症例詳細
Case detail
重度のデコボコも、インビザラインで改善
治療症例の内容
- 診療科目
- 担当医
- 河口智英(ドクタープロフィール)
- 患者様
- 20代女性
- 矯正装置
- インビザライン
- 治療期間
- 2年2ヶ月
- 治療回数
- 10-30回
- 治療計画
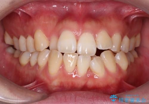
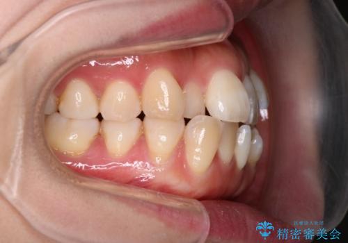
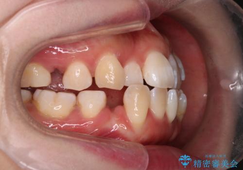
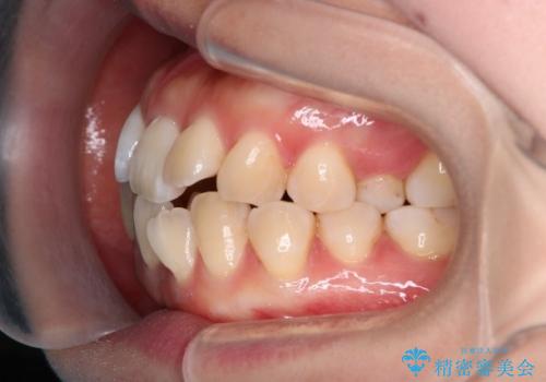
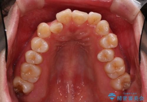
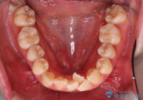
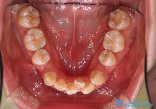
- 前歯から奥歯にかけて歯の重なりが激しい重度の叢生(デコボコ)を主訴にご来院されました。精密検査の結果、マウスピース矯正(インビザライン)で歯を並べるためには、スペースが大幅に不足していると診断。
そのため、上下左右の小臼歯を抜歯し、そのスペースを利用して歯並び全体を整える抜歯矯正の治療計画を立案しました。
装置には、目立たないインビザラインを採用し、審美性と治療効果の両立を目指します。
- 費用(概算)
- 100万円費用は治療当時の料金となります
治療について
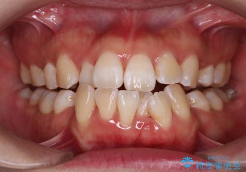
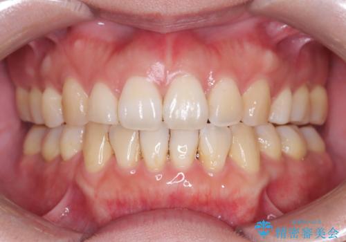
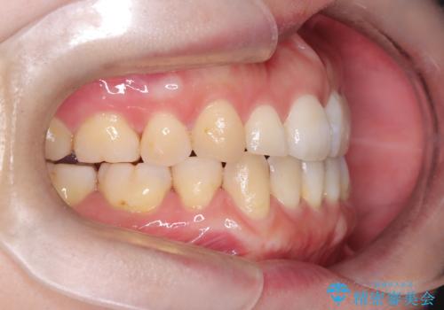
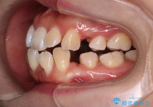
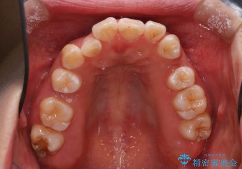
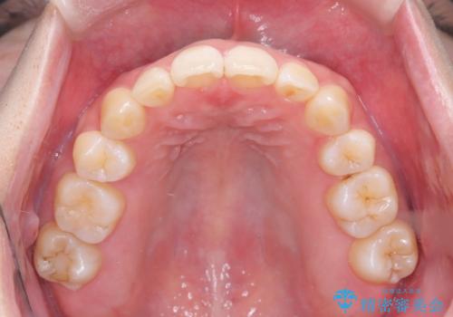
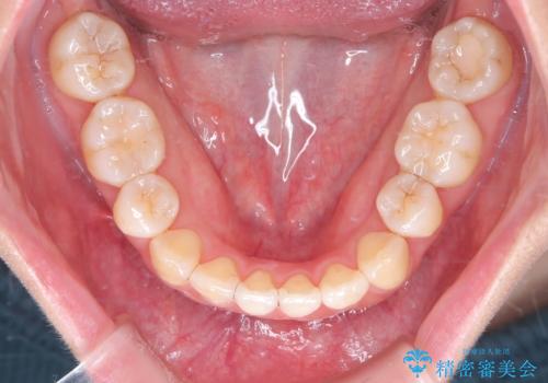
今回の治療では、重度の叢生を改善するため、まず計画通り小臼歯を抜歯し、歯を並べるためのスペースを確保しました。装置には透明で取り外し可能なインビザラインを使用。抜歯によってできたスペースを最大限に活用し、マウスピースを定期的に交換しながら、歯を徐々に移動させました。治療の結果、長年の悩みであった重度のデコボコが解消され、理想的な歯並びに改善。
見た目だけでなく、ブラッシングしやすい環境になったことで、機能的にも安定した美しい口元を獲得していただけました。
マウスピース矯正の注意事項(リスク・副作用など)
- 口腔内・歯並びの状態によっては対応できない場合があります
- マウスピース型矯正装置の長時間装着(1日20時間以上)が必須です
- 治療計画通りに進めるためには、患者様の意志が重要になります
- 矯正治療後の保定が不十分だと後戻り(元の位置に戻ろうとする動き)をします
- 薬機法対象外の矯正歯科装置のため医薬品副作用被害救済制度の対象外となる場合があります
- 自費診療(保険適用外)となります
当サイトの内容、テキスト、画像等の無断転載、複製、複写、盗用を固く禁じます。















