症例詳細
Case detail
奥歯に歯を入れたい 即時荷重インプラントによる短期間インプラント治療
治療症例の内容
- 担当医
- 藤巻太一朗(ドクタープロフィール)
- 患者様
- 30代女性
- 治療期間
- 3ヶ月
- 治療回数
- 2-5回
- 治療計画
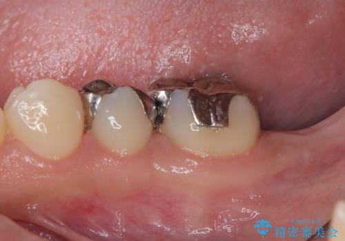
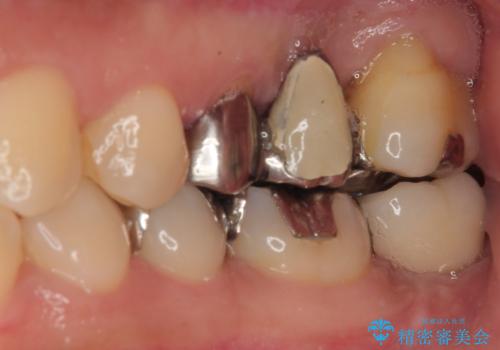
- 奥歯を抜歯してから放置しているとのことで来院された患者様です。
歯が割れて抜歯になってしまったとのことで、咬合力に抵抗できるよう、インプラントによる補綴治療を行うこととしました。
- 費用(概算)
- 40万円(税込)費用は治療当時の料金となります
治療について
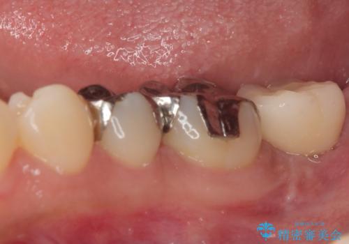
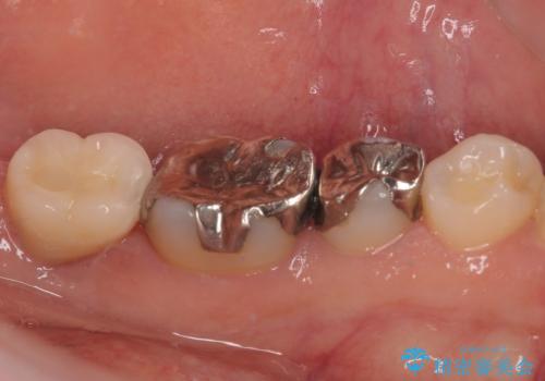
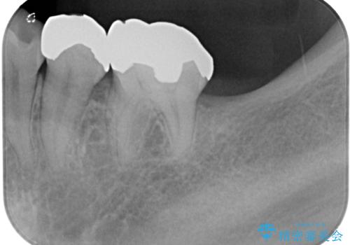
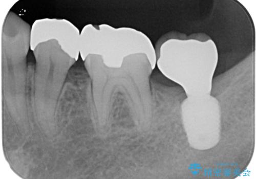
長い期間歯が欠損していた下顎奥歯に、インプラント埋入と同時に仮歯を装着すると(埋入即時荷重インプラントを行うと)、舌の付け根で仮歯を横向きに押してしまい、インプラントが脱落する危険性が高くなります。
インプラント埋入時に、装着できる状態の仮歯を用意するものの、埋入後すぐには加重させず、インプラントが無事に生着したことを確認した後に装着することで、危険を回避しつつ外科処置や痛みの少ないスムーズな治療を行うことができます。
インプラント治療の注意事項(リスク・副作用など)
- 外科手術のため、術後に痛みや腫れ、違和感を伴います
- メンテナンスを怠ったり喫煙により、お口の中に大きな悪影響を及ぼすインプラント周囲炎等にかかる可能性があります
- 糖尿病、肝硬変、心臓病等の場合、インプラント治療ができない可能性があります
- 高血圧、貧血・不整脈等の場合、インプラント治療後に治癒不全を招く可能性があります
- 自費診療(保険適用外治療)となります
セラミック治療の注意事項(リスク・副作用など)
- 天然歯を削ります
- 硬い素材は天然歯を傷つけてしまう場合があります
- かみ合わせや歯ぎしりが強すぎる方はセラミックが割れてしまう可能性があります
- 自費診療(保険適用外治療)となります
当サイトの内容、テキスト、画像等の無断転載、複製、複写、盗用を固く禁じます。















