症例詳細
Case detail
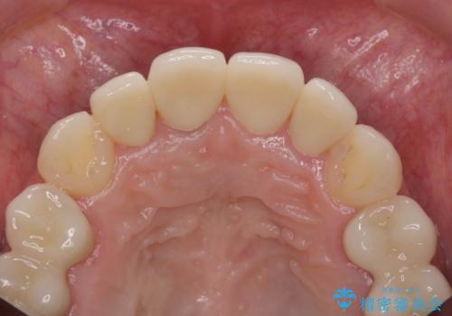
虫歯だらけの前歯をセラミック治療
治療症例の内容
- 診療科目
- 治療カテゴリ
- 担当医
- 大元洋佑(ドクタープロフィール)
- 患者様
- 20代女性
- 治療期間
- 2ヶ月
- 治療回数
- 5-10回
- 治療計画
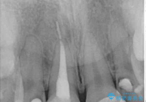
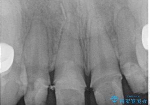
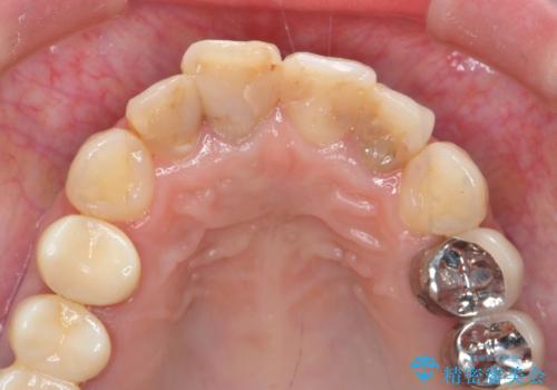
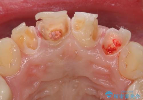
- 子供の頃にジュースが原因で虫歯が多発し、レジン修復をしていたが見た目の改善を希望され来院されました。
レジン充填・虫歯を丁寧に全て除去したのちジルコニアセラミックを用いた前歯の審美改善を計画します。
- 費用(概算)
- 52.8万円(ジルコニアクラウン×4・仮歯×4)費用は治療当時の料金となります
治療について
自然な歯の仕上がりに大変満足いただくことができました。
セラミック治療の注意事項(リスク・副作用など)
- 天然歯を削ります
- 硬い素材は天然歯を傷つけてしまう場合があります
- かみ合わせや歯ぎしりが強すぎる方はセラミックが割れてしまう可能性があります
- 自費診療(保険適用外治療)となります
当サイトの内容、テキスト、画像等の無断転載、複製、複写、盗用を固く禁じます。









