症例詳細
Case detail
歯と歯の間の虫歯もセラミックで再発防止
治療症例の内容
- 診療科目
- 治療カテゴリ
- 担当医
- 河口智英(ドクタープロフィール)
- 患者様
- 30代女性
- 治療期間
- 治療回数
- 2-5回
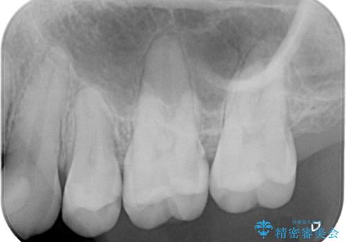
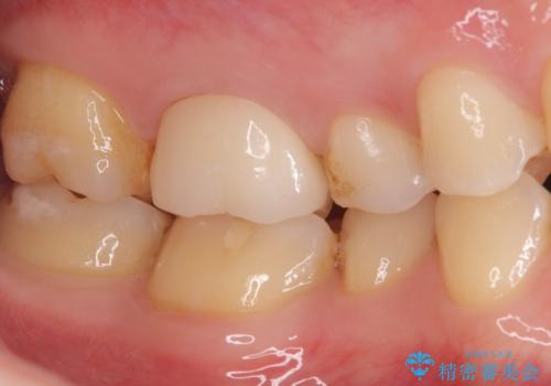
- 治療計画
- 左上6番の奥歯のコンタクト下カリエス(歯と歯の間の虫歯)を主訴にご来院されました。レントゲンと精密診査の結果、歯と歯の間という、再発しやすい部位の虫歯であることが判明。患者様のご希望と口腔内の状態を考慮し、虫歯を徹底的に除去し、精密で再発リスクの低いセラミッククラウンで修復する治療計画を立案しました。これにより、見た目の美しさだけでなく、長期的な歯の健康維持を目指します。
- 費用(概算)
- 15万円費用は治療当時の料金となります
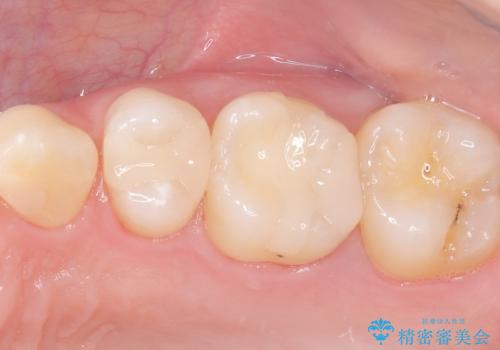
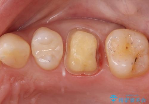
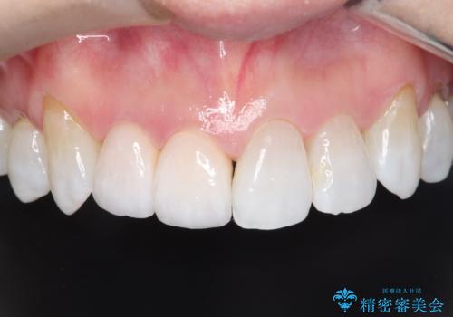
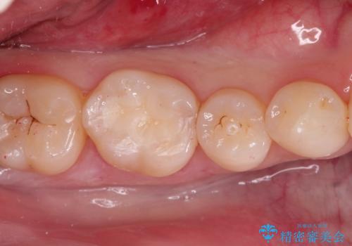
治療について
治療では、まず虫歯に侵された歯質を丁寧に除去し、セラミッククラウンを装着するための歯の形成を行いました。型取りから患者様の歯の形や色に合わせたオーダーメイドのセラミッククラウンを作製。セラミックは、隣接する歯との隙間なく精密に適合し、プラークが付着しにくいため、虫歯の再発を防ぐ効果があります。最終的に、精度の高いクラウンを装着し、咬み合わせを細かく調整しました。これにより、虫歯の再発を防ぎ、快適に食事ができる奥歯を取り戻していただけました。
セラミック治療の注意事項(リスク・副作用など)
- 天然歯を削ります
- 硬い素材は天然歯を傷つけてしまう場合があります
- かみ合わせや歯ぎしりが強すぎる方はセラミックが割れてしまう可能性があります
- 自費診療(保険適用外治療)となります
当サイトの内容、テキスト、画像等の無断転載、複製、複写、盗用を固く禁じます。





