症例詳細
Case detail
前歯のデコボコと口元の膨らみを治したい ワイヤー装置での非抜歯矯正
治療症例の内容
- 診療科目
- 担当医
- 藤巻太一朗(ドクタープロフィール)
- 患者様
- 20代女性
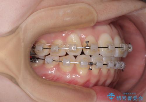
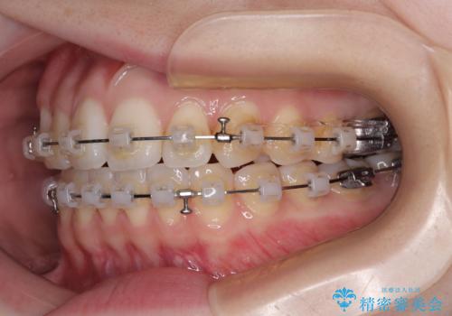
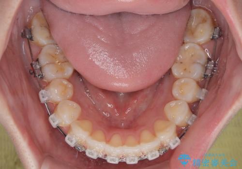
- 矯正装置
- クリアブラケット
- 治療期間
- 1年6ヶ月
- 治療回数
- 10-30回
- 治療計画
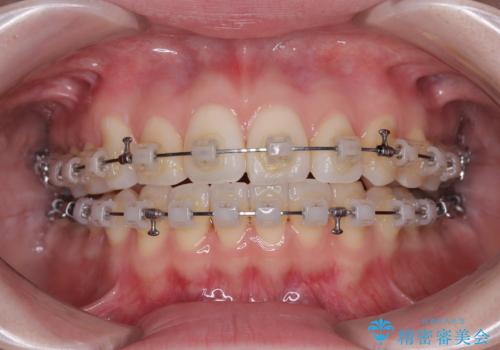
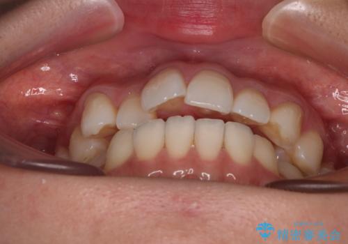
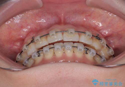
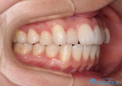
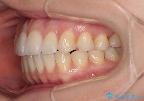
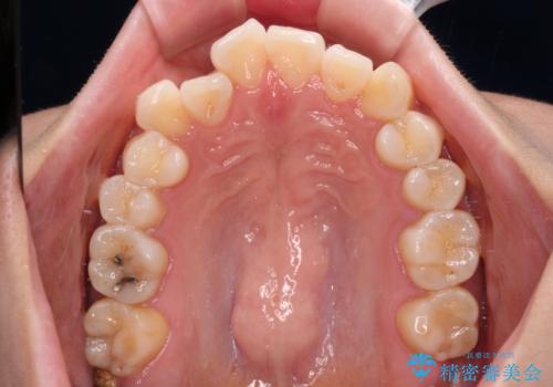
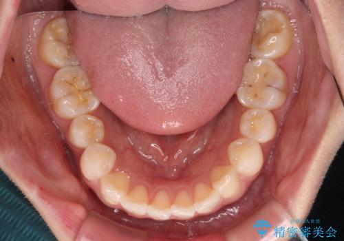
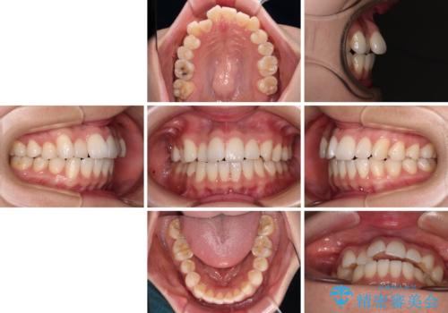
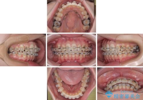
- 前歯のデコボコと、上下前歯が接触せずに前に飛び出していることを気にして来院された患者様です。
舌の突出癖が強く、それが原因で上顎歯列全体が前方に突出し、上下前歯が接触できない状態となっていました。
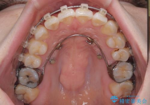
補助装置を用いて上顎臼歯を後方移動させ、歯列を整えながら前歯部の接触を図ることとしました。
舌の突出癖改善のためのトレーニングを指導しながら、ワイヤー装置にて矯正治療を行うこととしました。
- 費用(概算)
- 100万円(税込)費用は治療当時の料金となります
治療について
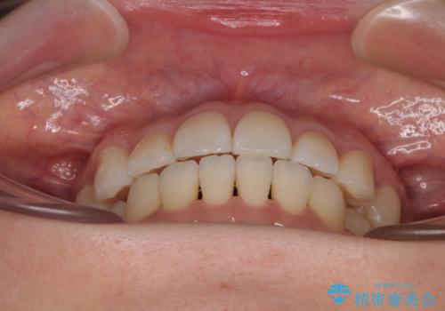
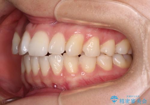
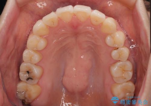
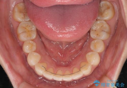
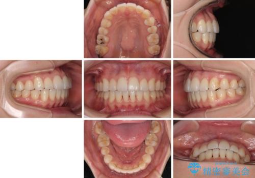
舌のトレーニングは不十分でしたが、1年半ほどで治療を終えることができました。
舌の突出癖が残っていると、容易に後戻りしてしまうため、トレーニングは継続するように指導しています。
ワイヤー矯正の注意事項(リスク・副作用など)
- 治療中は違和感や痛みが起こることがあります
- 症状により、抜歯が必要な場合があります
- 治療中は歯磨きがしにくくなるため、虫歯や歯周病になりやすくなります
- 矯正治療後の保定が不十分だと後戻り(元の位置に戻ろうとする動き)をします
- 自費診療(保険適用外)となります
当サイトの内容、テキスト、画像等の無断転載、複製、複写、盗用を固く禁じます。



























