症例詳細
Case detail
【モニター】前歯のデコボコをワイヤーの抜歯矯正で綺麗に整える
治療症例の内容
- 診療科目
- 治療カテゴリ
- 担当医
- 藤巻太一朗(ドクタープロフィール)
- 患者様
- 20代女性
- 矯正装置
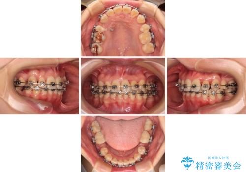
- メタルブラケット
- 治療期間
- 3年3ヶ月
- 治療回数
- 30回以上
- 治療計画
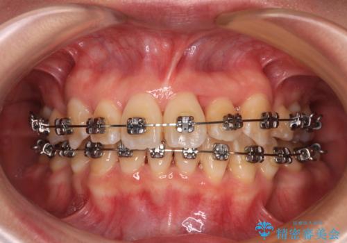
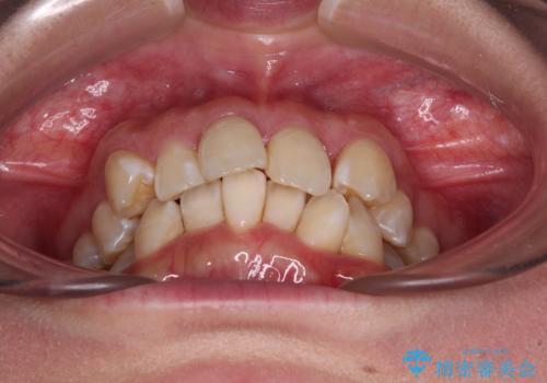
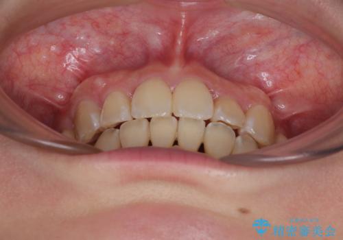
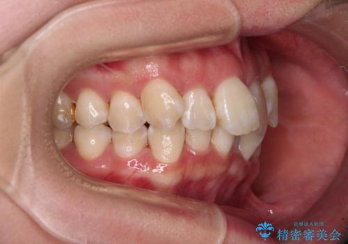
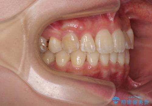
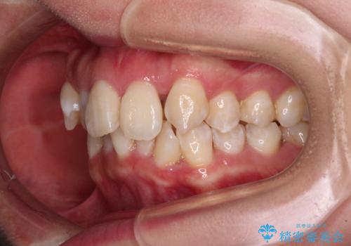
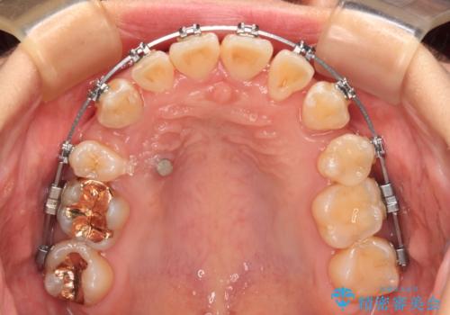
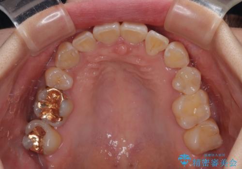
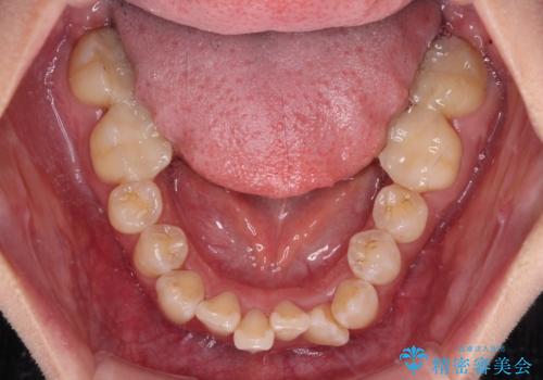
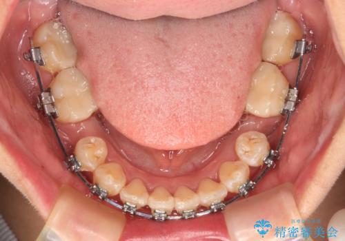
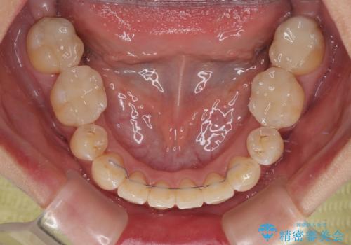
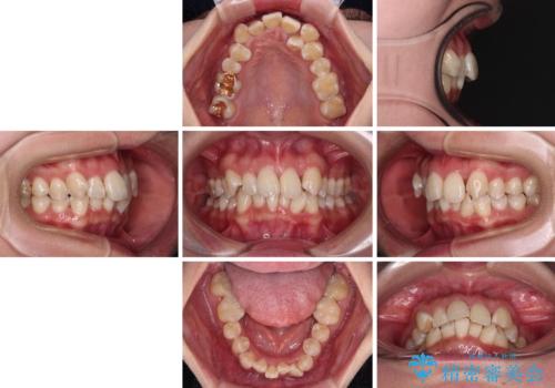
- 前歯1本が後ろ側に隠れてしまうほどのデコボコを気にして来院された患者様です。
前歯のデコボコが顕著なのはもちろんですが、左右ともに奥歯の咬み合わせに問題があり、上顎臼歯が前方位にある状態でした。
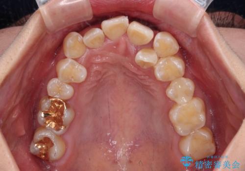
上顎は左右の第一小臼歯2本を、下顎は左右第二小臼歯2本を抜歯することで、奥歯の咬み合わせを改善しながら、デコボコを解消していくこととしました。
- 費用(概算)
- 105万円(税込)費用は治療当時の料金となります
※顔写真掲載にあたり、患者様の了解を得ております
治療について
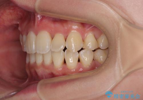
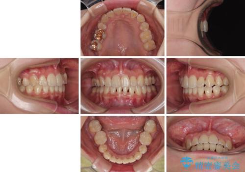
奥歯の咬み合わせ改善にはどうしても長期間を要します。
3年強とお伝えしておりましたが、予想通り3年3ヶ月で治療を終えることができました。
ワイヤー矯正の注意事項(リスク・副作用など)
- 治療中は違和感や痛みが起こることがあります
- 症状により、抜歯が必要な場合があります
- 治療中は歯磨きがしにくくなるため、虫歯や歯周病になりやすくなります
- 矯正治療後の保定が不十分だと後戻り(元の位置に戻ろうとする動き)をします
- 自費診療(保険適用外)となります
当サイトの内容、テキスト、画像等の無断転載、複製、複写、盗用を固く禁じます。


























