症例詳細
Case detail
歯のひび割れによる奥歯の痛みも即日解決
治療症例の内容
- 担当医
- 河口智英(ドクタープロフィール)
- 患者様
- 30代女性
- 治療期間
- 3ヶ月
- 治療回数
- 2-5回
- 治療計画
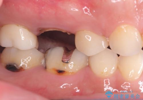
- 右上の6番の奥歯の痛みを主訴に来院されました。精密検査の結果、根管内を歯科用顕微鏡で確認したところ、肉眼では見えないクラック(ひび割れ)が発見されました。このクラックが痛みの原因であり、将来的に歯の保存が難しいと判断。患者様と話し合い、歯を残すことを諦め、抜歯と同時にインプラントを埋入する抜歯即時埋入インプラントによる治療計画を立案しました。これにより、治療期間と身体への負担を最小限に抑え、確実な解決を目指しました。
- 費用(概算)
- 60万円費用は治療当時の料金となります
治療について
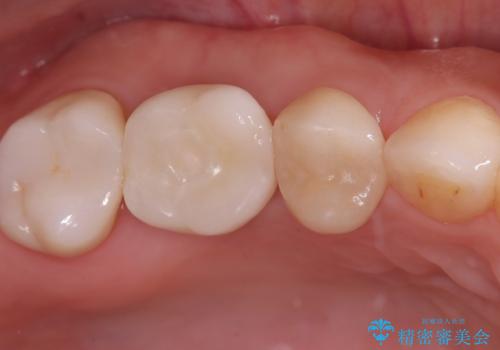
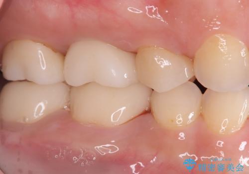
今回の治療では、まず原因となっていた奥歯を慎重に抜歯し、その直後にインプラントを埋入しました。この抜歯即時埋入により、抜歯からインプラント埋入までの期間を省き、骨の吸収を最小限に抑えられました。治療後は痛みや腫れも少なく、患者様は快適に過ごしていただけました。最終的に、わずか3ヶ月でセラミッククラウンを装着。機能性と審美性を兼ね備えた新しい歯により、長年の痛みが解消され、快適な食生活を取り戻していただけました。
インプラント治療の注意事項(リスク・副作用など)
- 外科手術のため、術後に痛みや腫れ、違和感を伴います
- メンテナンスを怠ったり喫煙により、お口の中に大きな悪影響を及ぼすインプラント周囲炎等にかかる可能性があります
- 糖尿病、肝硬変、心臓病等の場合、インプラント治療ができない可能性があります
- 高血圧、貧血・不整脈等の場合、インプラント治療後に治癒不全を招く可能性があります
- 自費診療(保険適用外治療)となります
当サイトの内容、テキスト、画像等の無断転載、複製、複写、盗用を固く禁じます。












