症例詳細
Case detail
咬合力で破折した奥歯 抜歯即時インプラントで短期間治療
治療症例の内容
- 患者様
- 40代男性
- 治療期間
- 3ヶ月
- 治療回数
- 2-5回
- 治療計画
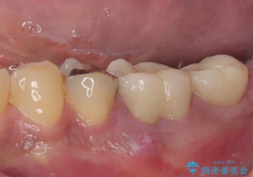
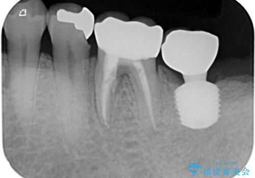
- 以前、咬合力の強さで歯の神経が失活してしまい、当院にて根管治療を行った患者様ですが、今度は咬合力の影響で歯根が破折してしまった患者様です。
歯根が破折してしまった歯は抜歯が必要となり、特に咬合力が強い方ですと、インプラント治療による治療がお勧めとなります。
従来のインプラント治療ですと、抜歯をしてからその部分の骨が回復するまで数か月待機し、その後インプラント埋入、生着を待って土台の頭出し手術、仮歯の装着となるため、咬合回復するまでに半年かそれ以上の期間が必要となってしまいます。
咬合力の影響で歯が壊れてしまう方の場合、長期間欠損が続くと、連鎖するように他の歯が壊されてしまうリスクがあるため、抜歯即時インプラントにより、治療期間の短縮を図ることとしました。
- 費用(概算)
- 46万円(税込)費用は治療当時の料金となります
治療について
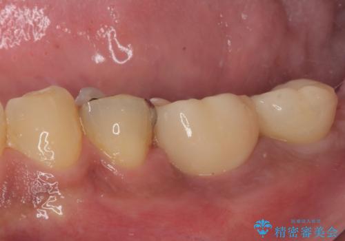
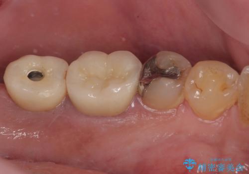
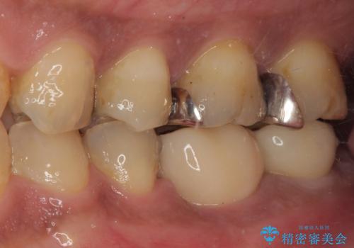
治療は順調に進み、わずか3ヶ月でセラミッククラウンを装着することができました。
他の歯への影響もなく、無事に治療を終えることができました。
インプラント治療の注意事項(リスク・副作用など)
- 外科手術のため、術後に痛みや腫れ、違和感を伴います
- メンテナンスを怠ったり喫煙により、お口の中に大きな悪影響を及ぼすインプラント周囲炎等にかかる可能性があります
- 糖尿病、肝硬変、心臓病等の場合、インプラント治療ができない可能性があります
- 高血圧、貧血・不整脈等の場合、インプラント治療後に治癒不全を招く可能性があります
- 自費診療(保険適用外治療)となります
セラミック治療の注意事項(リスク・副作用など)
- 天然歯を削ります
- 硬い素材は天然歯を傷つけてしまう場合があります
- かみ合わせや歯ぎしりが強すぎる方はセラミックが割れてしまう可能性があります
- 自費診療(保険適用外治療)となります
当サイトの内容、テキスト、画像等の無断転載、複製、複写、盗用を固く禁じます。















