症例詳細
Case detail
抜歯は避けたい? 1DAYインプラントに魅せられて抜歯即時埋入インプラントによる補綴治療
治療症例の内容
- 担当医
- 藤巻太一朗(ドクタープロフィール)
- 患者様
- 60代男性
- 治療期間
- 3ヶ月
- 治療回数
- 2-5回
- 治療計画
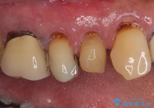
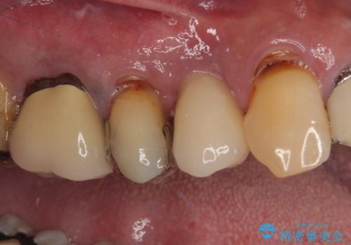
- 抜歯が必要なのでは?と近医で言われ、歯の保存を希望して来院された患者様です。
既に別の部位にインプラント治療を受けており、そのときの治療期間と苦労を鑑みて、何とか歯を残したいとのことで来院されました。
該当歯の状態としては何とか保存可能でしたが、予後不良のため、将来的にインプラント治療が必要となる可能性の高い状態でした。
当院での根管治療および歯周外科治療を併用した保存療法、並びに1DAYインプラントによる短期間インプラント治療の双方をご説明し、即日でインプラント治療を選択されました。
仮歯を用意した上で、抜歯即時埋入・即時荷重インプラントによる補綴治療を行うこととしました。
- 費用(概算)
- 48万円(税込)費用は治療当時の料金となります
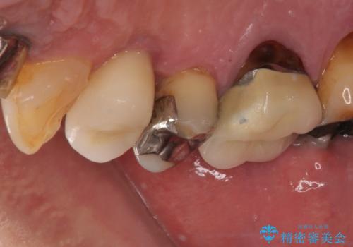
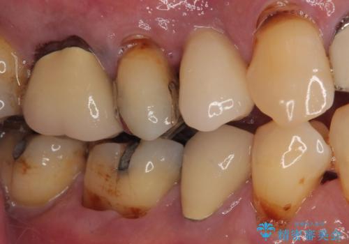
治療について
従来のインプラント治療について回った3回の外科手術や半年移動の治療期間とは無縁の、短期間治療を達成することができました。
インプラント治療の注意事項(リスク・副作用など)
- 外科手術のため、術後に痛みや腫れ、違和感を伴います
- メンテナンスを怠ったり喫煙により、お口の中に大きな悪影響を及ぼすインプラント周囲炎等にかかる可能性があります
- 糖尿病、肝硬変、心臓病等の場合、インプラント治療ができない可能性があります
- 高血圧、貧血・不整脈等の場合、インプラント治療後に治癒不全を招く可能性があります
- 自費診療(保険適用外治療)となります
セラミック治療の注意事項(リスク・副作用など)
- 天然歯を削ります
- 硬い素材は天然歯を傷つけてしまう場合があります
- かみ合わせや歯ぎしりが強すぎる方はセラミックが割れてしまう可能性があります
- 自費診療(保険適用外治療)となります
当サイトの内容、テキスト、画像等の無断転載、複製、複写、盗用を固く禁じます。















