症例詳細
Case detail
銀歯を白くしたい フルジルコニアクラウン
治療症例の内容
- 診療科目
- 治療カテゴリ
- 担当医
- 有澤哲郎(ドクタープロフィール)
- 患者様
- 30代女性
- 治療期間
- 1ヶ月
- 治療回数
- 2-5回
- 治療計画
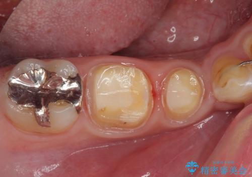
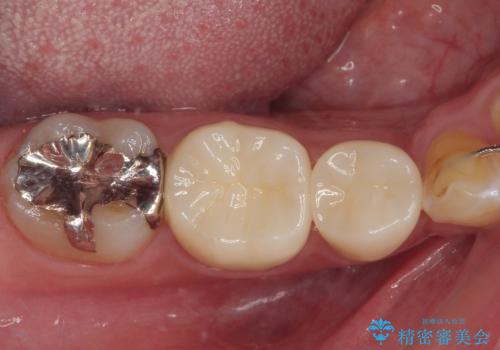
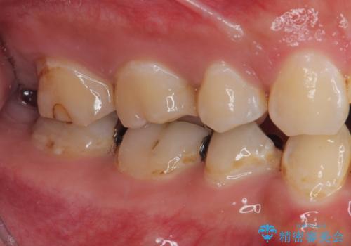
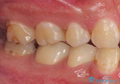
- 当院にて矯正治療を終えた患者様で銀歯を白くしたいとのことで来院された患者様です。神経の反応を確認し詰め物の範囲も大きいためフルジルコニアクラウンにて治療を行うことにしました。
拡大鏡視野下でメタルインレー、虫歯を除去しフルジルコニアクラウンに適した形に整えました。
歯と歯茎の間に圧排糸と言われる糸を入れてシリコーン印象材にて型どりをしました。
- 費用(概算)
- 20万円(税込み)費用は治療当時の料金となります
嘔吐反射が強い方へのセラミック治療について
「歯科治療の時に、器具や型取りでえずいてしまう…」
このようなお悩みをお持ちの方は少なくありません。特に、セラミック治療では精密な型取りや治療時間が必要になるため、「私には難しいのでは」と不安に感じられる方もいらっしゃいます。
当院では、嘔吐反射が強い患者様にも安心してセラミック治療を受けていただけるよう、口腔内に入れる器具をできるだけ小さくすることや姿勢やチェアの角度を工夫するといった配慮を行い、治療を進めていきます。
セラミック治療の注意事項(リスク・副作用など)
- 天然歯を削ります
- 硬い素材は天然歯を傷つけてしまう場合があります
- かみ合わせや歯ぎしりが強すぎる方はセラミックが割れてしまう可能性があります
- 自費診療(保険適用外治療)となります
その他の注意事項(リスク・副作用など)
- 担当歯科医師、歯科衛生士又は医院スタッフから受けた説明・注意事項をよくご確認ください
- 医療を提供するに当たり、適切な説明を行い、患者様の十分な理解を得るよう努めております
当サイトの内容、テキスト、画像等の無断転載、複製、複写、盗用を固く禁じます。







