症例詳細
Case detail
左下奥歯が腫れて痛い フルジルコニアクラウン
治療症例の内容
- 診療科目
- 担当医
- 小澤俊哉(ドクタープロフィール)
- 患者様
- 30代女性
- 治療期間
- 治療回数
- 5-10回
- 治療計画
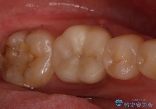
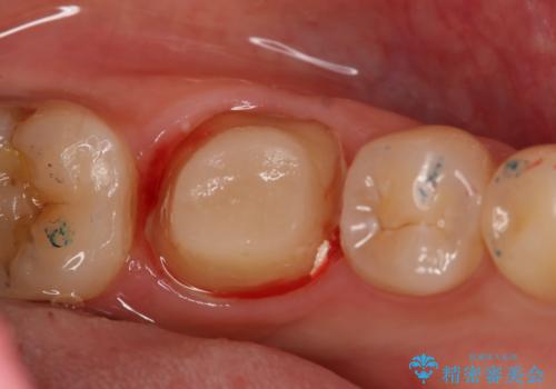
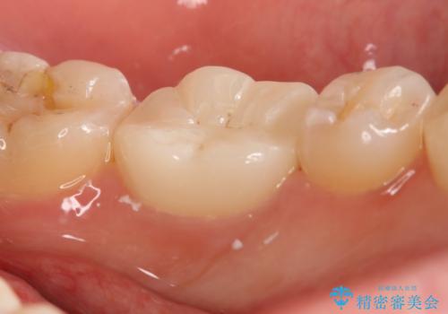
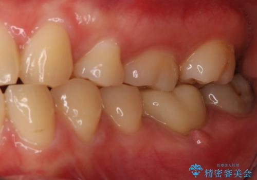
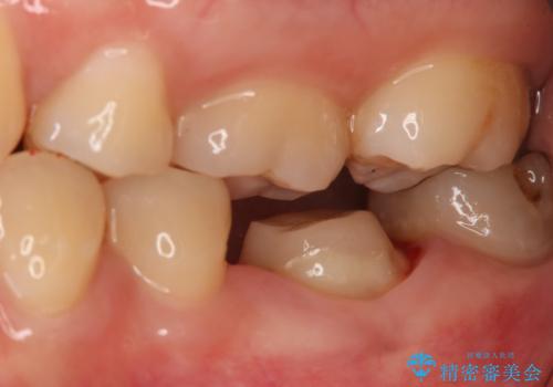
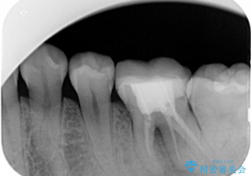
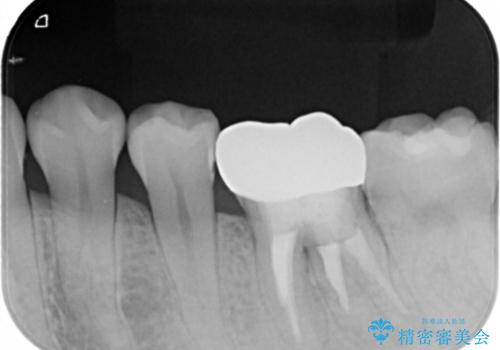
- 左下大臼歯の歯肉に腫れと痛みが繰り返し起こっているので治療を希望し来院された患者様です。
既に治療されている歯でしたが根尖部に病巣が確認出来たので、精密根管治療とクラウンの再治療が必要と判断されました。
- 費用(概算)
- 240000円費用は治療当時の料金となります
治療について
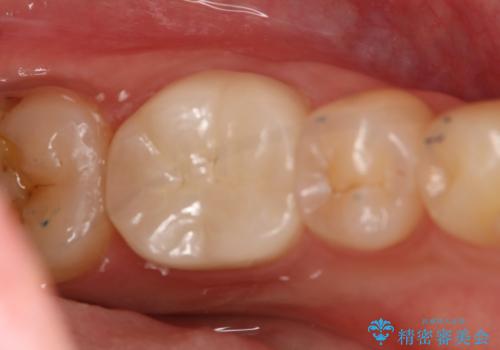
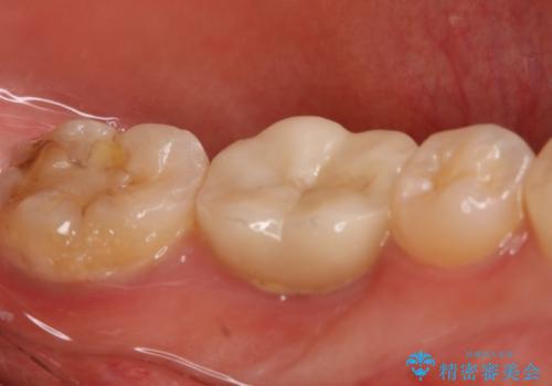
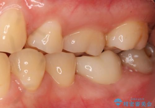
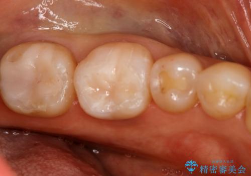
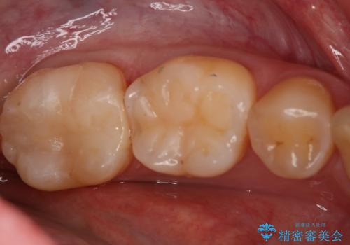
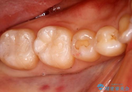
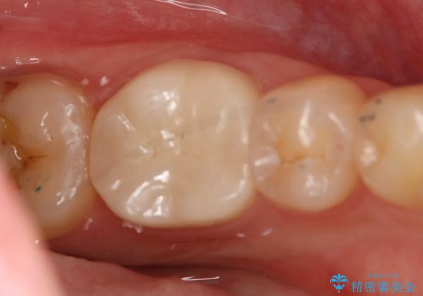
精密根管治療を行なったことで病巣は消失し、腫れや痛みは再発することなく経過は良好です。
被せ物はフルジルコニアクラウンを選択されました。
セラミック治療の注意事項(リスク・副作用など)
- 天然歯を削ります
- 硬い素材は天然歯を傷つけてしまう場合があります
- かみ合わせや歯ぎしりが強すぎる方はセラミックが割れてしまう可能性があります
- 自費診療(保険適用外治療)となります
根管治療の注意事項(リスク・副作用など)
- 根管治療により類似の全ての症例の問題が解決するわけではなく、症例はあくまでも一例です
- 根管治療により痛みや腫れがひかない事や、術後に痛みや腫れが生じる事、治療によるファイル破折やパーフォレーションなどの偶発症、術後の歯根破折を生じる可能性もあります
- 自費診療(保険適用外)となります
当サイトの内容、テキスト、画像等の無断転載、複製、複写、盗用を固く禁じます。











