症例詳細
Case detail
飛び出した口元を改善したい ワイヤー装置による抜歯矯正治療
治療症例の内容
- 診療科目
- 治療カテゴリ
- 担当医
- 藤巻太一朗(ドクタープロフィール)
- 患者様
- 20代女性
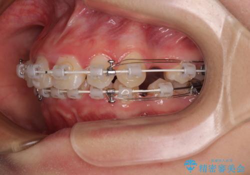
- 矯正装置
- 審美装置
- 治療期間
- 2年9ヶ月
- 治療回数
- 30回以上
- 治療計画
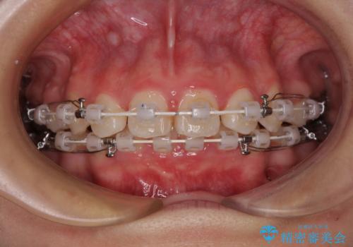
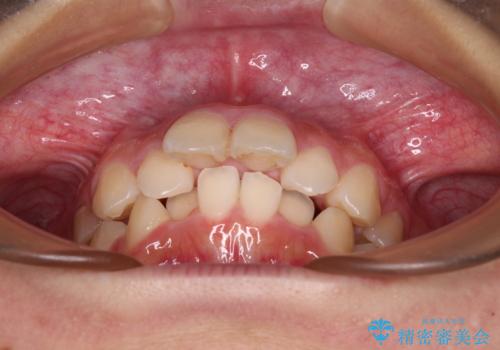
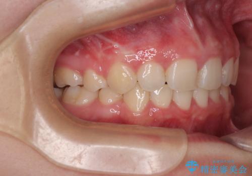
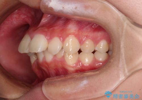
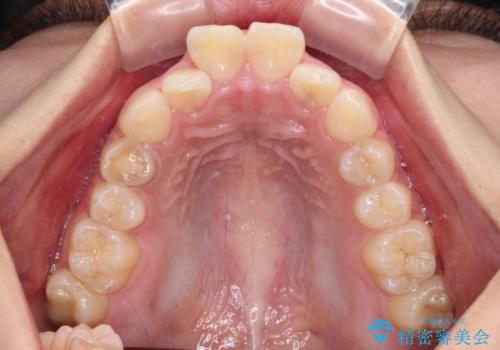
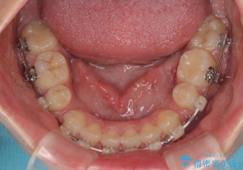
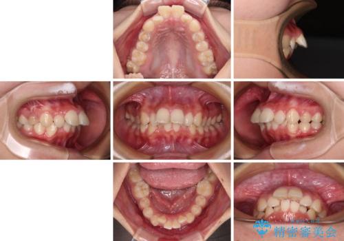
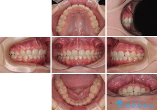
- 下唇の上に乗っかってしまうくらい前歯が飛び出していることを気にして来院された患者様です。
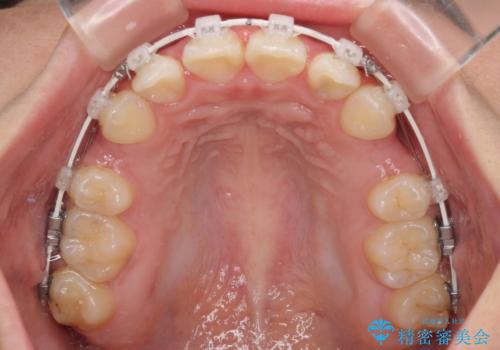
唇を閉じようとするとオトガイ部に力が入ってしまい、うまく閉じることができない状態であったため、上下左右の第一小臼歯4本を抜歯して、ワイヤー装置にて矯正治療を行うこととしました。
- 費用(概算)
- 105万円(税込)費用は治療当時の料金となります
治療について
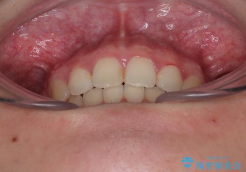
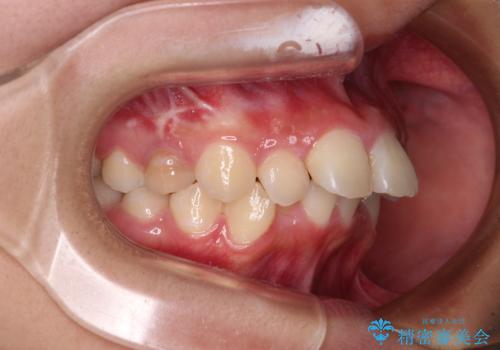
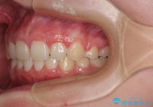
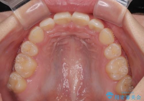
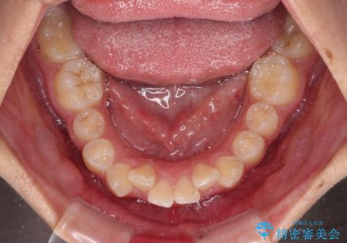
飛び出した前歯はしっかりと引っ込み、横顔の印象が大きく変化しました。
ワイヤー矯正の注意事項(リスク・副作用など)
- 治療中は違和感や痛みが起こることがあります
- 症状により、抜歯が必要な場合があります
- 治療中は歯磨きがしにくくなるため、虫歯や歯周病になりやすくなります
- 矯正治療後の保定が不十分だと後戻り(元の位置に戻ろうとする動き)をします
- 自費診療(保険適用外)となります
当サイトの内容、テキスト、画像等の無断転載、複製、複写、盗用を固く禁じます。


























