症例詳細
Case detail
左下の奥歯が欠けた フルジルコニアクラウン・親知らず抜歯
治療症例の内容
- 診療科目
- 治療カテゴリ
- 担当医
- 有澤哲郎(ドクタープロフィール)
- 患者様
- 30代女性
- 治療期間
- 5ヶ月
- 治療回数
- 2-5回
- 治療計画
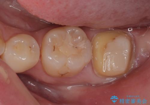
- 左下の奥歯が欠けたとのことで来院された患者様です。検査の結果、埋まっている親知らず抜歯とその手前の左下の7番目の歯のフルジルコニアクラウンによる補綴治療をおこなっていくこととしました。
左下の虫歯が大きいため、神経のテストも行いましたが正常な反応を示しました。
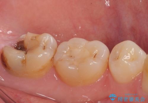
左下の虫歯が歯茎の下にも広がっているので、歯茎の位置を下げるためディスタルウェッジを行い埋伏親知らず抜歯を行いました。また同日に左下の歯を仮歯に変えています。
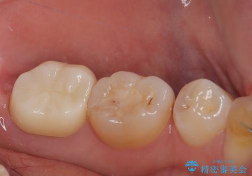
歯茎の治癒を3か月程度待ち、最終的なフルジルコニアクラウンの形に整え精密な型どりをシリコーン印象材にて行っております。
精密印象時、舌がよく動いたり唾液の量も多かったため個歯トレーを使用しています。
- 費用(概算)
- 10万円(税込み)費用は治療当時の料金となります
治療について
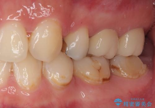
機能面、見た目ともに大変喜んでいただきました。
来院回数を少なくしたいとのご希望もあり親知らず抜歯と同日に仮歯に変えています。
歯茎の治癒を待つ間に痛み等ないことを確認できたので最終的な型どりを行いました。
今後は定期的にメンテナンスに通っていただく予定です。
セラミック治療の注意事項(リスク・副作用など)
- 天然歯を削ります
- 硬い素材は天然歯を傷つけてしまう場合があります
- かみ合わせや歯ぎしりが強すぎる方はセラミックが割れてしまう可能性があります
- 自費診療(保険適用外治療)となります
外科処置の注意事項(リスク・副作用など)
- 外科手術のため、術後に出血、痛みや腫れ、違和感を伴います
- 口腔内の状態によっては適応できないことがあります
保険治療の注意事項(リスク・副作用など)
- 保険医が保険医療機関において健康保険法、医師法、医療法等の各種関係法令の規定を遵守し、『療養担当規則』の規定を遵守し、医学的に妥当適切な診療を行い、診療報酬点数表に定められたとおりに請求を行っています
- 使用する材料・素材や治療方法に制約があります
- 健康保険適用となります
その他の注意事項(リスク・副作用など)
- 担当歯科医師、歯科衛生士又は医院スタッフから受けた説明・注意事項をよくご確認ください
- 医療を提供するに当たり、適切な説明を行い、患者様の十分な理解を得るよう努めております
当サイトの内容、テキスト、画像等の無断転載、複製、複写、盗用を固く禁じます。









