症例詳細
Case detail
変色してきた歯とプラスチックのクラウン オールセラミッククラウン治療
治療症例の内容
- 診療科目
- 治療カテゴリ
- 担当医
- 藤巻太一朗(ドクタープロフィール)
- 患者様
- 30代女性
- 治療期間
- 6ヶ月
- 治療回数
- 5-10回
- 治療計画
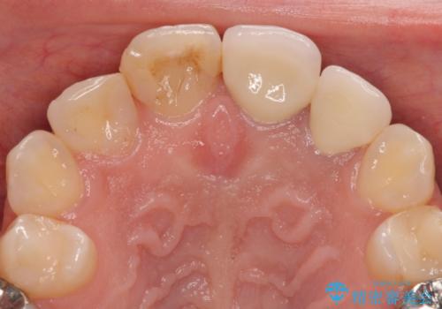
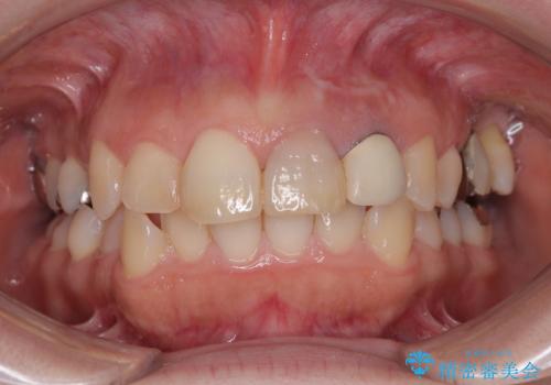
- 前歯2本の変色を気にして来院された患者様です。
2本とも歯の神経が取り除かれており、真ん中の歯は徐々に歯の色が茶色くなってきており、隣の歯は保険診療で装着したプラスチックのクラウンが徐々に黄ばんできている状態でした。
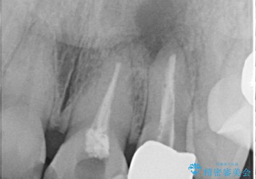
両歯とも根尖部付近を歯肉から触れると痛みを感じており、3次元CTを撮影したところ、前から2番目の歯の根尖部に病変があることが分かりました。
以前歯根端切除術を受けているものの、現在の主流とは異なる術式で行われているため、再度歯根端切除術を行うこととしました。
痛みが改善したことを確認した上で、オールセラミッククラウンにて補綴治療を行うこととしました。
- 費用(概算)
- 33万円(税込)費用は治療当時の料金となります
治療について
歯根端切除から2週間を経過した時点で痛みは全くなくなっており、処置から6ヶ月後に撮影したレントゲン写真では炎症で吸収していた骨が回復している様子が確認されました。
セラミック治療の注意事項(リスク・副作用など)
- 天然歯を削ります
- 硬い素材は天然歯を傷つけてしまう場合があります
- かみ合わせや歯ぎしりが強すぎる方はセラミックが割れてしまう可能性があります
- 自費診療(保険適用外治療)となります
当サイトの内容、テキスト、画像等の無断転載、複製、複写、盗用を固く禁じます。











