症例詳細
Case detail
自然な美しさと強度を両立!右上小臼歯の被せもの脱離に対する審美補綴治療
治療症例の内容
- 診療科目
- 治療カテゴリ
- 担当医
- 齋藤佑磨(ドクタープロフィール)
- 患者様
- 50代男性
- 治療期間
- 1ヶ月
- 治療回数
- 2-5回
- 治療計画
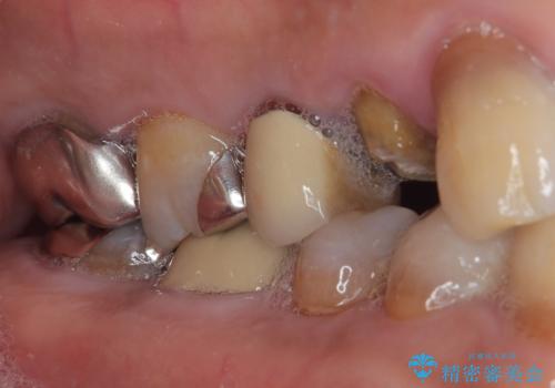
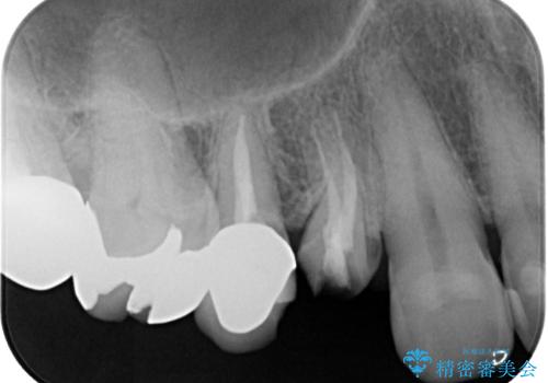
- 「以前治療した歯の被せものが外れてしまった」とのことで、右上の小臼歯の被せもの脱離を主訴に来院されました。
診察の結果、被せもの(クラウン)だけでなく、土台(コア)ごと外れてしまっている状態でした。根管治療済みの歯ではありますが、今回患者様のご希望により、根管治療の再治療は行わず、補綴処置のみを行う方針となりました。
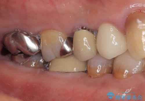
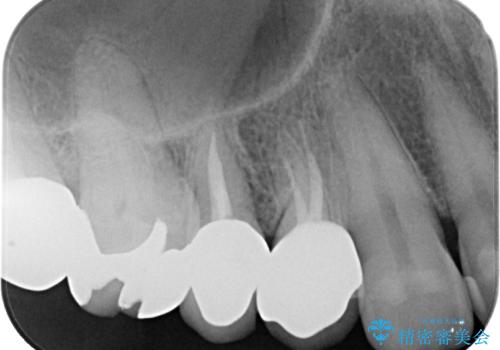
治療の流れ
残存歯質の確認と感染リスクのチェック
ファイバーコアを築造・精密な支台歯形成と印象採得
オールセラミッククラウンの装着
- 費用(概算)
- 14万円(税込)費用は治療当時の料金となります
こんな方におすすめの治療です
以前の被せものがすぐ外れる
金属の土台で歯が割れた経験がある
長期的に安定した治療を希望される方
セラミック治療の注意事項(リスク・副作用など)
- 天然歯を削ります
- 硬い素材は天然歯を傷つけてしまう場合があります
- かみ合わせや歯ぎしりが強すぎる方はセラミックが割れてしまう可能性があります
- 自費診療(保険適用外治療)となります
当サイトの内容、テキスト、画像等の無断転載、複製、複写、盗用を固く禁じます。








