症例詳細
Case detail
レジンが劣化してきた オールセラミッククラウン
治療症例の内容
- 診療科目
- 治療カテゴリ
- 担当医
- 有澤哲郎(ドクタープロフィール)
- 患者様
- 20代女性
- 治療期間
- 1ヶ月
- 治療回数
- 2-5回
- 治療計画
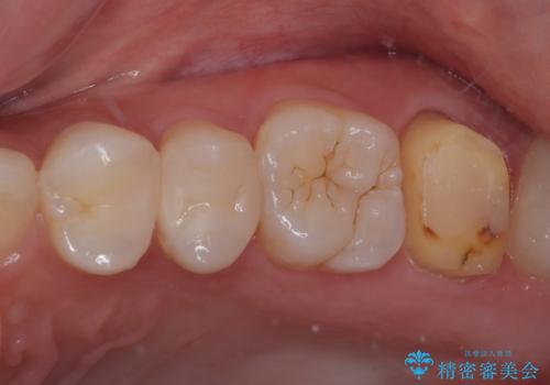
- すごく前に治療したレジンがざらつくので治療したいとのことで来院された患者様です。十年ほど前に根管治療を行っており、症状は特に何もない状態でした。根管治療を行っている歯は咬合力に対して鈍くなり破折しやすくなるため、最終的には被せものによる補綴治療を行う必要があります。
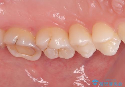
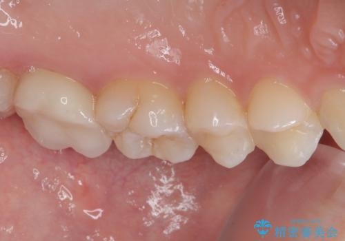
ラバーダム防湿下でコンポジットレジンを除去しファイバーコア築造を行い、オールセラミッククラウンに適した形に整えました。
歯と歯茎の間に圧排糸と言われる糸を入れてシリコーン印象材にて型どりをしました。
- 費用(概算)
- 16万円(税込み)費用は治療当時の料金となります
治療について
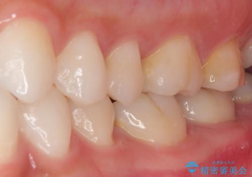
見た目、機能面共に大変喜んでいただきました。
精密な型どりを行った被せものは適合性も良いため虫歯の再発リスクを低減することが可能です。
セラミック治療の注意事項(リスク・副作用など)
- 天然歯を削ります
- 硬い素材は天然歯を傷つけてしまう場合があります
- かみ合わせや歯ぎしりが強すぎる方はセラミックが割れてしまう可能性があります
- 自費診療(保険適用外治療)となります
その他の注意事項(リスク・副作用など)
- 担当歯科医師、歯科衛生士又は医院スタッフから受けた説明・注意事項をよくご確認ください
- 医療を提供するに当たり、適切な説明を行い、患者様の十分な理解を得るよう努めております
当サイトの内容、テキスト、画像等の無断転載、複製、複写、盗用を固く禁じます。









