症例詳細
Case detail
八重歯と前歯のガタガタを抜歯矯正で治療|クリアブラケット使用例
治療症例の内容
- 診療科目
- 治療カテゴリ
- 担当医
- 齋藤佑磨(ドクタープロフィール)
- 患者様
- 20代男性
- 矯正装置
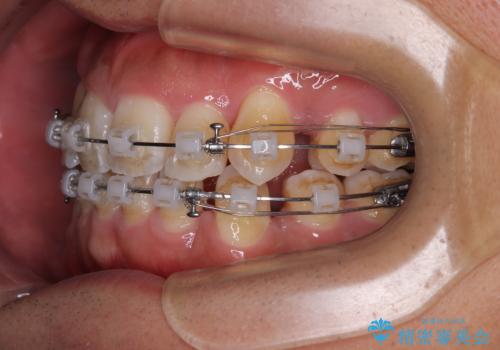
- クリアブラケット
- 治療期間
- 2年3ヶ月
- 治療回数
- 30回以上
- 治療計画
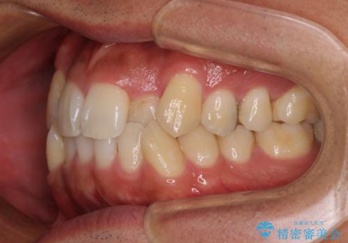
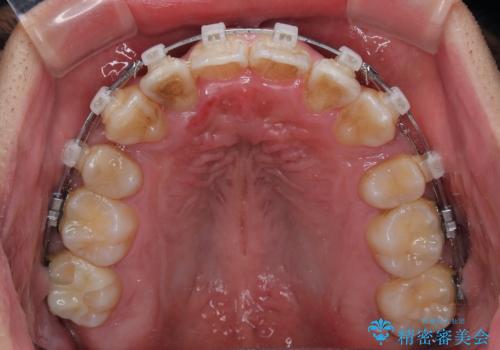
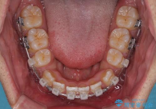
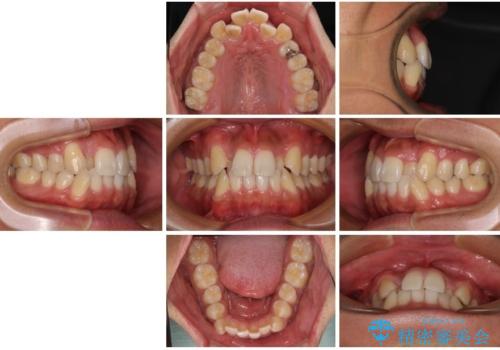
- 「八重歯を治したい」とご相談いただいた患者様の症例をご紹介します。
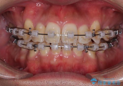
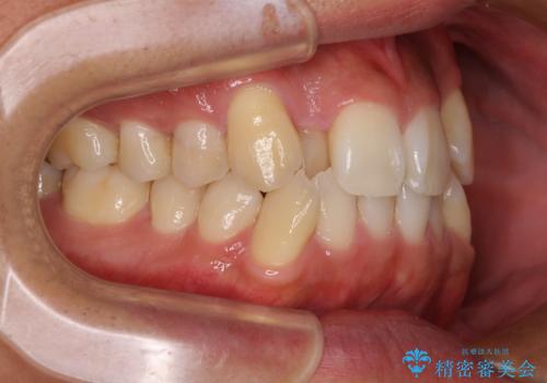
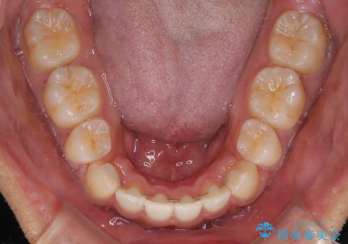
上下の前歯部に強い叢生(ガタガタの歯並び)があり、そのまま歯を並べると出っ歯になってしまう可能性がありました。
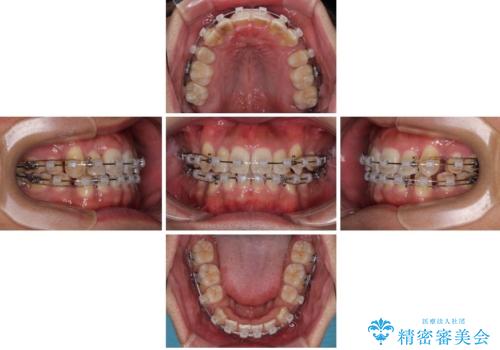
そこで、上下左右の第一小臼歯を抜歯し、歯が並ぶためのスペースを確保し叢生を解消する治療計画を立てました。
矯正装置は、審美性と費用面のバランスを考慮して、プラスチックブラケットとメタルワイヤーを使用しました。
