症例詳細
Case detail
骨格的なズレを歯列矯正でカバー ワイヤー装置での非抜歯矯正
治療症例の内容
- 診療科目
- 担当医
- 藤巻太一朗(ドクタープロフィール)
- 患者様
- 40代女性
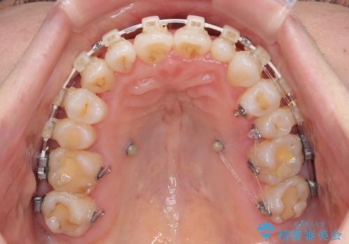
- 矯正装置
- 審美装置
- 治療期間
- 2年1ヶ月
- 治療回数
- 10-30回
- 治療計画
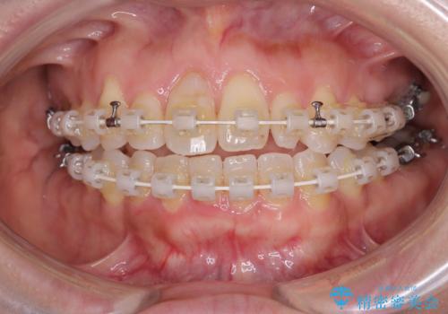
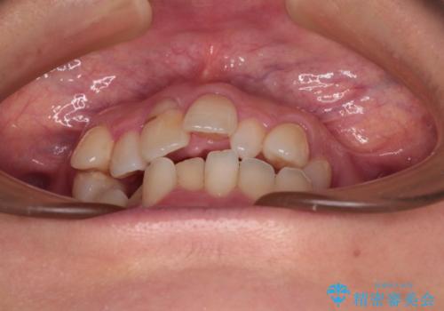
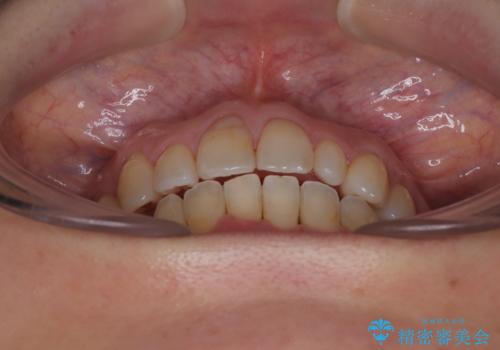
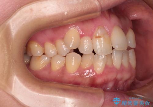
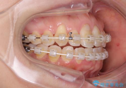
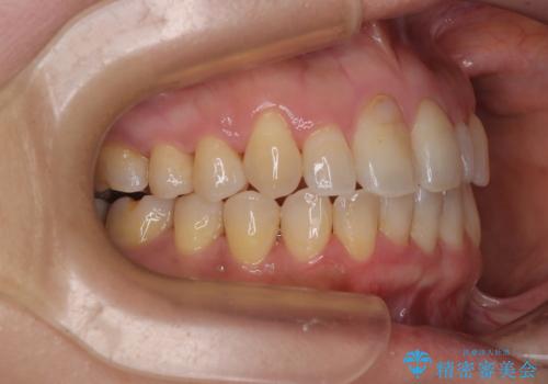
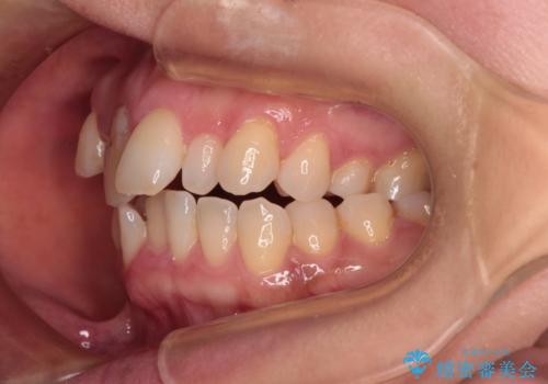
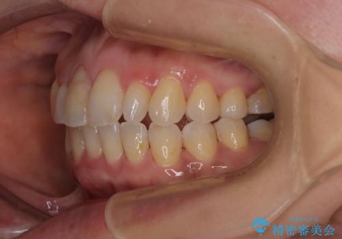
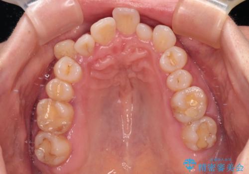
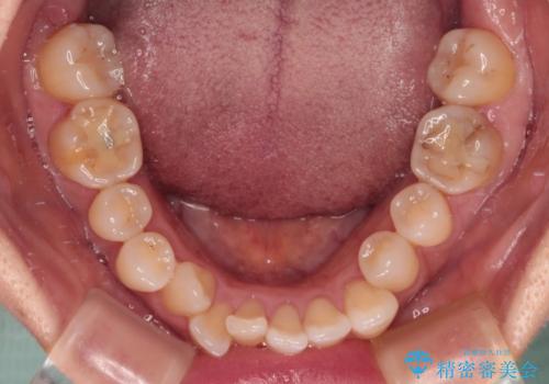
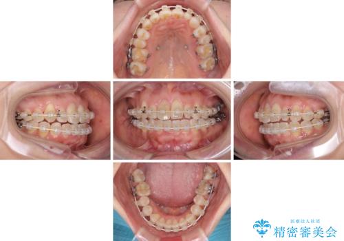
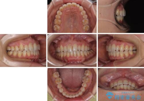
