症例詳細
Case detail
前歯のデコボコをささっと治す 短期間でのインビザライン矯正治療
治療症例の内容
- 診療科目
- 治療カテゴリ
- 担当医
- 藤巻太一朗(ドクタープロフィール)
- 患者様
- 30代男性
- 矯正装置
- インビザライン
- 治療期間
- 1年1ヶ月
- 治療回数
- 5-10回
- 治療計画
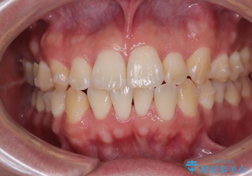
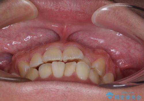
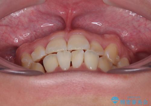
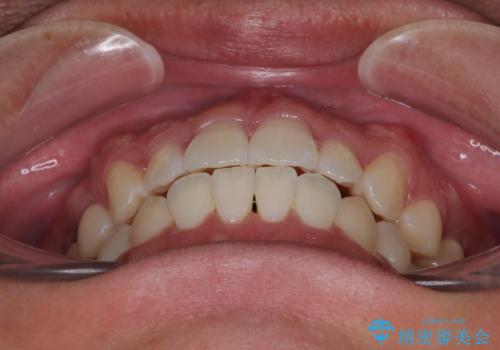
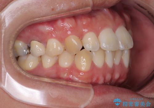
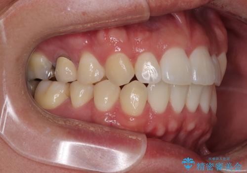
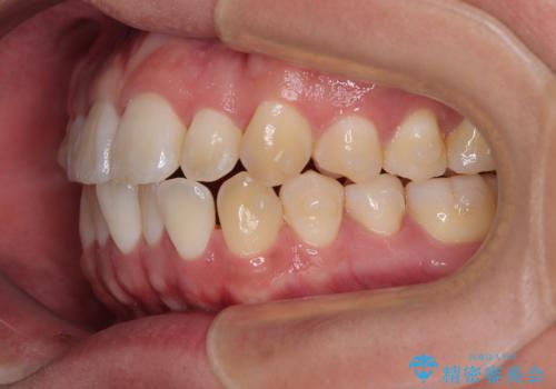
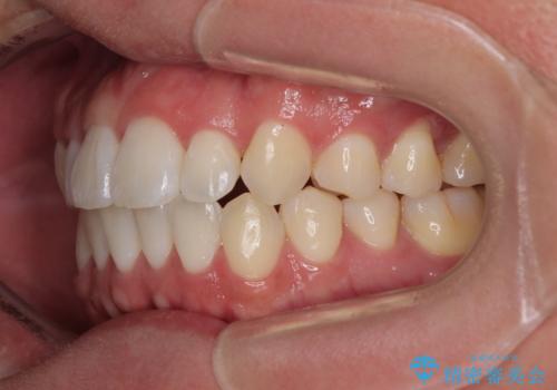
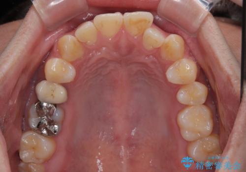
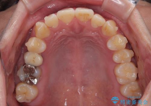
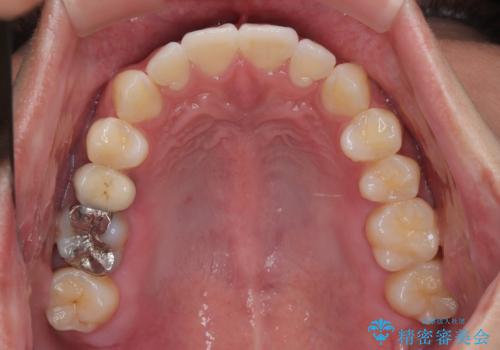
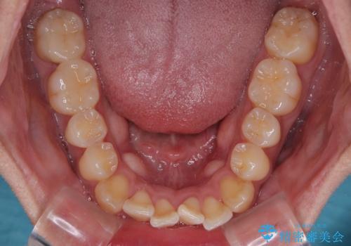
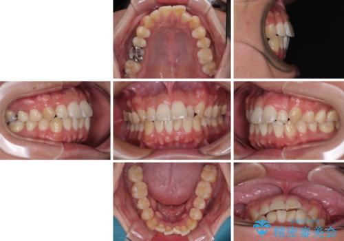
- 前歯の反対咬合などを気にして来院された患者様です。
ワイヤー矯正、マウスピース矯正どちらでも対応可能であったので、ご本人の希望によりインビザラインにて矯正治療を行うこととしました。
- 費用(概算)
- 90万円(税込)費用は治療当時の料金となります
治療について
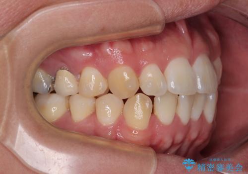
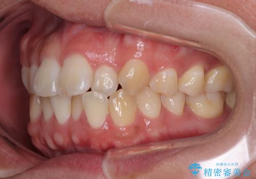
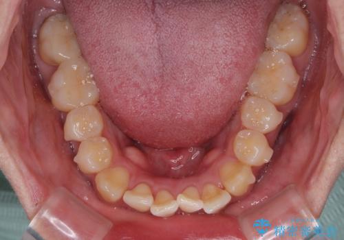
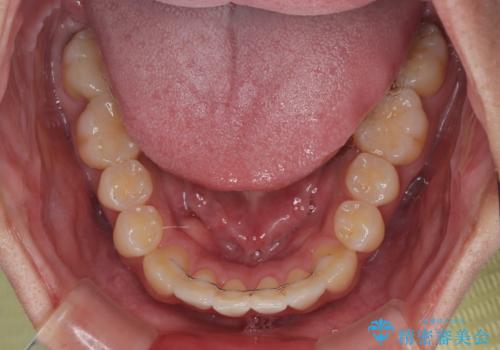
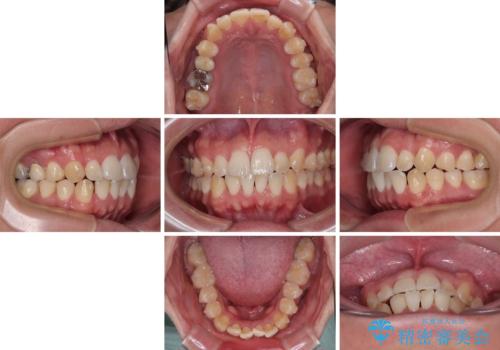
マウスピース矯正は、ワイヤー矯正と違い、とにかく自己管理が非常に重要となります。
毎日の装着時間をしっかりと守ってくださり、1年強の短期間で、あっという間に治療を終えることができました。
マウスピース矯正の注意事項(リスク・副作用など)
- 口腔内・歯並びの状態によっては対応できない場合があります
- マウスピース型矯正装置の長時間装着(1日20時間以上)が必須です
- 治療計画通りに進めるためには、患者様の意志が重要になります
- 矯正治療後の保定が不十分だと後戻り(元の位置に戻ろうとする動き)をします
- 薬機法対象外の矯正歯科装置のため医薬品副作用被害救済制度の対象外となる場合があります
- 自費診療(保険適用外)となります
当サイトの内容、テキスト、画像等の無断転載、複製、複写、盗用を固く禁じます。



























