症例詳細
Case detail
著しいがたつきによる清掃困難 歯牙抜去とセラミック治療
治療症例の内容
- 診療科目
- 治療カテゴリ
- 担当医
- 大元洋佑(ドクタープロフィール)
- 患者様
- 20代女性
- 治療期間
- 6ヶ月
- 治療回数
- 5-10回
- 治療計画
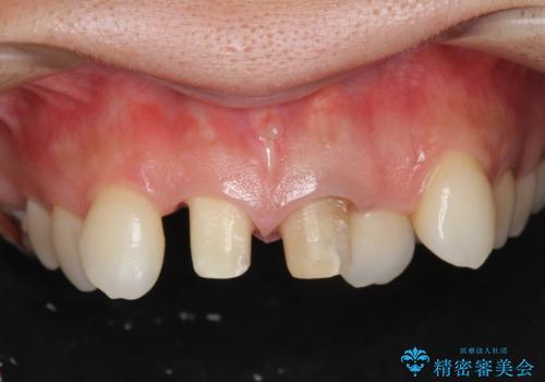
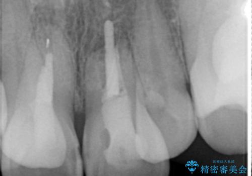
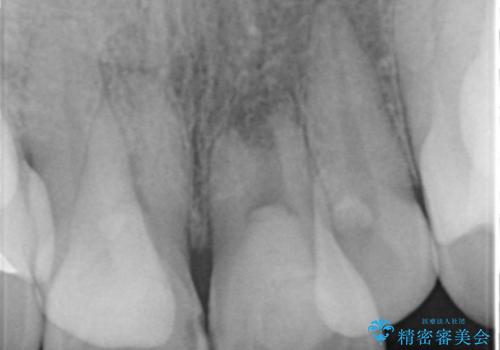
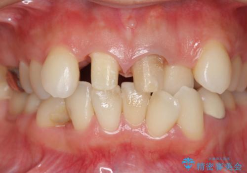
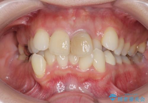
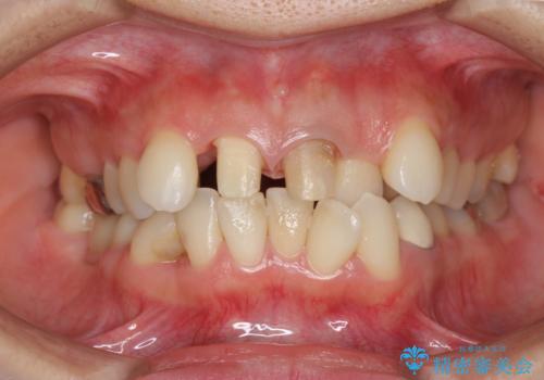
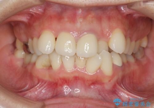
- 前歯の変色の改善を希望され来院されました。
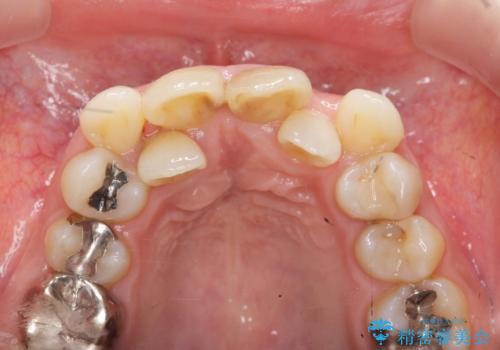
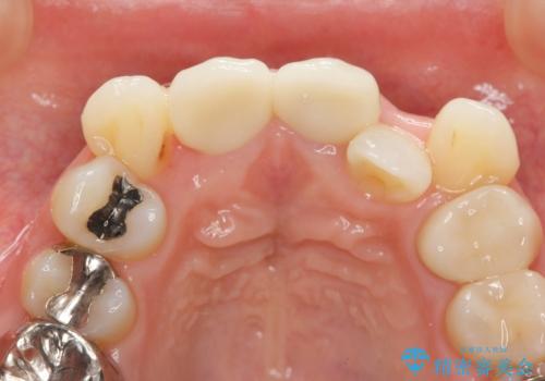
X線写真より、充填剤の突き出た状態の根管治療の再治療を行い、セラミック治療を計画すると同時に、
歯ブラシがしづらく虫歯の原因となっている歯の位置の悪い右上側切歯の抜去を行います。
- 費用(概算)
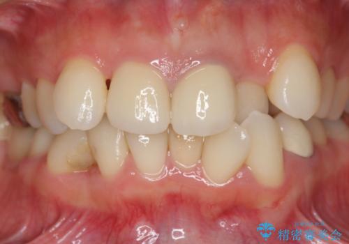
- 26.4万円(ジルコニアクラウン×2・仮歯×2)費用は治療当時の料金となります
治療について
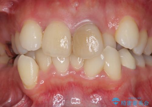
清掃を難しくしている歯を抜去することで虫歯の再発を防ぐような治療方針としました。
セラミック治療の注意事項(リスク・副作用など)
- 天然歯を削ります
- 硬い素材は天然歯を傷つけてしまう場合があります
- かみ合わせや歯ぎしりが強すぎる方はセラミックが割れてしまう可能性があります
- 自費診療(保険適用外治療)となります
当サイトの内容、テキスト、画像等の無断転載、複製、複写、盗用を固く禁じます。





















