症例詳細
Case detail
食事が取れないほどの激痛 奥歯のインプラント治療
治療症例の内容
- 担当医
- 藤巻太一朗(ドクタープロフィール)
- 患者様
- 50代女性
- 治療期間
- 6ヶ月
- 治療回数
- 5-10回
- 治療計画
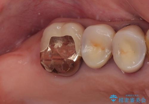
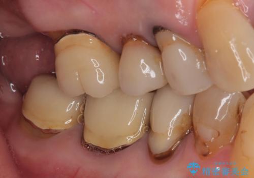
- 食事が取れないほどの激痛で、インプラント治療を希望して来院された患者様です。
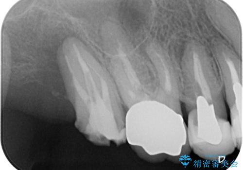
近医にてクラウンを除去してもらった状態での来院でした。
遠心が歯根破折しており、歯槽骨が著しく吸収している状態であったため、抜歯即時でのインプラント埋入は断念し、2ヶ月ほど待機してから埋入することとしました。
- 費用(概算)
- 45万円(税込)費用は治療当時の料金となります
治療について
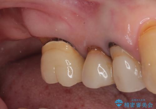
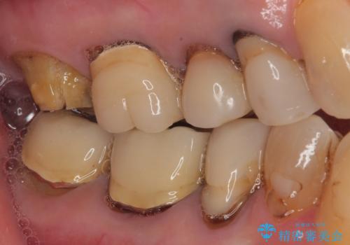
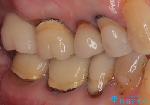
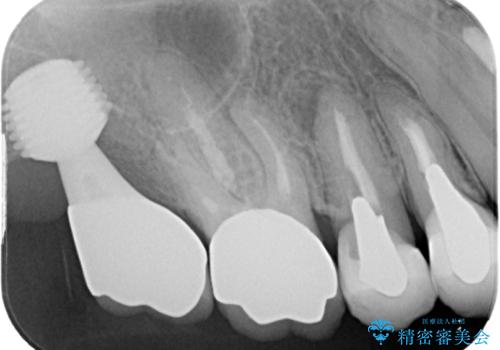
抜歯後2ヶ月でのインプラント埋入を行いましたが、骨の再生は不十分でした。
骨量は不十分でしたが、デンサーバーを用いることで無事に埋入することができ、その後は速やかに補綴治療を行うことができました。
インプラント治療の注意事項(リスク・副作用など)
- 外科手術のため、術後に痛みや腫れ、違和感を伴います
- メンテナンスを怠ったり喫煙により、お口の中に大きな悪影響を及ぼすインプラント周囲炎等にかかる可能性があります
- 糖尿病、肝硬変、心臓病等の場合、インプラント治療ができない可能性があります
- 高血圧、貧血・不整脈等の場合、インプラント治療後に治癒不全を招く可能性があります
- 自費診療(保険適用外治療)となります
当サイトの内容、テキスト、画像等の無断転載、複製、複写、盗用を固く禁じます。


















