症例詳細
Case detail
【インビザラインモニター】前歯が出ているのが気になる
治療症例の内容
- 患者様
- 20代男性
- 矯正装置
- インビザライン
- 治療期間
- 1年2ヶ月
- 治療回数
- 5-10回
- 治療計画
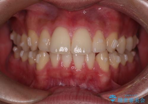
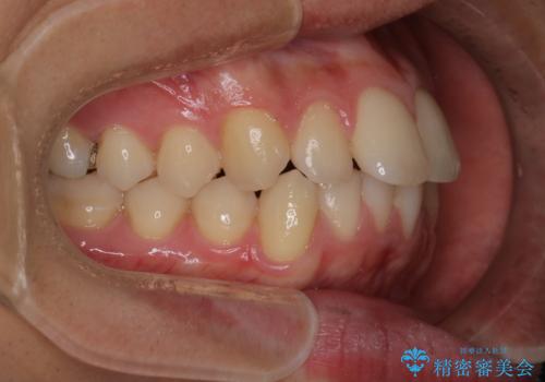
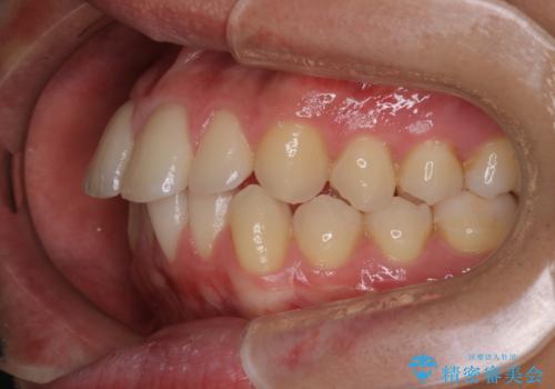
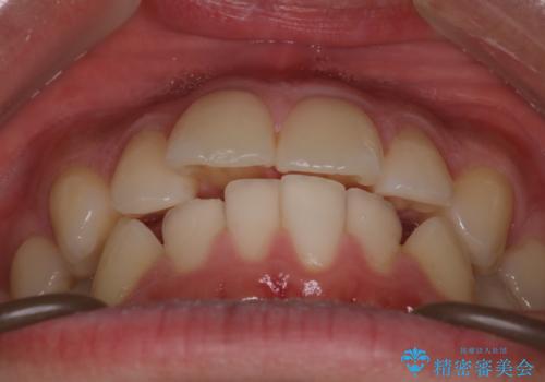
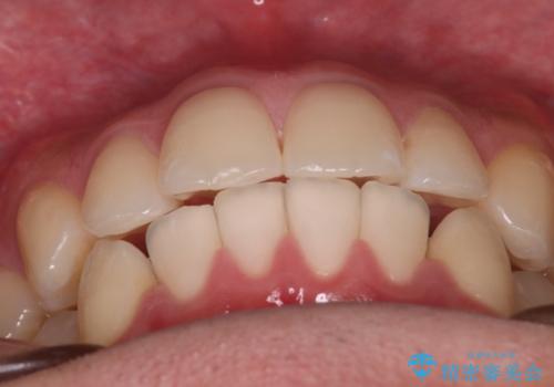
- 上の前歯が出ているのが少し気になるとの事で来院されました。
インビザライン希望のため、IPR(歯と歯の間を削る処置)を行うことで、前歯の位置とがたつき整える治療計画を立てました。
- 費用(概算)
- 55万円(税込)費用は治療当時の料金となります
※顔写真掲載にあたり、患者様の了解を得ております
治療について
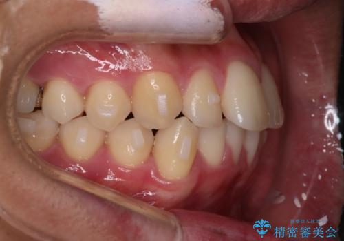
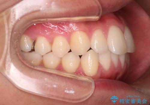
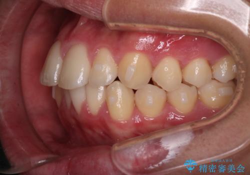
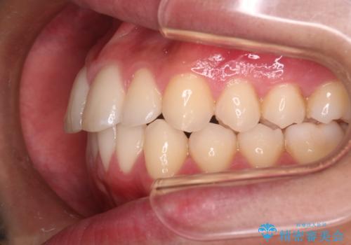
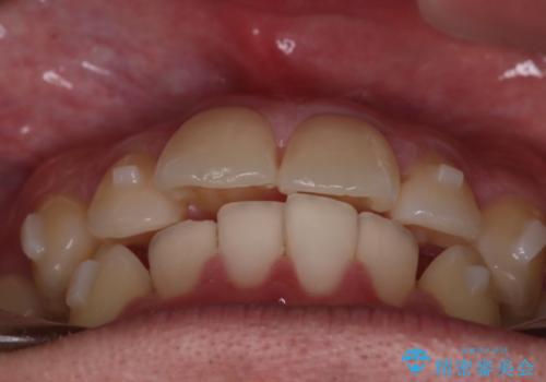
患者様よりシュミレーション通りに歯が動くか心配との事だったので
出来るだけ計画通りに歯を動かすために、マウスピース1枚あたりの使用時間を長めに使っていただきました。
そのため、多少治療期間が延びましたが、リファイメント(マウスピースの再発注)なしで終了することができました。
マウスピース矯正の注意事項(リスク・副作用など)
- 口腔内・歯並びの状態によっては対応できない場合があります
- マウスピース型矯正装置の長時間装着(1日20時間以上)が必須です
- 治療計画通りに進めるためには、患者様の意志が重要になります
- 矯正治療後の保定が不十分だと後戻り(元の位置に戻ろうとする動き)をします
- 薬機法対象外の矯正歯科装置のため医薬品副作用被害救済制度の対象外となる場合があります
- 自費診療(保険適用外)となります
当サイトの内容、テキスト、画像等の無断転載、複製、複写、盗用を固く禁じます。




















