症例詳細
Case detail
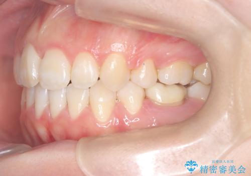
前歯のデコボコと開口を改善し、美しい口元へ
治療症例の内容
- 診療科目
- 治療カテゴリ
- 担当医
- 河口智英(ドクタープロフィール)
- 患者様
- 20代女性
- 治療期間
- 治療回数
- 10-30回
- 治療計画
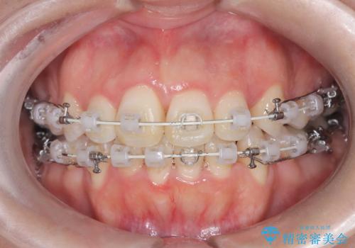
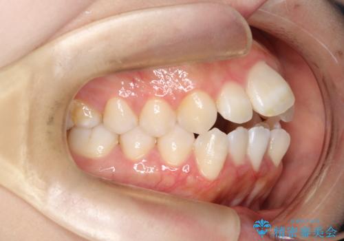
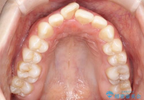
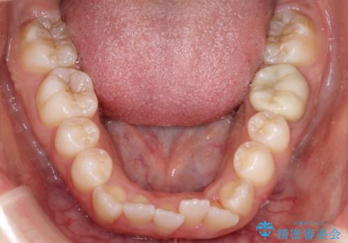
- 前歯のデコボコ(叢生)と、上下の歯が閉じない開口を主訴にご来院されました。精密な検査の結果、歯が並ぶスペースが不足しており、特に奥歯の咬み合わせが安定していないことが開口の原因と判明。患者様と相談し、上下左右の小臼歯を抜歯することでスペースを確保し、審美ワイヤー矯正で全体を整える治療計画を立案しました。これにより、見た目の改善だけでなく、機能的な咬み合わせも獲得することを目指します。
- 費用(概算)
- 90万円費用は治療当時の料金となります
治療について
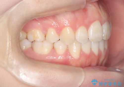
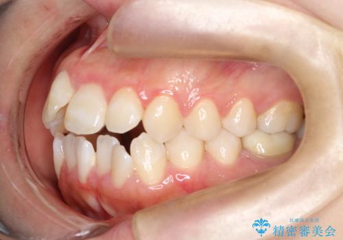
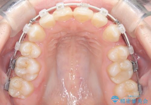
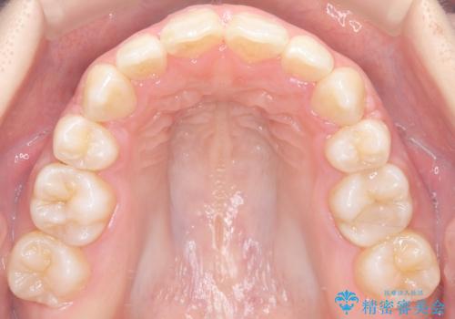
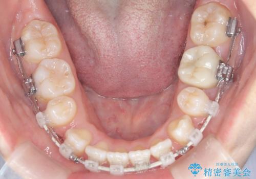
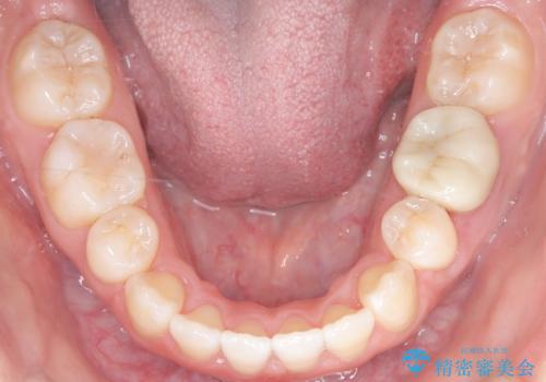
今回の矯正治療では、歯が並ぶスペースを確保するため、上下左右の小臼歯を抜歯しました。装置には目立ちにくい審美ワイヤーを使用し、見た目に配慮しながら治療を進めました。抜歯によってできたスペースを利用して歯を並べ、前歯のデコボコを解消。同時に、歯列全体を動かすことで、上下の歯がきちんと閉じる開口も改善しました。治療期間は約2年間。治療の結果、コンプレックスだった前歯のデコボコと開口が解消され、整った美しい歯並びと、しっかり咬める機能的な咬み合わせを獲得していただけました。
ワイヤー矯正の注意事項(リスク・副作用など)
- 治療中は違和感や痛みが起こることがあります
- 症状により、抜歯が必要な場合があります
- 治療中は歯磨きがしにくくなるため、虫歯や歯周病になりやすくなります
- 矯正治療後の保定が不十分だと後戻り(元の位置に戻ろうとする動き)をします
- 自費診療(保険適用外)となります
当サイトの内容、テキスト、画像等の無断転載、複製、複写、盗用を固く禁じます。















