症例詳細
Case detail
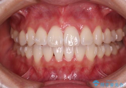
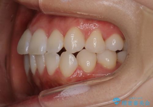
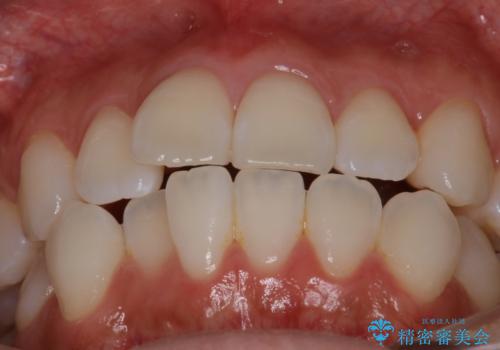
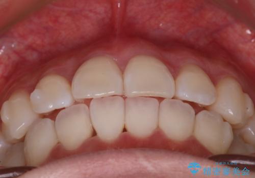
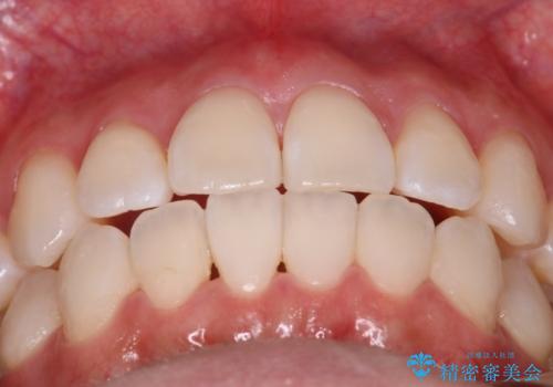
【インビザライン】右側のがたつき治したい
治療症例の内容
- 患者様
- 20代女性
- 矯正装置
- インビザライン
- 治療期間
- 1年
- 治療回数
- 10-30回
- 治療計画
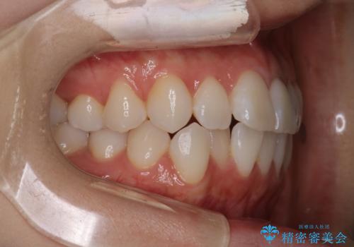
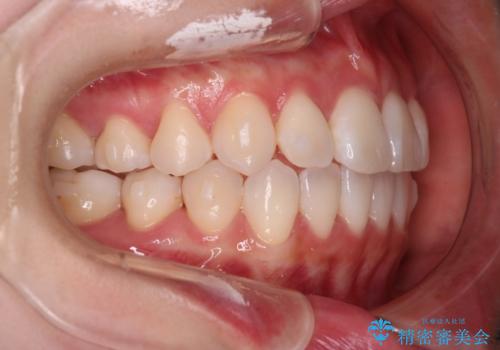
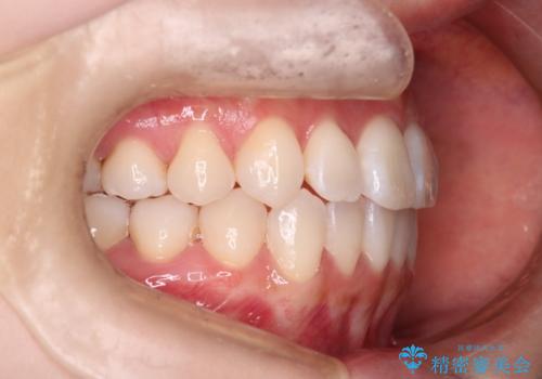
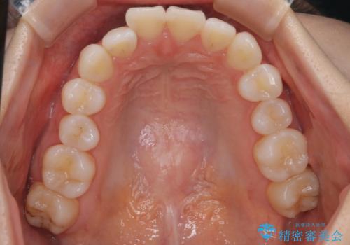
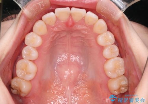
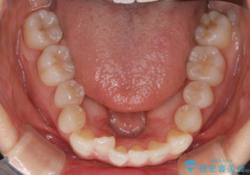
- 右側前歯のがたつきが気になるとのことで来院されました。
臼歯の咬合関係は問題なかったので、歯列拡大とIPR(歯と歯の間を削る処置)を行うことで歯並びを整える治療計画を立てました。
- 費用(概算)
- 47.3万円(税込)費用は治療当時の料金となります
治療について
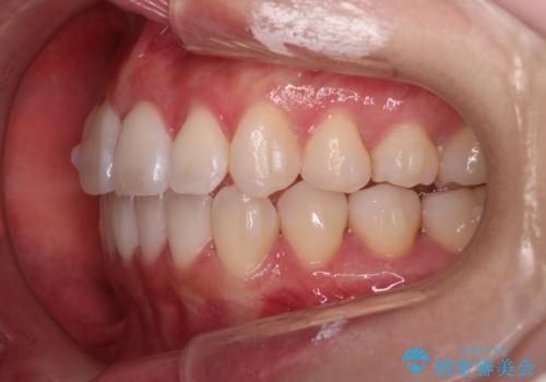
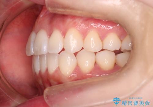
患者様より治療当初「マウスピース矯正でも経過をしっかりみてくれる歯科医院を探していたので当院での治療を決めた」との事でした。
当院では、矯正の経過はもちろん、口腔内の清掃状況・虫歯などのチェックも行なっております。
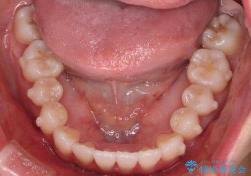
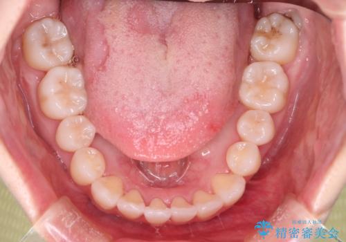
しっかり経過を確認しながら治療を進めることで、健康な口腔内を保ちながら歯並びも綺麗になりました。
マウスピース矯正の注意事項(リスク・副作用など)
- 口腔内・歯並びの状態によっては対応できない場合があります
- マウスピース型矯正装置の長時間装着(1日20時間以上)が必須です
- 治療計画通りに進めるためには、患者様の意志が重要になります
- 矯正治療後の保定が不十分だと後戻り(元の位置に戻ろうとする動き)をします
- 薬機法対象外の矯正歯科装置のため医薬品副作用被害救済制度の対象外となる場合があります
- 自費診療(保険適用外)となります
当サイトの内容、テキスト、画像等の無断転載、複製、複写、盗用を固く禁じます。




















