症例詳細
Case detail
境目の見える前歯をきれいにしたい セラミック治療
治療症例の内容
- 診療科目
- 治療カテゴリ
- 担当医
- 大元洋佑(ドクタープロフィール)
- 患者様
- 50代女性
- 治療期間
- 3ヶ月
- 治療回数
- 5-10回
- 治療計画
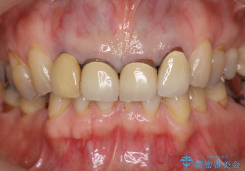
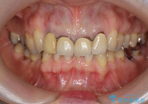
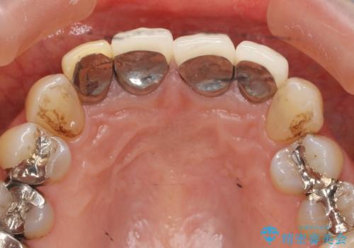
- 以前治療した前歯のセラミックの歯ぐきの位置がかわってしまい境目の変色の改善を希望して来院されました。
大きな穿孔が見られた、右上側切歯の抜去をこないブリッジの設計を含めた前歯の審美性の改善を目的とするセラミック治療を行いました。
- 費用(概算)
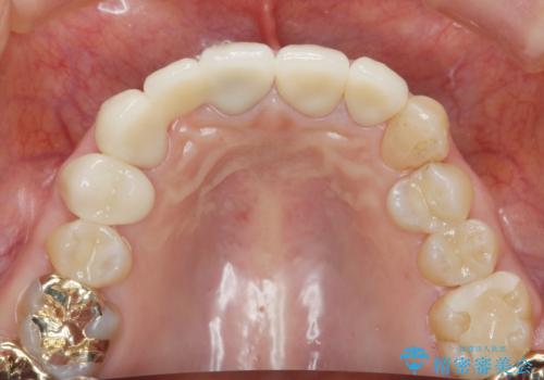
- 66万円(ジルコニアクラウン×5・仮歯×5)費用は治療当時の料金となります
治療について
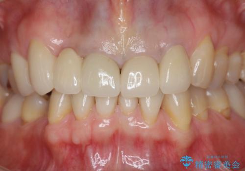
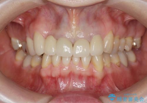
自然な歯の色調や仕上がりに大変満足いただけました。
セラミック治療の注意事項(リスク・副作用など)
- 天然歯を削ります
- 硬い素材は天然歯を傷つけてしまう場合があります
- かみ合わせや歯ぎしりが強すぎる方はセラミックが割れてしまう可能性があります
- 自費診療(保険適用外治療)となります
当サイトの内容、テキスト、画像等の無断転載、複製、複写、盗用を固く禁じます。










