(税込み)費用は治療当時の料金となります
治療について
根管治療後痛みもなくなり快適に使っていただけています。
順次残っている銀歯も虫歯治療を行いながらセラミックに置き換えていく予定です。
セラミック治療の注意事項(リスク・副作用など)
- 天然歯を削ります
- 硬い素材は天然歯を傷つけてしまう場合があります
- かみ合わせや歯ぎしりが強すぎる方はセラミックが割れてしまう可能性があります
- 自費診療(保険適用外治療)となります
根管治療の注意事項(リスク・副作用など)
- 根管治療により類似の全ての症例の問題が解決するわけではなく、症例はあくまでも一例です
- 根管治療により痛みや腫れがひかない事や、術後に痛みや腫れが生じる事、治療によるファイル破折やパーフォレーションなどの偶発症、術後の歯根破折を生じる可能性もあります
- 自費診療(保険適用外)となります
その他の注意事項(リスク・副作用など)
- 担当歯科医師、歯科衛生士又は医院スタッフから受けた説明・注意事項をよくご確認ください
- 医療を提供するに当たり、適切な説明を行い、患者様の十分な理解を得るよう努めております
当サイトの内容、テキスト、画像等の無断転載、複製、複写、盗用を固く禁じます。










