症例詳細
Case detail
【モニター】八重歯とデコボコを治したい 補助装置を併用したワイヤー矯正
治療症例の内容
- 診療科目
 
- 治療カテゴリ
 
- 担当医
 - 藤巻太一朗(ドクタープロフィール)
 
- 患者様
 - 20代男性
 
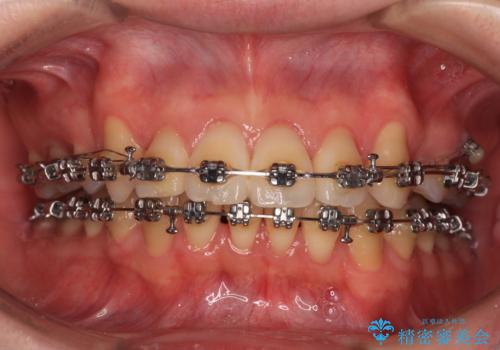
- 矯正装置
 - メタルブラケット
 
- 治療期間
 - 2年11ヶ月
 
- 治療回数
 - 30回以上
 
- 治療計画
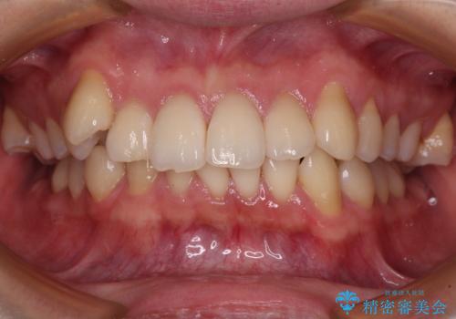
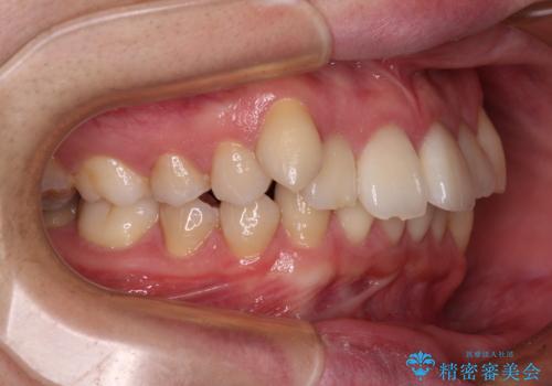
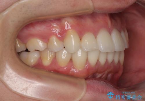
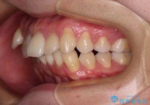
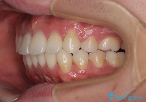
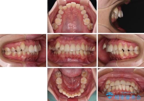
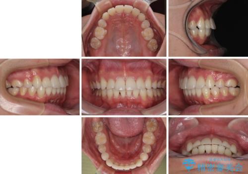
 - 前歯のデコボコや八重歯を気にして来院された患者様です。
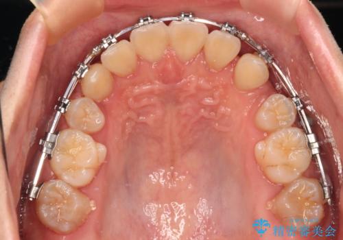
左右ともに奥歯の咬み合わせに問題があり、上顎臼歯が前方位にある状態で、結果として上顎前歯全体が前方位かつ叢生になっていました。
また、左右ともに上顎最後臼歯が頬側に転移していたため、補助装置を用いて舌側に移動をさせながら、上顎前歯を引っ込むように移動させることとしました。
口元の突出感を解消させるため上顎左右第一小臼歯2本を抜歯して、ワイヤー装置にて矯正治療を行うこととしました。 
- 費用(概算)
 - 90万円(税込)費用は治療当時の料金となります
 
※顔写真掲載にあたり、患者様の了解を得ております
治療について
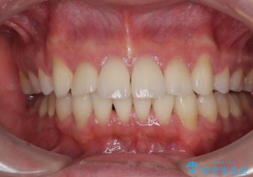
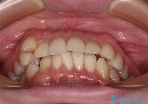
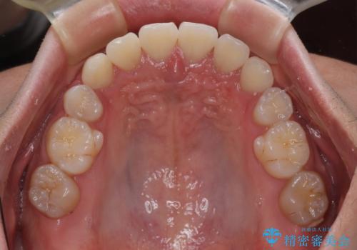
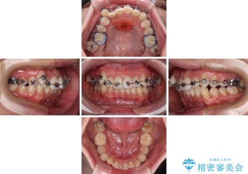
上顎のみの抜歯矯正であったため、治療期間が長期化することが予想されましたが、何とか3年弱の期間で想定通りの仕上がりで終えることができました。
ワイヤー矯正の注意事項(リスク・副作用など)
- 治療中は違和感や痛みが起こることがあります
 - 症状により、抜歯が必要な場合があります
 - 治療中は歯磨きがしにくくなるため、虫歯や歯周病になりやすくなります
 - 矯正治療後の保定が不十分だと後戻り(元の位置に戻ろうとする動き)をします
 - 自費診療(保険適用外)となります
 
当サイトの内容、テキスト、画像等の無断転載、複製、複写、盗用を固く禁じます。

                      
                                                          

























