症例詳細
Case detail
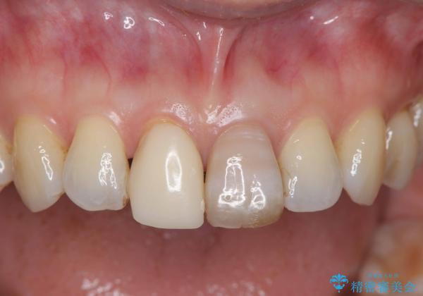
前歯の色が気になる!|他院で抜歯と言われた|歯を残したい|精密根管治療とオールセラミッククラウンで治療
治療症例の内容
- 診療科目
- 担当医
- 河野豊嘉(ドクタープロフィール)
- 患者様
- 30代女性
- 治療期間
- 2ヶ月
- 治療回数
- 2-5回
- 治療計画
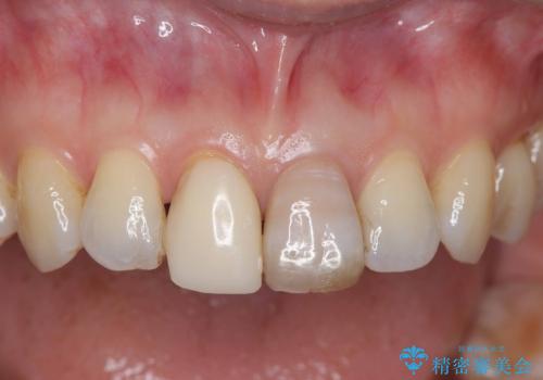
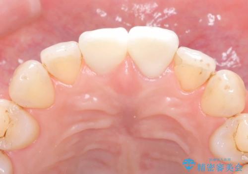
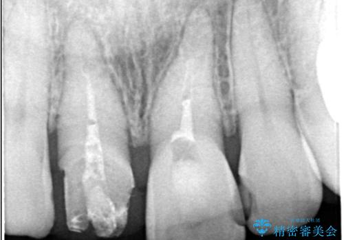
- 気を失って転倒し、前歯をぶつけたことをきっかけに「かかりつけ医で抜歯と診断された」との主訴で来院された患者様です。
レントゲン撮影や顕微鏡下での精査、メチレンブルーによる染色検査を行った結果、破折線は認められず、保存可能と判断しました。
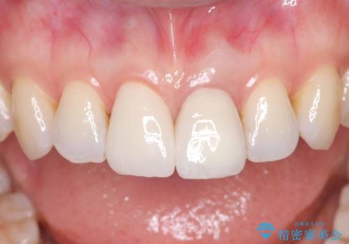
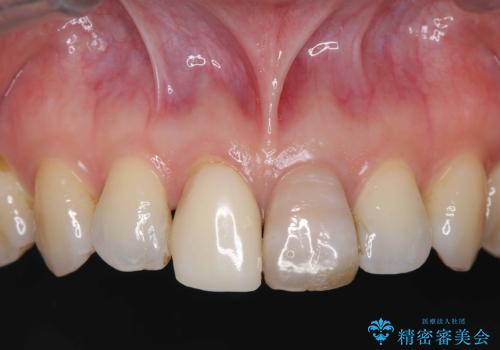
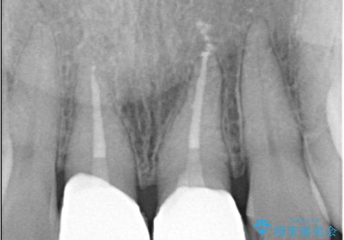
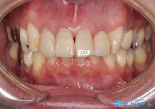
精密根管治療を行い、その後オールセラミッククラウンで審美的に修復しています。あわせてホワイトニングとエアフローによるクリーニングも行い、自然で美しい仕上がりとなりました。
- 費用(概算)
- 税込5940,000円(精密根管治療110,000円×2本+ファイバーコア22.000円×2本+オールセラミッククラウンスペシャル154,000円×2本+仮歯11,000円×2本)費用は治療当時の料金となります
治療について
他院で抜歯と診断された歯が、当院での治療により2本とも保存でき、見た目もきれいに仕上がりました。患者様にも大変ご満足いただけました。
抜歯と診断された場合でも、根管治療によって歯を残せることがあります。お気軽にご相談ください。
セラミック治療の注意事項(リスク・副作用など)
- 天然歯を削ります
- 硬い素材は天然歯を傷つけてしまう場合があります
- かみ合わせや歯ぎしりが強すぎる方はセラミックが割れてしまう可能性があります
- 自費診療(保険適用外治療)となります
根管治療の注意事項(リスク・副作用など)
- 根管治療により類似の全ての症例の問題が解決するわけではなく、症例はあくまでも一例です
- 根管治療により痛みや腫れがひかない事や、術後に痛みや腫れが生じる事、治療によるファイル破折やパーフォレーションなどの偶発症、術後の歯根破折を生じる可能性もあります
- 自費診療(保険適用外)となります
当サイトの内容、テキスト、画像等の無断転載、複製、複写、盗用を固く禁じます。



















