症例詳細
Case detail
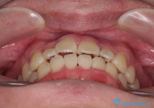
1年でここまで変わる!歯列のがたつきと正中のズレを改善した矯正治療(メタルブラケット×MARPE)
治療症例の内容
- 担当医
- 齋藤佑磨(ドクタープロフィール)
- 患者様
- 20代男性
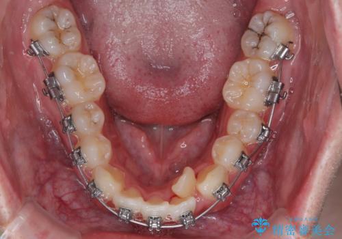
- 矯正装置
- メタルブラケット
- 治療期間
- 1年
- 治療回数
- 10-30回
- 治療計画
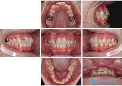
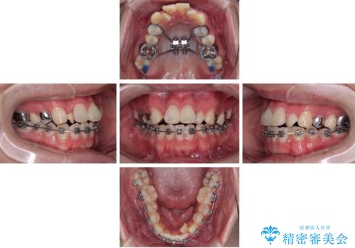
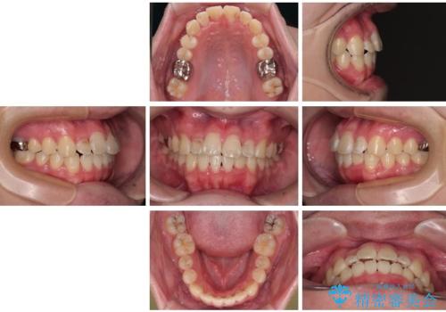
- 「歯並びがデコボコしていて、上下の中心がズレているのが気になる…」という悩みで来院された患者さまの症例をご紹介します。
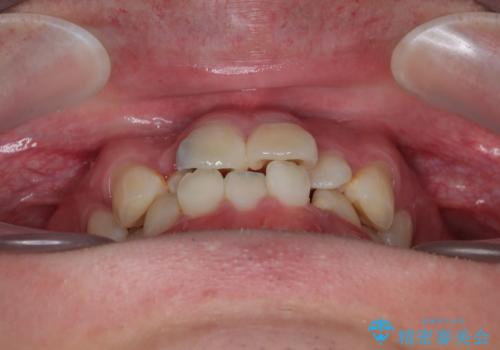
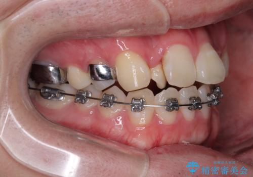
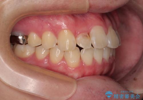
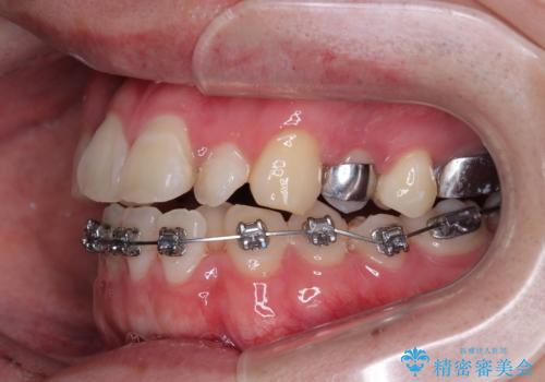
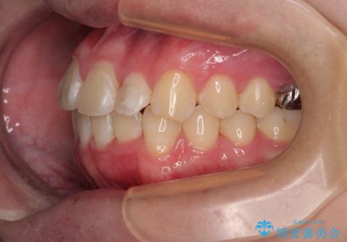
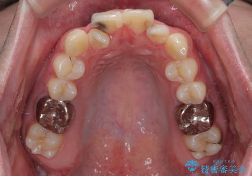
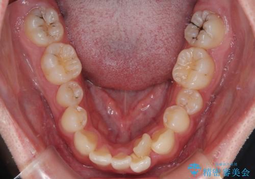
初診時の状態
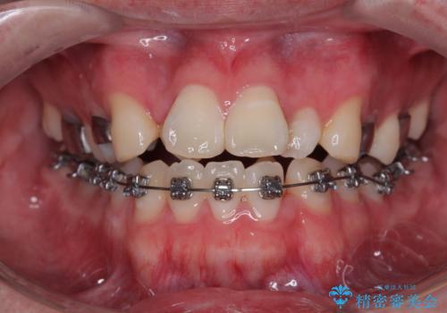
・上下ともに歯がきれいに並びきらず、がたつきが見られました。
・上下の前歯の中心(正中)がずれています。
・特に上顎の幅が狭いため、下顎の歯列も内側に入り込み、歯が並ぶスペースが不足していました。
治療方針
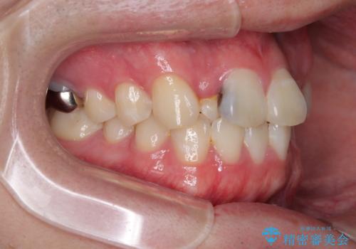
このような歯列の狭さに起因するデコボコを改善するために、**MARPE(骨に固定する上顎急速拡大装置)**を使用して、上顎の横幅を拡大し、これにより歯が並ぶためのスペースを確保し、メタルブラケットを用いて歯列を整えていく計画としました。
費用面を考慮し、装置はコストパフォーマンスに優れたメタルブラケットを選択。見た目よりも機能と効果を重視したい方には特におすすめの選択肢です。
- 費用(概算)
- 88万円(税込)費用は治療当時の料金となります
治療について
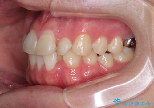
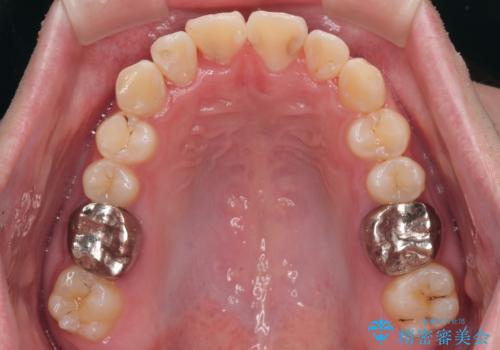
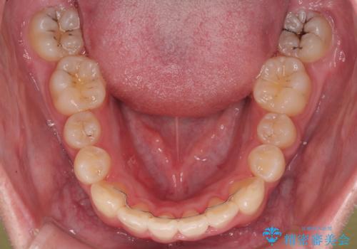
適切な診断と装置の選択により、1年という短期間でここまで改善できます。
見た目の美しさだけでなく、将来のむし歯や歯周病リスクを減らすことにもつながる治療です。
「私の歯も治るかな?」と少しでも思った方は、ぜひ一度ご相談ください。
ワイヤー矯正の注意事項(リスク・副作用など)
- 治療中は違和感や痛みが起こることがあります
- 症状により、抜歯が必要な場合があります
- 治療中は歯磨きがしにくくなるため、虫歯や歯周病になりやすくなります
- 矯正治療後の保定が不十分だと後戻り(元の位置に戻ろうとする動き)をします
- 自費診療(保険適用外)となります
当サイトの内容、テキスト、画像等の無断転載、複製、複写、盗用を固く禁じます。



























