症例詳細
Case detail
出っ歯を治したい ワイヤー装置での抜歯矯正
治療症例の内容
- 診療科目
- 治療カテゴリ
- 担当医
- 藤巻太一朗(ドクタープロフィール)
- 患者様
- 30代女性
- 矯正装置
- 審美装置
- 治療期間
- 1年10ヶ月
- 治療回数
- 10-30回
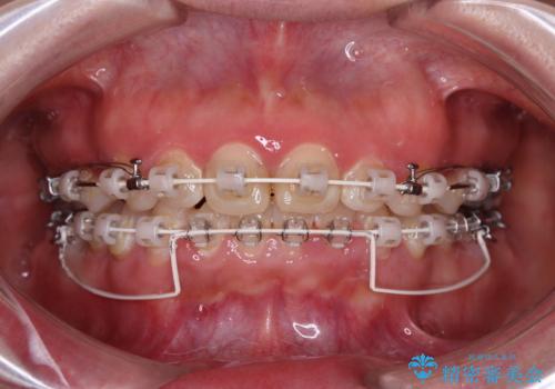
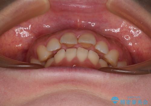
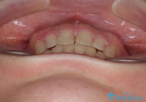
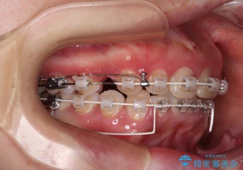
- 治療計画
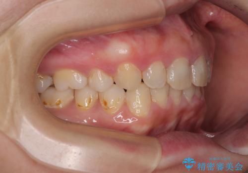
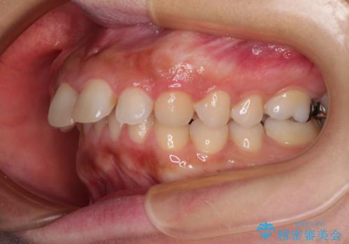
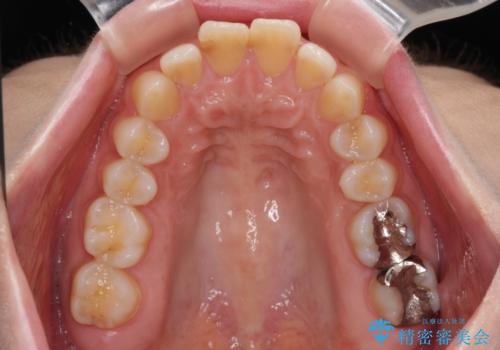
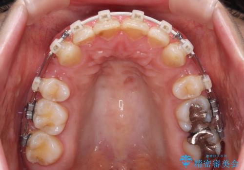
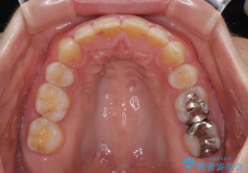
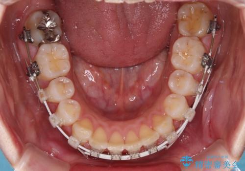
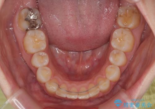
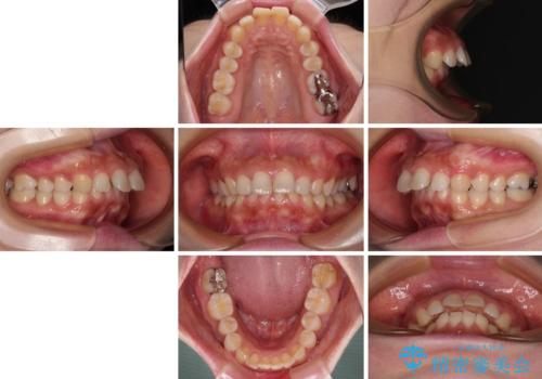
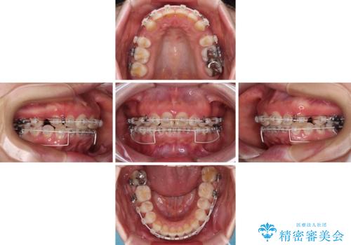
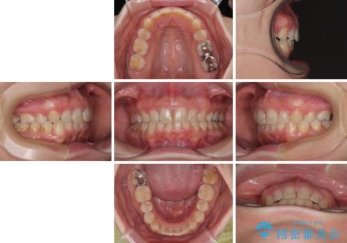
- 上の前歯が出っ歯と突出した口元を気にして来院された患者様です。
上顎歯列全体が前方に飛び出している印象であったので、上顎左右の第一小臼歯2本を抜歯し、ワイヤー装置にて抜歯矯正を行うこととしました。
- 費用(概算)
- 110万円(税込)費用は治療当時の料金となります
治療について
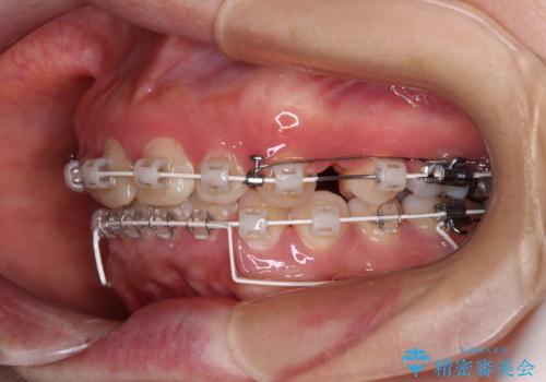
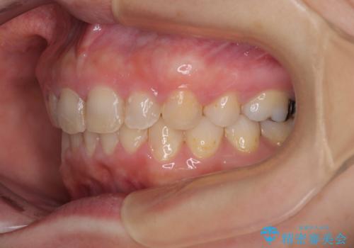
骨格的に上顎が前方にあり、上顎のみの抜歯矯正のため、期間はかかることが予想されましたが、スムーズに移動してくれたおかげで、2年弱の短期間で終えることができました。
ワイヤー矯正の注意事項(リスク・副作用など)
- 治療中は違和感や痛みが起こることがあります
- 症状により、抜歯が必要な場合があります
- 治療中は歯磨きがしにくくなるため、虫歯や歯周病になりやすくなります
- 矯正治療後の保定が不十分だと後戻り(元の位置に戻ろうとする動き)をします
- 自費診療(保険適用外)となります
当サイトの内容、テキスト、画像等の無断転載、複製、複写、盗用を固く禁じます。


























