症例詳細
Case detail
目立たない矯正で歯のデコボコと反対咬合を改善
治療症例の内容
- 診療科目
- 治療カテゴリ
- 担当医
- 河口智英(ドクタープロフィール)
- 患者様
- 20代女性
- 治療期間
- 1年7ヶ月
- 治療回数
- 10-30回
- 治療計画
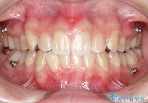
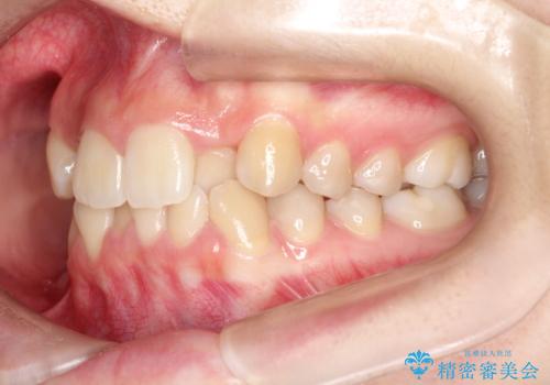
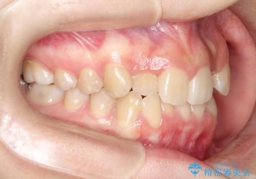
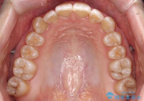
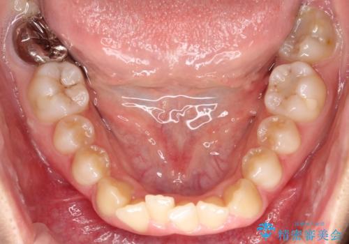
- 前歯のデコボコ(叢生)と、前歯が上下逆の咬み合わせ(反対咬合)を主訴にご来院されました。精密検査の結果、歯列全体のスペースが不足していることが判明。患者様のご希望に合わせ、透明で目立ちにくい**インビザライン(マウスピース矯正)**による治療計画を立案しました。歯を抜かずに、歯列全体を奥(遠心)へ移動させることで、歯が並ぶスペースを確保し、叢生と反対咬合を同時に改善することを目指します。
- 費用(概算)
- 85万円費用は治療当時の料金となります
治療について
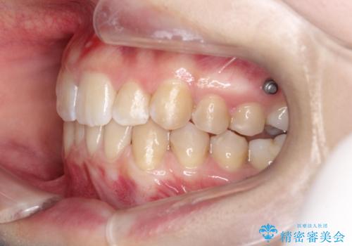
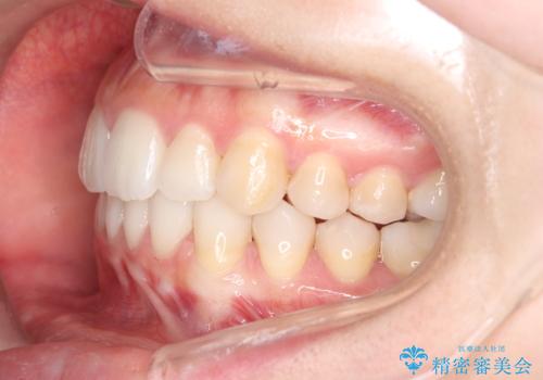
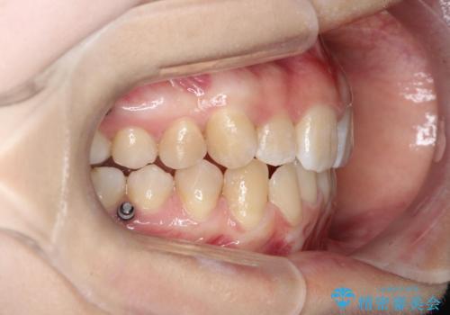
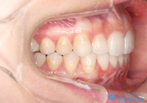
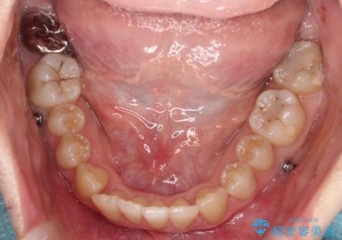
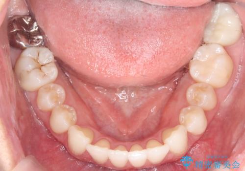
今回の矯正治療では、透明なマウスピース型の装置インビザラインを使用しました。この装置は目立たず、取り外しが可能なため、食事や歯磨きも普段通り行えます。治療は、緻密な治療計画に基づき、段階的に作製されたマウスピースを交換していくことで、遠心移動という方法で奥歯から徐々に歯列全体を後方へ動かしました。これにより、不足していたスペースを確保し、前歯のデコボコを解消。同時に、上下の歯の前後的な関係を改善することで、反対咬合も正常な咬み合わせへと導きました。見た目も機能も改善し、自然で美しい笑顔を獲得していただけました。
マウスピース矯正の注意事項(リスク・副作用など)
- 口腔内・歯並びの状態によっては対応できない場合があります
- マウスピース型矯正装置の長時間装着(1日20時間以上)が必須です
- 治療計画通りに進めるためには、患者様の意志が重要になります
- 矯正治療後の保定が不十分だと後戻り(元の位置に戻ろうとする動き)をします
- 薬機法対象外の矯正歯科装置のため医薬品副作用被害救済制度の対象外となる場合があります
- 自費診療(保険適用外)となります
当サイトの内容、テキスト、画像等の無断転載、複製、複写、盗用を固く禁じます。















