症例詳細
Case detail
気になる八重歯 ワイヤー装置での抜歯矯正
治療症例の内容
- 診療科目
- 治療カテゴリ
- 担当医
- 藤巻太一朗(ドクタープロフィール)
- 患者様
- 30代女性
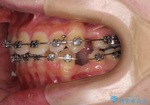
- 矯正装置
- メタルブラケット
- 治療期間
- 3年1ヶ月
- 治療回数
- 30回以上
- 治療計画
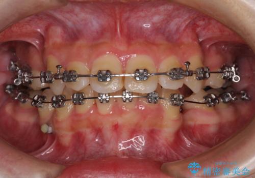
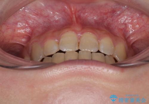
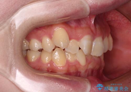
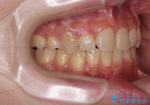
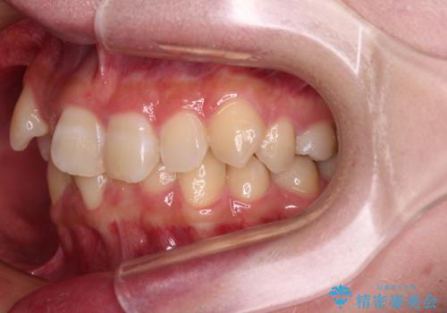
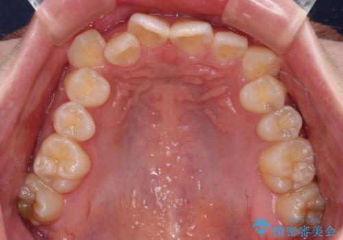
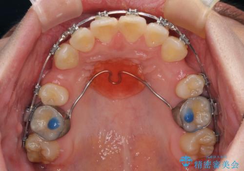
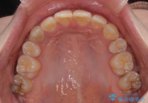
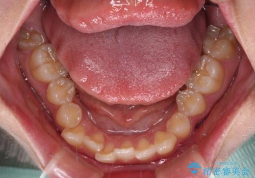
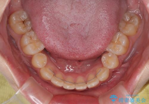
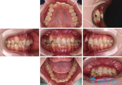
- 上下の八重歯を気にして来院された患者様です。
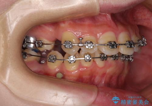
非抜歯矯正で歯列を整えると、治療後に口元が今よりも突出する可能性が高かったため、上下左右の小臼歯4本を抜歯し、ワイヤー装置にて矯正治療を行うこととしました。
右上の八重歯の影響で、右側は上顎歯列が前方位の咬み合わせとなってしまっていたため、上顎は第一小臼歯を、下顎は第二小臼歯を抜歯することで咬み合わせや上下正中を調整することとしました。
- 費用(概算)
- 95万円(税込)費用は治療当時の料金となります
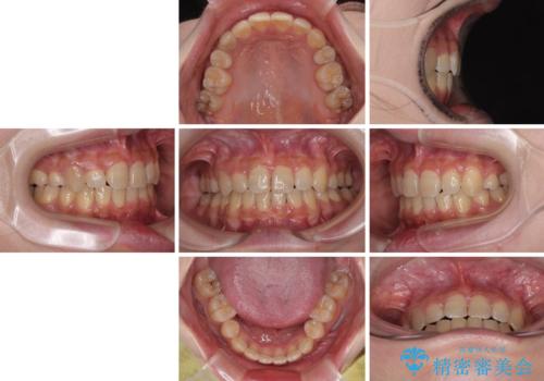
治療について
第二小臼歯抜歯の治療となったため、やや時間はかかりましたが、概ね予想通りの期間で治療を終えることができました。
ワイヤー矯正の注意事項(リスク・副作用など)
- 治療中は違和感や痛みが起こることがあります
- 症状により、抜歯が必要な場合があります
- 治療中は歯磨きがしにくくなるため、虫歯や歯周病になりやすくなります
- 矯正治療後の保定が不十分だと後戻り(元の位置に戻ろうとする動き)をします
- 自費診療(保険適用外)となります
当サイトの内容、テキスト、画像等の無断転載、複製、複写、盗用を固く禁じます。






















