症例詳細
Case detail
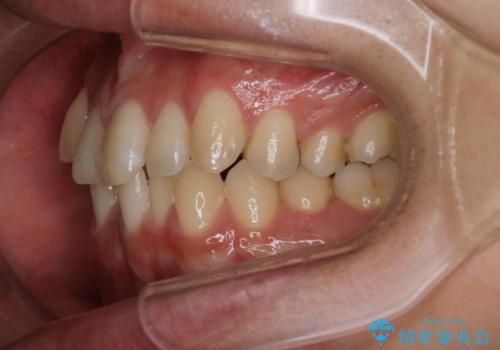
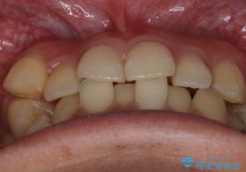
【クリア装置】八重歯とがたつきを綺麗に
治療症例の内容
- 診療科目
- 担当医
- 菊地俊介(ドクタープロフィール)
- 患者様
- 20代男性
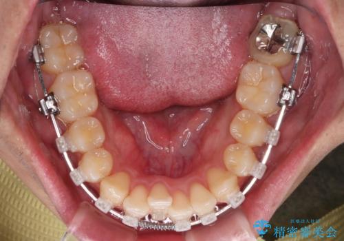
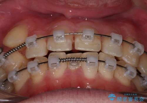
- 矯正装置
- クリア装置
- 治療期間
- 1年5ヶ月
- 治療回数
- 10-30回
- 治療計画
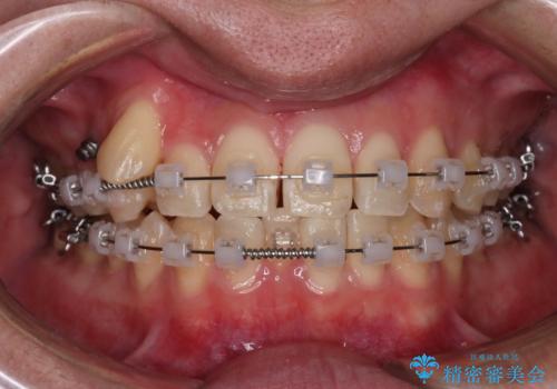
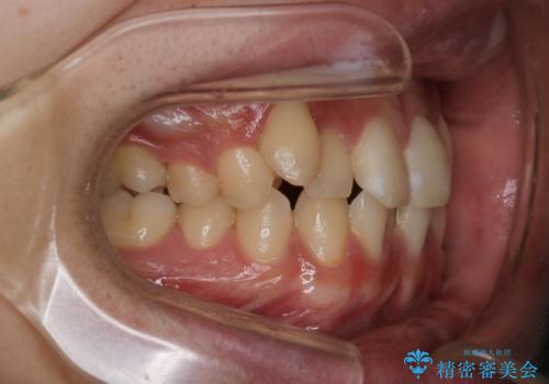
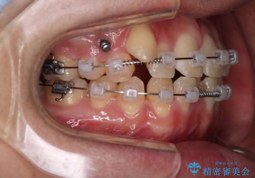
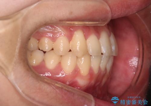
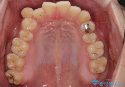
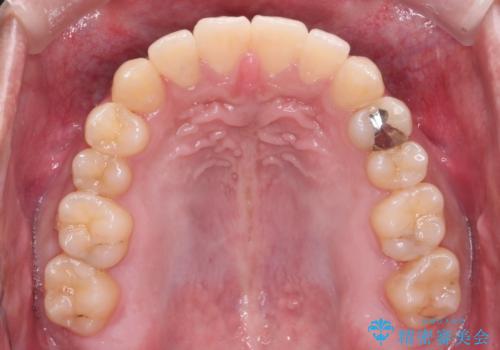
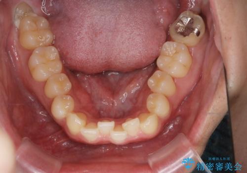
- 上の八重歯と下の歯のがたつきを主訴に来院されました。
矯正検査の結果、抜歯はせずに
臼歯を遠心移動させ、歯列をワイヤーで整えることでスペースを確保し、IPR(歯と歯の間を削る処置)を加えて歯並びを綺麗にする治療計画を立てました。
- 費用(概算)
- 60万円(税込)費用は治療当時の料金となります
治療について
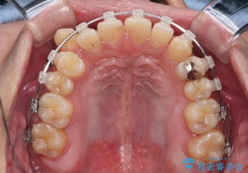
歯の移動にオープンコイルとMI(歯肉に埋入するネジ)を用いました。
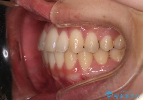
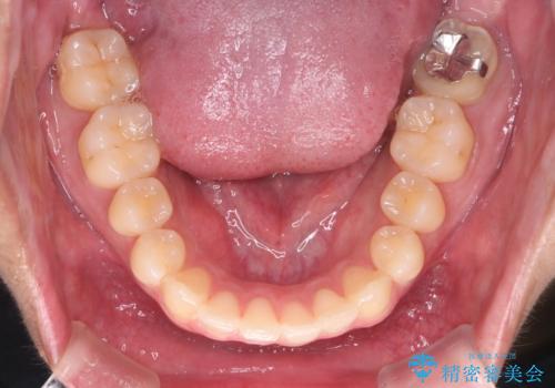
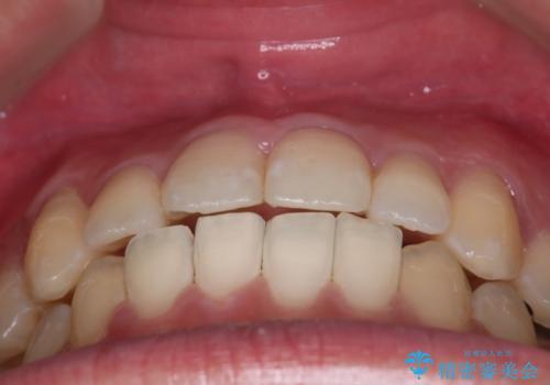
非抜歯矯正だったこともあり、1年半以内という短い期間で矯正を終了することができました。
気にされていた八重歯とがたつきが綺麗に改善されました。
ワイヤー矯正の注意事項(リスク・副作用など)
- 治療中は違和感や痛みが起こることがあります
- 症状により、抜歯が必要な場合があります
- 治療中は歯磨きがしにくくなるため、虫歯や歯周病になりやすくなります
- 矯正治療後の保定が不十分だと後戻り(元の位置に戻ろうとする動き)をします
- 自費診療(保険適用外)となります
当サイトの内容、テキスト、画像等の無断転載、複製、複写、盗用を固く禁じます。




















