症例詳細
Case detail
奥歯の激しい痛みを解消し、歯を長持ちさせる精密治療
治療症例の内容
- 診療科目
- 担当医
- 河口智英(ドクタープロフィール)
- 患者様
- 20代女性
- 治療期間
- 2ヶ月
- 治療回数
- 2-5回
- 治療計画
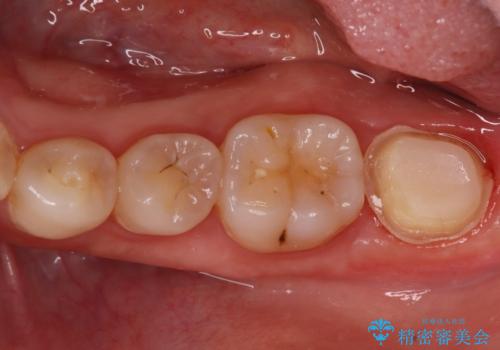
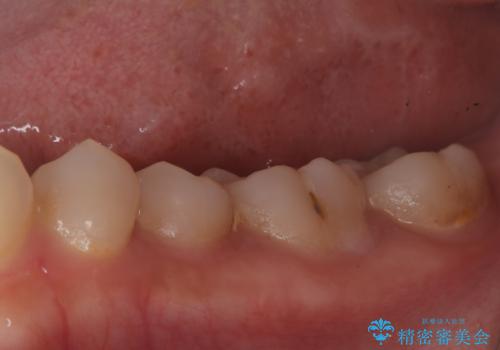
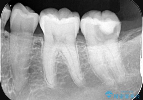
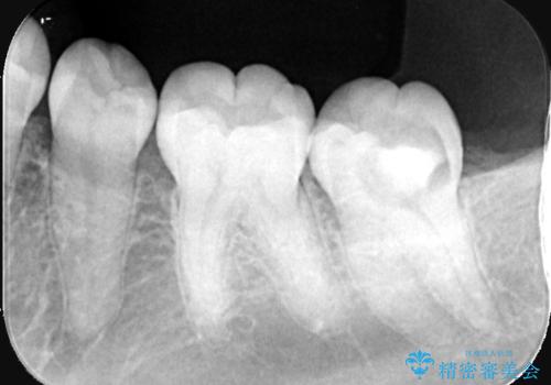
- 昨日からのズキズキとした激しい痛みを主訴にご来院されました。レントゲンおよび歯髄診察の結果、不可逆性の歯髄炎(歯の神経の重度の炎症)と診断。歯を残すことを第一に、まず痛みの原因である神経を取り除く根管治療を提案しました。また、虫歯が歯肉の下まで深く進行していたため、根管治療後に歯周外科処置を行い、最終的に精密なセラミッククラウンで修復する、総合的な治療計画を立案しました。
- 費用(概算)
- 35万円費用は治療当時の料金となります
治療について
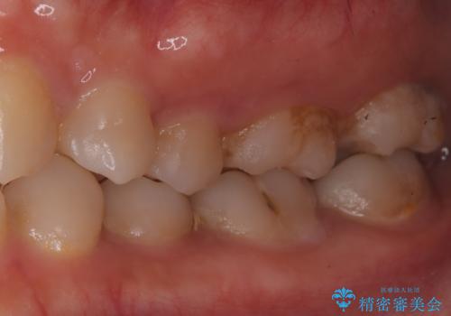
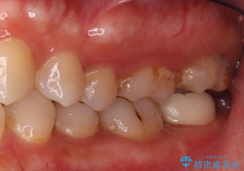
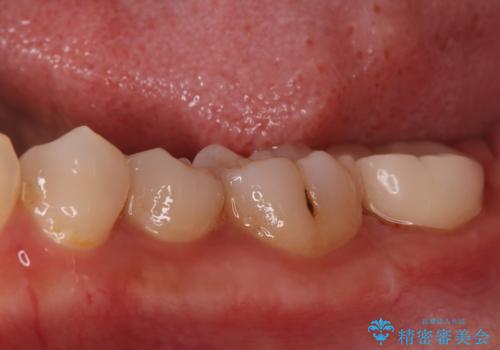
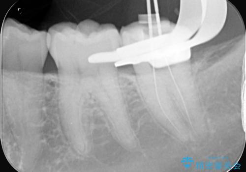
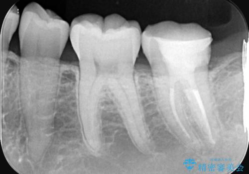
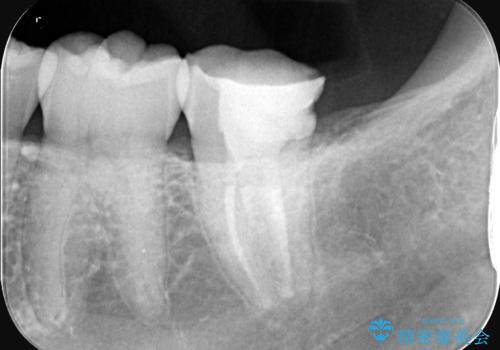
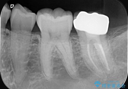
治療はまず、根管治療から始め、感染した神経を徹底的に除去することで、痛みをすぐに解消しました。再発を防ぐため、ラバーダムや顕微鏡を使って、根管内を丁寧に、そして精密に処置しました。次に、深い部分の虫歯を確実に治療するため、歯周外科処置を行い、治療しやすい環境を整えました。最後に、機能と見た目に優れたセラミッククラウンを作製・装着。根管治療から外科処置、審美修復までを一貫して行うことで、再発リスクの低い、長期的に安定して使える奥歯を取り戻していただけました。
根管治療の注意事項(リスク・副作用など)
- 根管治療により類似の全ての症例の問題が解決するわけではなく、症例はあくまでも一例です
- 根管治療により痛みや腫れがひかない事や、術後に痛みや腫れが生じる事、治療によるファイル破折やパーフォレーションなどの偶発症、術後の歯根破折を生じる可能性もあります
- 自費診療(保険適用外)となります
セラミック治療の注意事項(リスク・副作用など)
- 天然歯を削ります
- 硬い素材は天然歯を傷つけてしまう場合があります
- かみ合わせや歯ぎしりが強すぎる方はセラミックが割れてしまう可能性があります
- 自費診療(保険適用外治療)となります
当サイトの内容、テキスト、画像等の無断転載、複製、複写、盗用を固く禁じます。















