症例詳細
Case detail
唇を閉じて眠れない ワイヤー装置での抜歯矯正で口元をスッキリと
治療症例の内容
- 診療科目
 
- 治療カテゴリ
 
- 担当医
 - 藤巻太一朗(ドクタープロフィール)
 
- 患者様
 - 20代女性
 
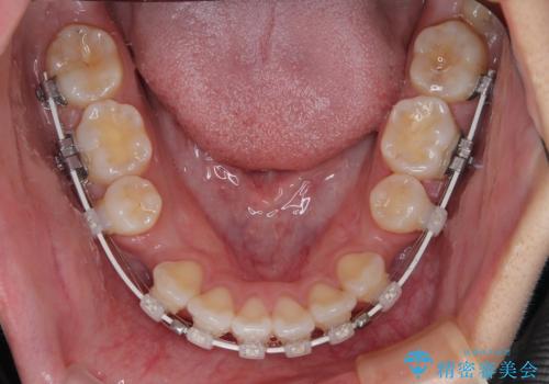
- 矯正装置
 - 審美装置
 
- 治療期間
 - 2年3ヶ月
 
- 治療回数
 - 10-30回
 
- 治療計画
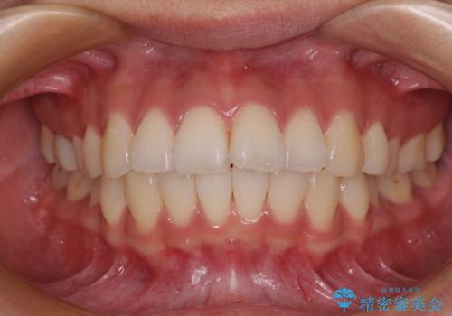
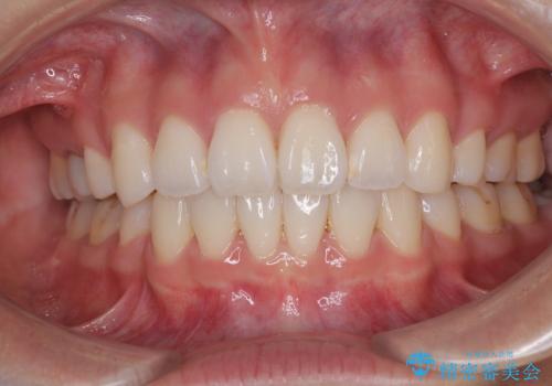
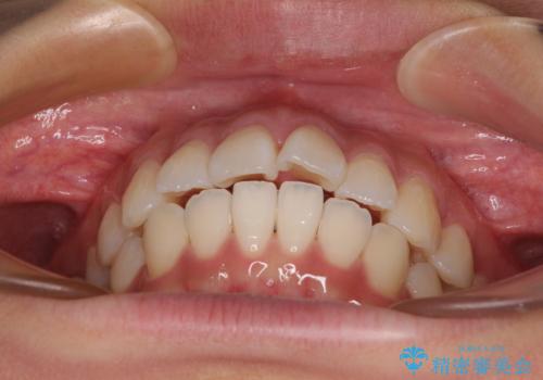
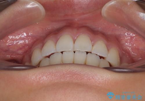
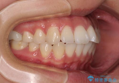
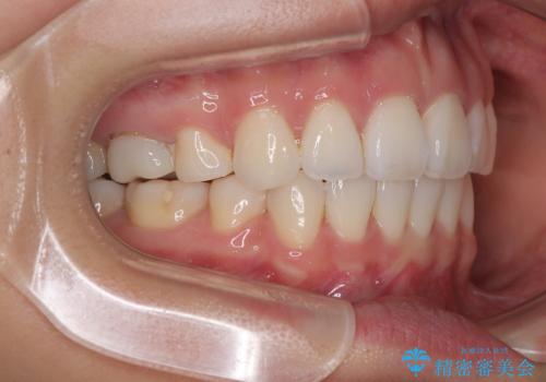
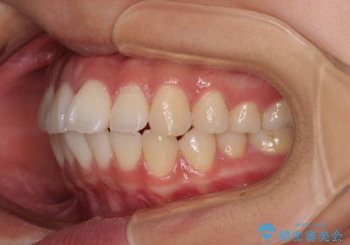
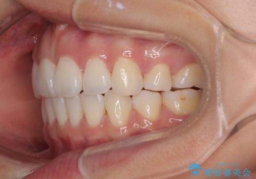
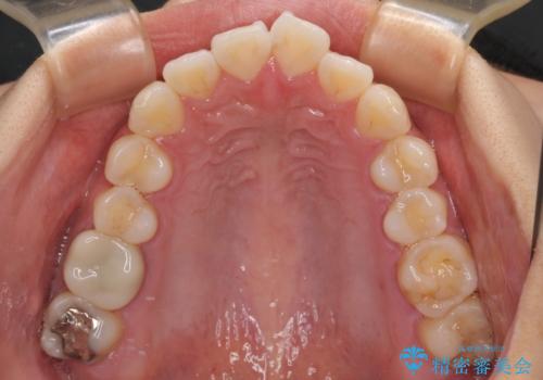
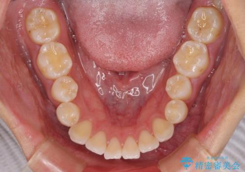
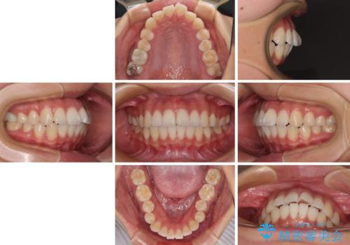
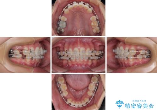
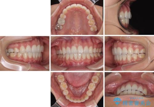
 - 前歯が突出して、眠るときに口が開いてしまうことを気にして来院された患者様です。
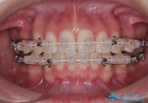
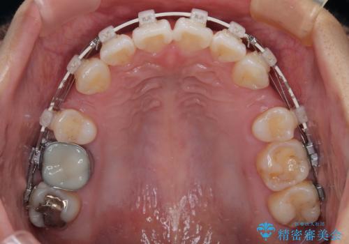
横から見た際の口元の飛び出した印象も改善したいとのことで、上下左右の第一小臼歯4本を抜歯し、ワイヤー装置にて抜歯矯正を行うこととしました。 
- 費用(概算)
 - 105万円(税込)費用は治療当時の料金となります
 