透明感のあるブラケットを用いたため、従来の金属装置よりも目立ちにくく、日常生活での見た目の不安も軽減できます。
- 費用(概算)
- 99万円(税込)費用は治療当時の料金となります
治療について
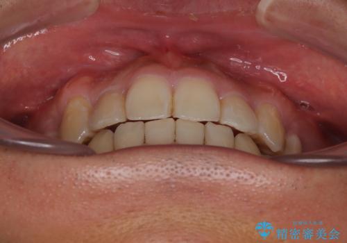
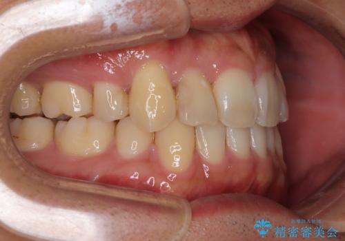
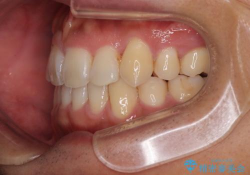
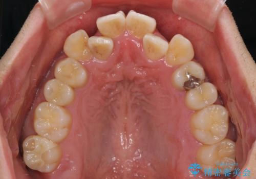
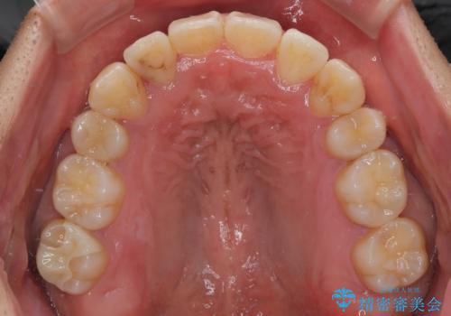
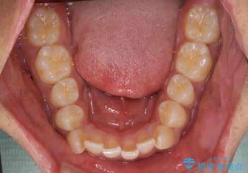
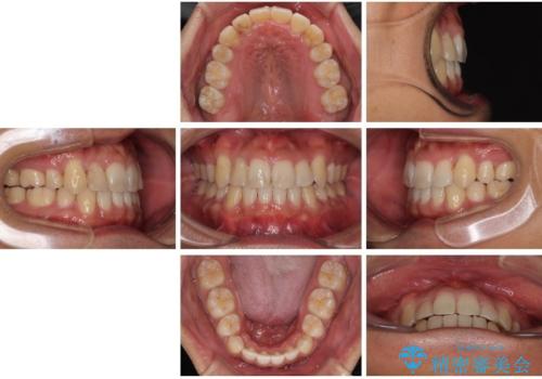
八重歯はきれいに整い、前歯もバランスよく収まり、横顔のラインも自然に改善されました。
治療後、患者様は「思い切り笑えるようになった」と大変喜んでくださいました。
ワイヤー矯正の注意事項(リスク・副作用など)
- 治療中は違和感や痛みが起こることがあります
- 症状により、抜歯が必要な場合があります
- 治療中は歯磨きがしにくくなるため、虫歯や歯周病になりやすくなります
- 矯正治療後の保定が不十分だと後戻り(元の位置に戻ろうとする動き)をします
- 自費診療(保険適用外)となります
当サイトの内容、テキスト、画像等の無断転載、複製、複写、盗用を固く禁じます。


























