症例詳細
Case detail
【モニター】マウスピース矯正が煩わしい ワイヤー装置での非抜歯矯正
治療症例の内容
- 診療科目
- 治療カテゴリ
- 担当医
- 藤巻太一朗(ドクタープロフィール)
- 患者様
- 20代女性
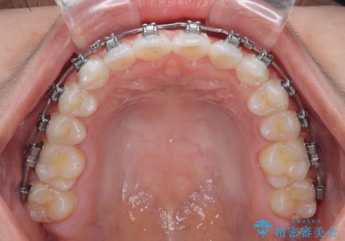
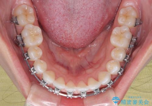
- 矯正装置
- メタルブラケット
- 治療期間
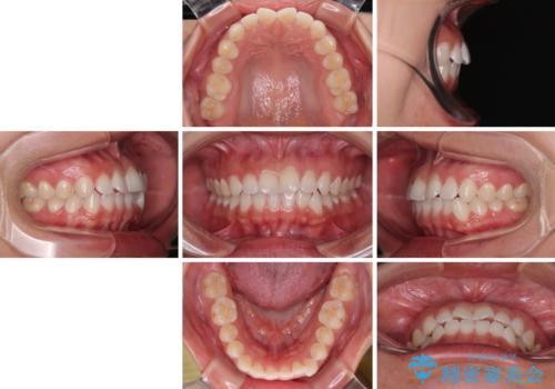
- 7ヶ月
- 治療回数
- 5-10回
- 治療計画
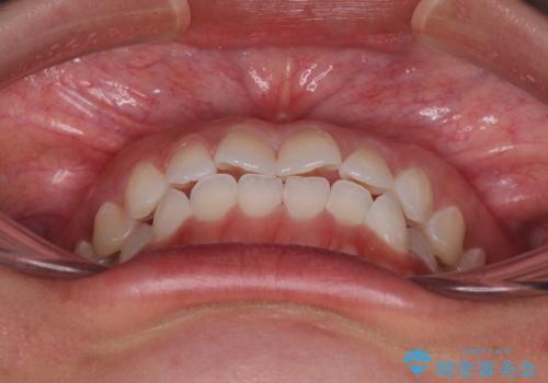
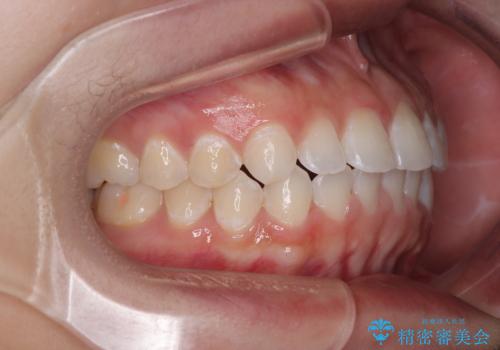
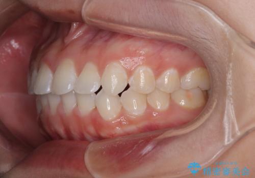
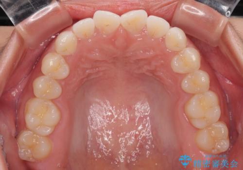
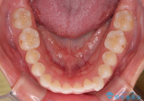
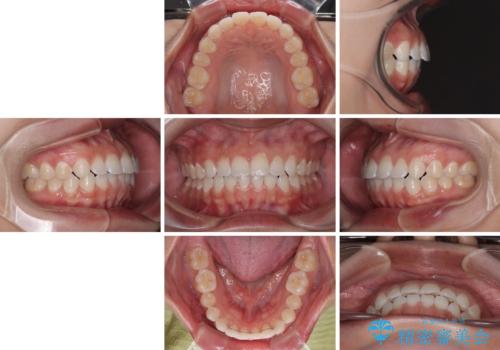
- 上下前歯のデコボコを気にして来院された患者様です。
ワイヤー矯正でもマウスピース矯正でも可能でしたが、短期間で、自身の手を煩わせることなく治療を行いたいとのことで、ワイヤー装置にて矯正治療を行うこととしました。
- 費用(概算)
- 70万円(税込)費用は治療当時の料金となります
※顔写真掲載にあたり、患者様の了解を得ております
治療について
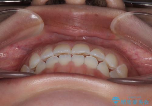
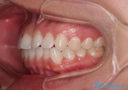
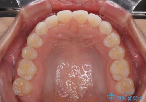
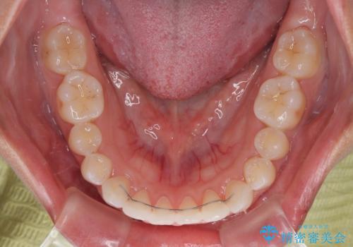
僅か半年強、あっという間に治療を終えることができました。
ワイヤー矯正の注意事項(リスク・副作用など)
- 治療中は違和感や痛みが起こることがあります
- 症状により、抜歯が必要な場合があります
- 治療中は歯磨きがしにくくなるため、虫歯や歯周病になりやすくなります
- 矯正治療後の保定が不十分だと後戻り(元の位置に戻ろうとする動き)をします
- 自費診療(保険適用外)となります
当サイトの内容、テキスト、画像等の無断転載、複製、複写、盗用を固く禁じます。


























