症例詳細
Case detail
永久歯が埋もれて乳歯が残存 叢生改善のワイヤー抜歯矯正
治療症例の内容
- 診療科目
- 治療カテゴリ
- 担当医
- 藤巻太一朗(ドクタープロフィール)
- 患者様
- 20代女性
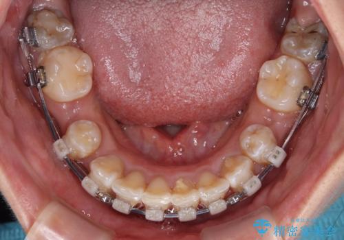
- 矯正装置
- 審美装置
- 治療期間
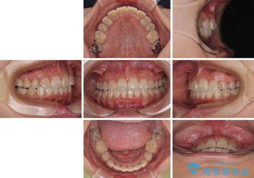
- 2年3ヶ月
- 治療回数
- 10-30回
- 治療計画
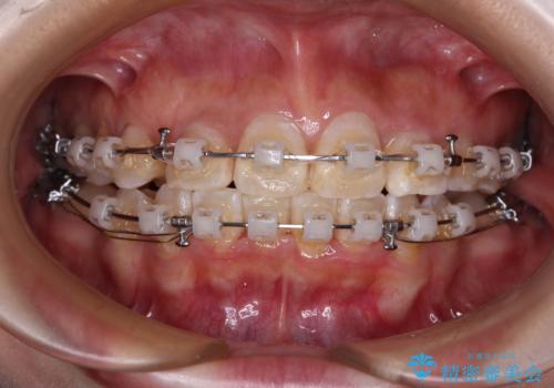
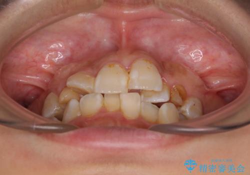
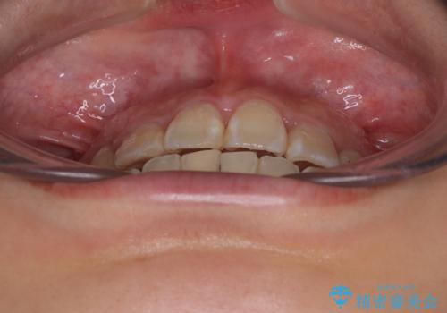
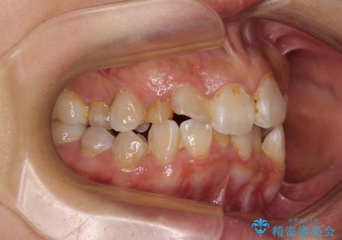
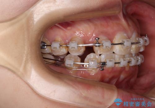
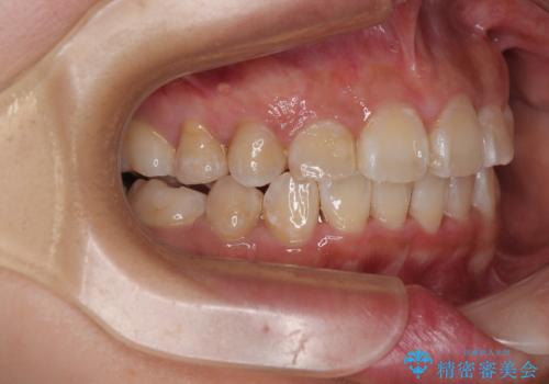
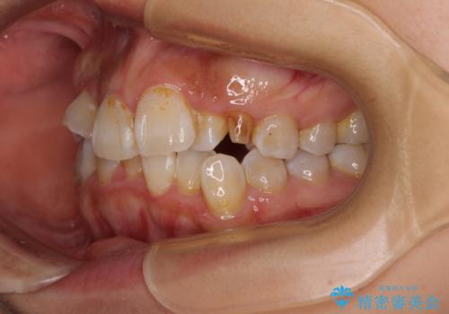
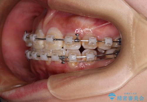
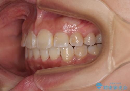
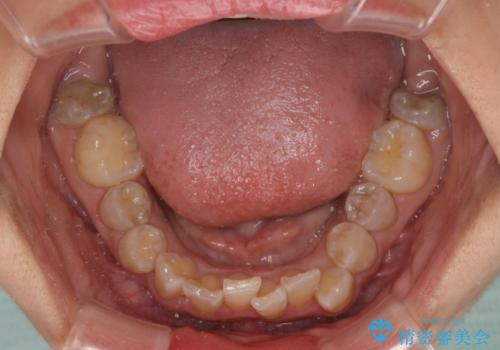
- 上下前歯のデコボコを気にして来院された患者様です。
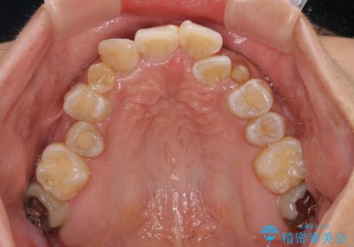
上顎は両側の犬歯が骨内に埋伏しており、乳歯が残存している状態でした。
歯肉内に埋もれている場合には牽引することも可能ですが、両歯ともに骨内に完全に埋もれていたため、牽引することは不可能と判断しました。
口元の突出感があるわけではなく、叢生の程度もシビアではありませんでしたが、顎骨が小さく、左右ともに最後臼歯が歯肉に埋もれているため、下顎は左右第二小臼歯を抜歯することとしました。
上顎は左右ともに残存している乳歯を抜歯し、上下歯列を整えることとしました。
- 費用(概算)
- 100万円(税込)費用は治療当時の料金となります
治療について
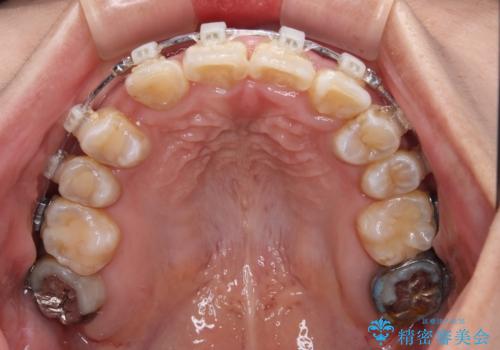
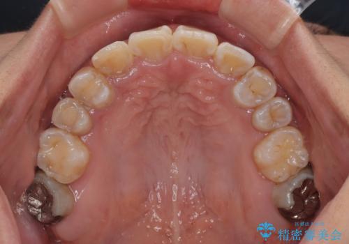
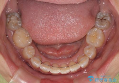
下顎は第二小臼歯を抜歯したため、治療期間が長期化すると思われましたが、大臼歯が後方に傾斜していたため、容易にスペースを閉じることができ、2年強で治療を終えることができました。
ワイヤー矯正の注意事項(リスク・副作用など)
- 治療中は違和感や痛みが起こることがあります
- 症状により、抜歯が必要な場合があります
- 治療中は歯磨きがしにくくなるため、虫歯や歯周病になりやすくなります
- 矯正治療後の保定が不十分だと後戻り(元の位置に戻ろうとする動き)をします
- 自費診療(保険適用外)となります
当サイトの内容、テキスト、画像等の無断転載、複製、複写、盗用を固く禁じます。


