- 前歯のデコボコと咬み合わせの悪さを気にして来院された患者様です。
下顎骨が左側にズレて成長してしまったため、左側の咬み合わせが上下反対になっている状態でした。
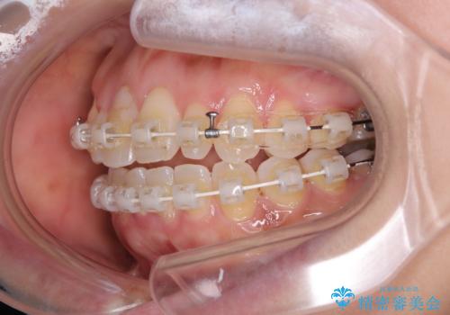
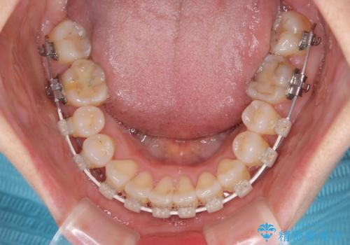
骨格的なズレは歯列矯正のみでは改善できず、骨切除が必要となります。
そこまでの処置は望んでいらっしゃらなかったため、歯列矯正でのカムフラージュにより咬み合わせを改善することとしました。
- 費用(概算)
- 105万円(税込)費用は治療当時の料金となります
治療について
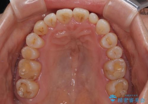
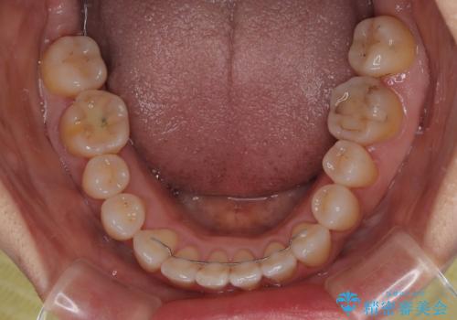
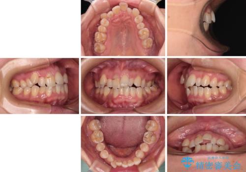
予想通り左側の咬み合わせの調整に苦労をしましたが、最終的には違和感のない咬み合わせを達成することができました。
ワイヤー矯正の注意事項(リスク・副作用など)
- 治療中は違和感や痛みが起こることがあります
- 症状により、抜歯が必要な場合があります
- 治療中は歯磨きがしにくくなるため、虫歯や歯周病になりやすくなります
- 矯正治療後の保定が不十分だと後戻り(元の位置に戻ろうとする動き)をします
- 自費診療(保険適用外)となります
当サイトの内容、テキスト、画像等の無断転載、複製、複写、盗用を固く禁じます。


























