症例詳細
Case detail
歯の根元の虫歯も精密治療で解決
治療症例の内容
- 診療科目
- 治療カテゴリ
- 担当医
- 河口智英(ドクタープロフィール)
- 患者様
- 30代女性
- 治療期間
- 2ヶ月
- 治療回数
- 2-5回
- 治療計画
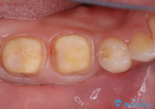
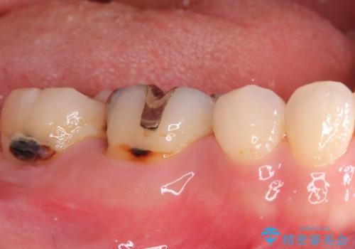
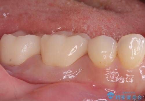
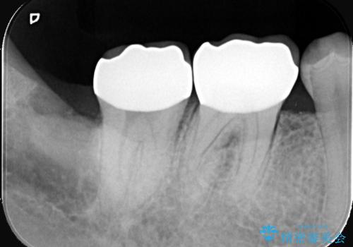
- 右下6番と7番の奥歯に、歯の根元部分の虫歯(根面カリエス)を認め来院されました。通常の虫歯よりも進行しやすい根面カリエスは、再発リスクを抑えた治療が重要です。患者様のご希望と口腔内の状態を考慮し、虫歯を徹底的に除去し、精密で耐久性の高いセラミッククラウンで修復する治療計画を立案しました。これにより、長期的な再発防止と咬み合わせの機能回復を目指します。
- 費用(概算)
- 30万円費用は治療当時の料金となります
治療について
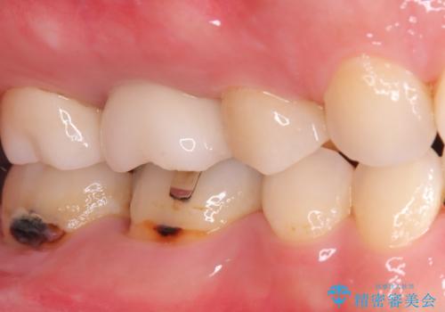
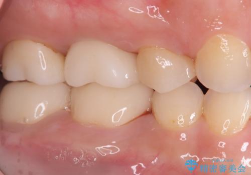
治療ではまず、感染した歯質をマイクロスコープで確認しながら慎重に除去。その後、セラミッククラウンを装着するための歯の形成を行いました。型取りから患者様の歯の形や色に合わせたオーダーメイドのセラミッククラウンを作製。セラミックは、プラークが付着しにくく、再治療のリスクを低減する特性があります。最終的に、精度の高いクラウンを装着し、咬み合わせを細かく調整しました。これにより、根面カリエスが再発しにくい環境を整え、快適に食事ができる奥歯を取り戻していただけました。
セラミック治療の注意事項(リスク・副作用など)
- 天然歯を削ります
- 硬い素材は天然歯を傷つけてしまう場合があります
- かみ合わせや歯ぎしりが強すぎる方はセラミックが割れてしまう可能性があります
- 自費診療(保険適用外治療)となります
当サイトの内容、テキスト、画像等の無断転載、複製、複写、盗用を固く禁じます。









