症例詳細
Case detail
【インビザラインモニター】費用を抑えて歯並び改善!
治療症例の内容
- 患者様
- 20代男性
- 矯正装置
- インビザライン
- 治療期間
- 1年
- 治療回数
- 5-10回
- 治療計画
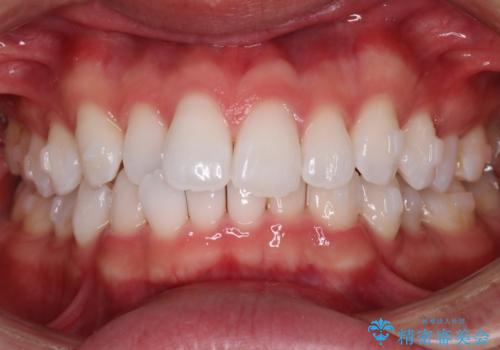
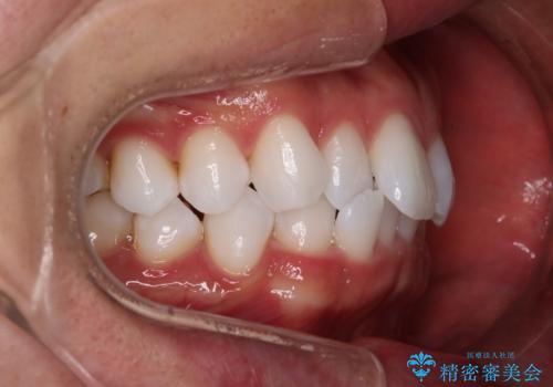
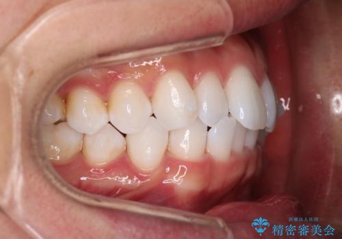
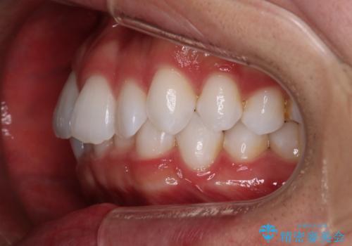
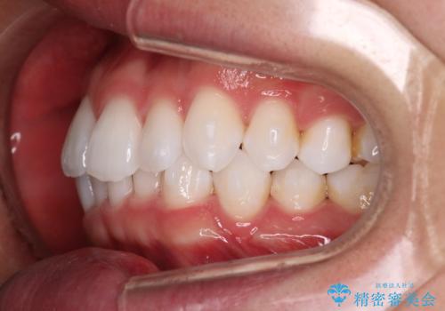
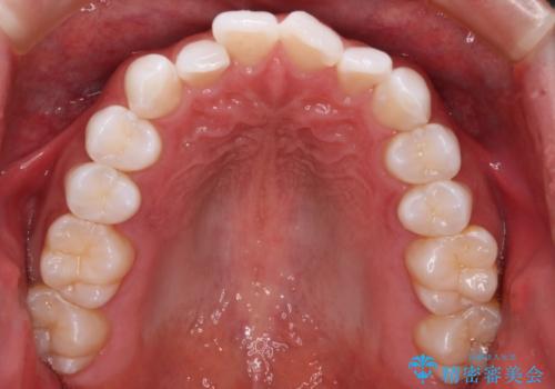
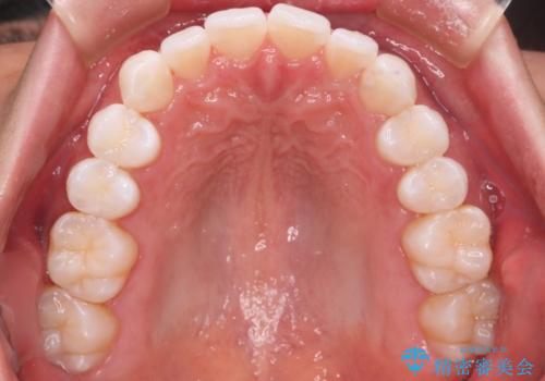
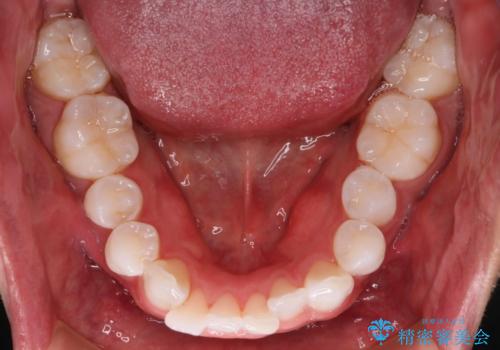
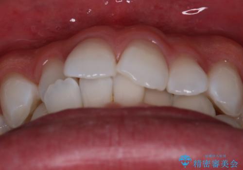
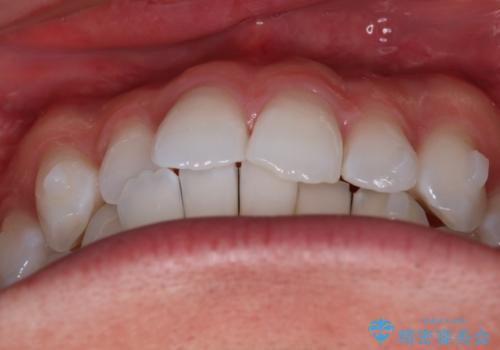
- がたつきが気になるとの事で来院されました。
目立たない装置で費用も抑えたいとの希望があったため、インビザラインにて治療をすることとなりました。
上下顎ともにIPR(歯と歯の間を削る処置)を行い歯並びを整える治療計画を立てました。
