症例詳細
Case detail
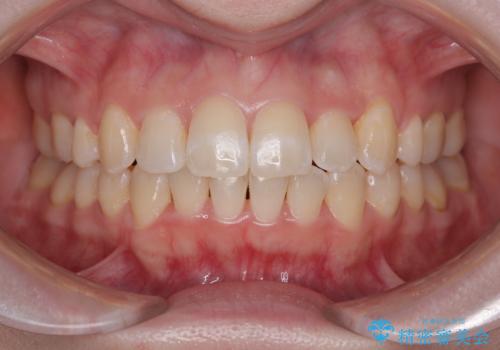
前歯のねじれ・ガタガタを10か月で改善!20代女性の矯正治療|クリアブラケットでむし歯になりにくい歯並びへ改善
治療症例の内容
- 診療科目
- 治療カテゴリ
- 担当医
- 齋藤佑磨(ドクタープロフィール)
- 患者様
- 20代女性
- 矯正装置
- クリアブラケット
- 治療期間
- 10ヶ月
- 治療回数
- 10-30回
- 治療計画
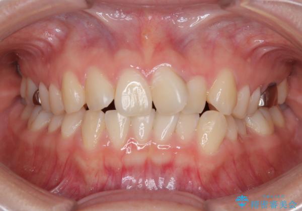
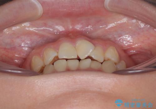
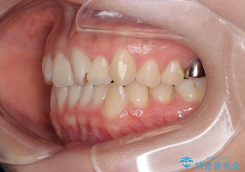
- 「前歯のねじれを改善したい」とのご希望で当院に来院された患者様です。
 
 ◆ 診断と治療計画
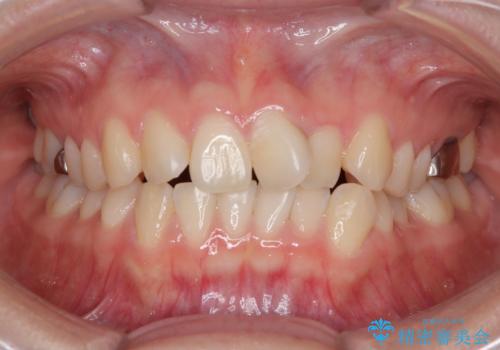
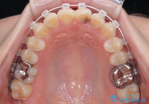
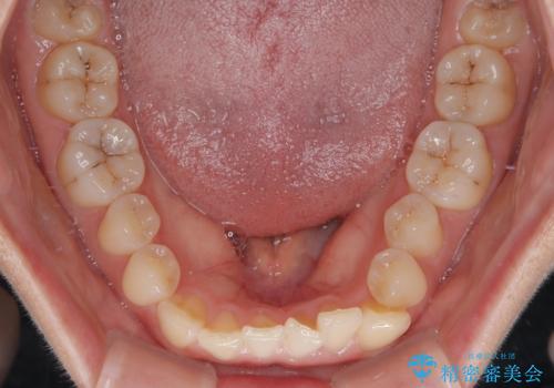
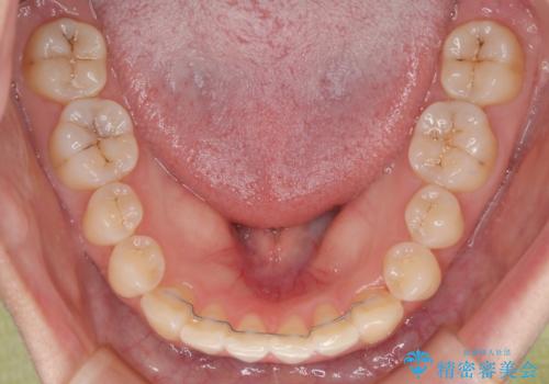
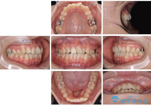
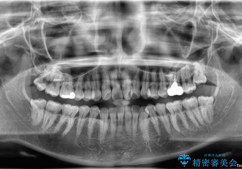
 診察の結果、上下の前歯部に**叢生(そうせい/歯のガタガタ・重なり)**が認められました。
 特に上の前歯にはねじれや重なりがあり、審美的にも清掃性にも影響している状態でした。
 
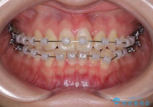
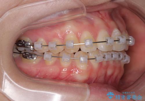
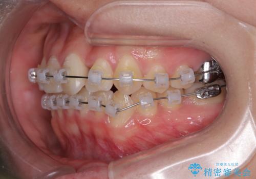
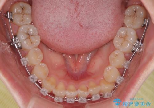
 治療方法としては、装置の目立ちにくさと費用面のバランスを考慮して、プラスチック製のクリアブラケットとメタルワイヤーを組み合わせた矯正装置を使用することにしました。
 また、上顎前歯の重なっていた部分にはむし歯が見つかり、治療中に適切な処置を行っています。
- 費用(概算)
- 88万円(税込)費用は治療当時の料金となります
治療について
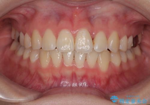
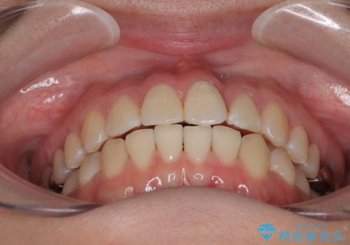
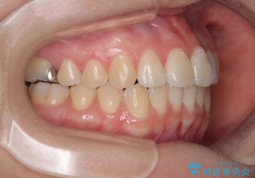
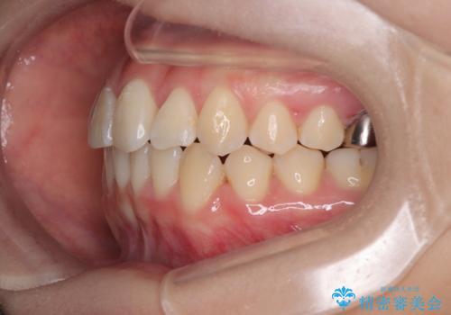
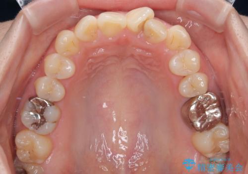
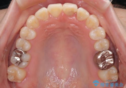
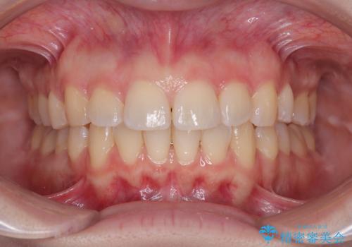
矯正治療期間はわずか10か月と、比較的短期間で終了しました。
前歯のデコボコがなくなり、見た目の印象が大きく変わっただけでなく、歯磨きがしやすくなり、むし歯や歯周病のリスクが大きく減少しました。
ワイヤー矯正の注意事項(リスク・副作用など)
- 治療中は違和感や痛みが起こることがあります
- 症状により、抜歯が必要な場合があります
- 治療中は歯磨きがしにくくなるため、虫歯や歯周病になりやすくなります
- 矯正治療後の保定が不十分だと後戻り(元の位置に戻ろうとする動き)をします
- 自費診療(保険適用外)となります
当サイトの内容、テキスト、画像等の無断転載、複製、複写、盗用を固く禁じます。








 
                       
                                                          
























 
                   
                   
                  