治療について
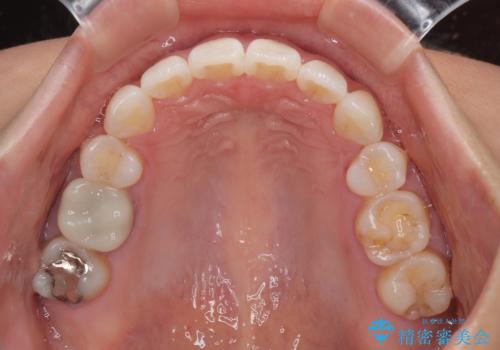
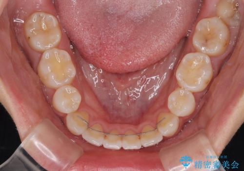
舌の突出癖改善のためのトレーニングをしっかりと実践してくださり、2年強の治療期間でしっかりと仕上げることができました。
ワイヤー矯正の注意事項(リスク・副作用など)
- 治療中は違和感や痛みが起こることがあります
 - 症状により、抜歯が必要な場合があります
 - 治療中は歯磨きがしにくくなるため、虫歯や歯周病になりやすくなります
 - 矯正治療後の保定が不十分だと後戻り(元の位置に戻ろうとする動き)をします
 - 自費診療(保険適用外)となります
 
当サイトの内容、テキスト、画像等の無断転載、複製、複写、盗用を固く禁じます。

                      
                                                          
























