症例詳細
Case detail
神経を抜かずに深い虫歯を治療
治療症例の内容
- 診療科目
- 治療カテゴリ
- 担当医
- 河口智英(ドクタープロフィール)
- 患者様
- 30代男性
- 治療期間
- 1ヶ月
- 治療回数
- 2-5回
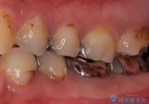
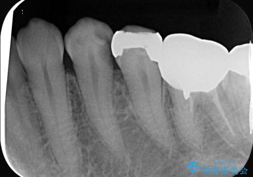
- 治療計画
- 左下4番の奥歯に、歯肉の下まで進行した深い虫歯を認め来院されました。通常であれば神経を抜く必要があるほど深い虫歯でしたが、患者様の歯をできる限り保存するため、歯の神経を抜かずに残すことを目指す治療計画を立案。歯肉の下にある虫歯を適切に治療するため、歯周外科処置で歯肉のラインを調整した上で、精密なセラミッククラウンで修復することになりました。
- 費用(概算)
- 19万円費用は治療当時の料金となります
治療について
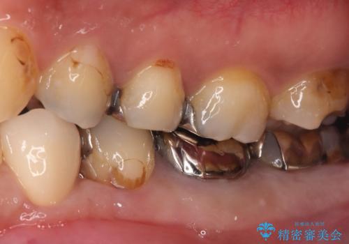
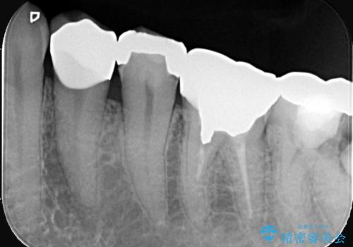
まず、虫歯を徹底的に除去するために、歯周外科処置で歯肉のラインを調整し、治療部位を露出させました。その後、神経に近接した深い虫歯を慎重に除去。神経の保護処置を施し、歯の神経を抜くことなく保存することができました。型取りから、患者様の歯の色や形に合わせたオーダーメイドのセラミッククラウンを作製。最終的に、精度の高いクラウンを装着し、咬み合わせを細かく調整しました。これにより、神経を温存しながら、虫歯の再発を防ぎ、快適な咬み心地を取り戻していただけました。
セラミック治療の注意事項(リスク・副作用など)
- 天然歯を削ります
- 硬い素材は天然歯を傷つけてしまう場合があります
- かみ合わせや歯ぎしりが強すぎる方はセラミックが割れてしまう可能性があります
- 自費診療(保険適用外治療)となります
当サイトの内容、テキスト、画像等の無断転載、複製、複写、盗用を固く禁じます。