- 費用(概算)
- 53万円(税込)費用は治療当時の料金となります
治療について
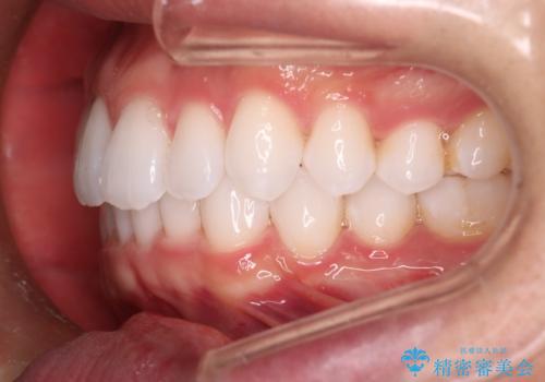
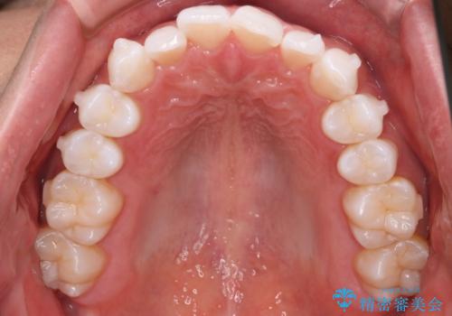
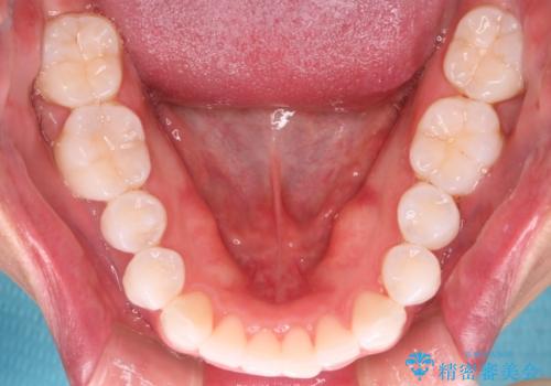
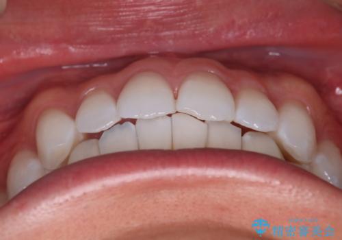
治療当初は、計画通りに治療が進むか心配でしたが、しっかりマウスピースを使用していただいたことで
治療期間も長引くことなく歯並びを綺麗に改善することが出来ました。
患者様の希望もあり、前歯の微調整で1回リファイメント(マウスピースの再発注)を行いました。
患者様の希望に沿う治療を提案することができ良かったと思います。
マウスピース矯正の注意事項(リスク・副作用など)
- 口腔内・歯並びの状態によっては対応できない場合があります
- マウスピース型矯正装置の長時間装着(1日20時間以上)が必須です
- 治療計画通りに進めるためには、患者様の意志が重要になります
- 矯正治療後の保定が不十分だと後戻り(元の位置に戻ろうとする動き)をします
- 薬機法対象外の矯正歯科装置のため医薬品副作用被害救済制度の対象外となる場合があります
- 自費診療(保険適用外)となります
当サイトの内容、テキスト、画像等の無断転載、複製、複写、盗用を固く禁じます。




















